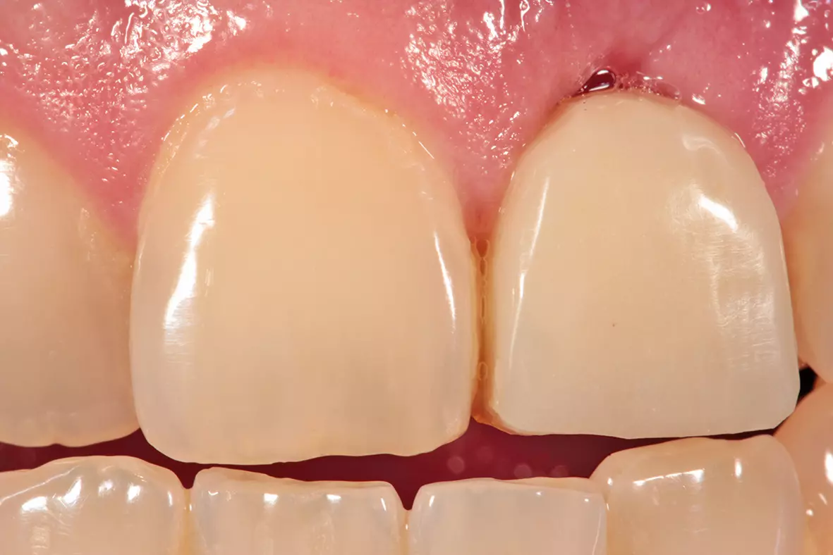
Nach der Extraktion eines Zahnes geht im Verlauf der Wundheilung in wenigen Tagen die Anatomie der Alveole und des Sulkus verloren. Ohne räumliche Orientierung ist es später während der Implantatversorgung schwierig, diese wiederherzustellen. Unter Verwendung des extrahierten Zahnes kann die Krone in der korrekten Form gestaltet werden (Abb. 1 bis 3).
Dr. Dr. Edinger, ZTM Bultmann
Dr. Dr. Edinger, ZTM Bultmann
Dr. Dr. Edinger, ZTM Bultmann
Vorbereitende Maßnahmen und Extraktion
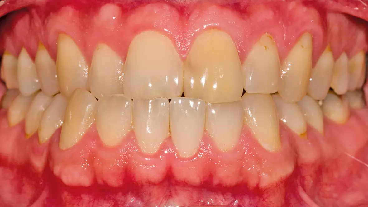
Bei dem Patienten wurde bei Zahn 11 eine Querfraktur festgestellt. Leider konnte der Zahn nicht mit konservierenden Maßnahmen erhalten werden und es stand eine Extraktion an. Das weitere Vorgehen wurde mit dem Zahntechnischen Labor abgesprochen. Mit Hilfe der Situationsmodelle konnte zunächst ein Provisorium erstellt werden. Nach der Extraktion des Zahnes wurde die Socket Preservation Technik unter Verwendung von Bio-Oss® Collagen von Geistlich Biomaterials und einem Schleimhauttransplantat vom Gaumen angewandt. Es konnte eine provisorische Schiene zum Ersatz von Zahn 11 eingesetzt werden (Abb. 4).
Dr. Dr. Edinger, ZTM Bultmann
Augmentation
Nach der Heilungsphase war für einen Aufbau der vestibulären Lamelle ein Knochentransplantat aus dem Kieferwinkel erforderlich. Dies sorgte für eine gute und gleichmäßige Ausformung des Vestibulums und es bestand die Möglichkeit, das Implantat an die gleiche Stelle wie die Zahnwurzel zu setzen (Abb. 5 und 6).
Dr. Dr. Edinger, ZTM Bultmann
Dr. Dr. Edinger, ZTM Bultmann
Implantation
Nach einer Einheilphase von drei Monaten konnte implantiert werden. Es sollte eine okklusal verschraubte Krone verwendet werden. Die Entscheidung des Implantatsystems fiel auf ein ELEMENT Implantat von Thommen Medical, da es über einen sehr kleinen Schraubenkanal verfügt und damit eine gute prothetische Versorgung – gerade im Frontzahnbereich – ermöglicht. Hier hat man es häufig mit Problemen der Einschubrichtung des Implantates zu tun und ein kleiner Schraubendurchmesser schafft Platz, um eine Verschraubung möglich zu machen. Für die Implantation erfolgte in Lokalanästhesie eine krestale, leicht lingual versetzte Schnittführung unter Erhaltung eines einige Millimeter breiten Streifens befestigter Mukosa. Das Implantat wurde in korrekter Position ca. 3-4 mm oberhalb der Schmelz-Zement-Grenze sowie ca. 2 mm oral von der Verbindungslinie der benachbarten Wurzeloberflächen und mit einer Implantatachse palatinal von der geplanten Schneidekante gesetzt (Abb. 7 und 8). Danach wurde ein steriler Abformpfosten für eine offene Abformung aufgeschraubt. Zur Anfertigung des Index wurde Triad Gel (Triad Gel Clear Colorless, Dentsply International, York, PA, USA) benutzt. Dazu wurde das Material in eine sterile 2-ml-Einmal-Spritze gefüllt und auf den Abformpfosten und beide Nachbarzähne aufgetragen. Die Aushärtung erfolgte mit einer in eine sterile Folie eingepackten Polymerisationslampe.
Dr. Dr. Edinger, ZTM Bultmann
Dr. Dr. Edinger, ZTM Bultmann
Konstruktion und Gestaltung
Die anschließenden Schritte fanden im Labor statt: Mithilfe des Übertragungsschlüssels, der während der Implantation hergestellt worden war, wurde das Situ-Modell in ein Implantatmodell umgebaut. Unter Verwendung des extrahierten Zahnes bestand die Möglichkeit, das gleiche Durchtrittsprofil zu generieren, wie es ursprünglich vorhanden war. Hierzu wurde der Zahn aufmodelliert und mit einen kleinen Wurzelanteil versehen. Danach konnte er wieder zurück in die Dublierform des Situationsmodells gesteckt werden und es konnte ein Superhartgipsmodell mit Splitcast-Sockel hergestellt werden. Jetzt konnte die Übertragung mit dem intraoperativ hergestellten Schlüssel beginnen (Abb. 9 und 10).
Dr. Dr. Edinger, ZTM Bultmann
Dr. Dr. Edinger, ZTM Bultmann
Man konnte erkennen, dass durch die sorgfältige Vorbereitung des Implantatbettes das Implantat exakt an der Stelle stand, an der vorher die Zahnwurzel gestanden hatte. In dieser Position wurde jetzt das Modellimplantat eingegipst (Abb. 12a).
Durch den Aufbau des räumlich korrekten Knochenvolumens konnte bei der Implantatplatzierung die ursprüngliche Situation wiederhergestellt werden. Als „Wax-up“ diente der extrahierte Zahn (Abb. 11). So konnte jetzt entweder gleich die definitive Krone oder eine provisorische Krone hergestellt werden. Wir entschieden uns für die Herstellung einer provisorischen Krone, um die Reaktion der Gingiva auf die Implantatkrone zu beobachten und gegebenenfalls noch darauf reagieren zu können (Abb. 12 bis 14).
Dr. Dr. Edinger, ZTM Bultmann
Dr. Dr. Edinger, ZTM Bultmann
Dr. Dr. Edinger, ZTM Bultmann
Dr. Dr. Edinger, ZTM Bultmann
Dr. Dr. Edinger, ZTM Bultmann
Dr. Dr. Edinger, ZTM Bultmann
Die alte Situation wurde mithilfe eines Vorwalls erhalten. Hiermit konnte eine provisorische Krone hergestellt werden. Durch die ausbrennbare VARIOeco Kunststoffkappe für Titanbasis des Thommen Medical Implantatsystems war es nach einer Kontrolle der Einschraubrichtung des Implantats möglich, den ursprünglichen Zahn in Wachs nachzubilden. Da die räumliche Dimension definiert war, konnte die provisorische Krone in Presskeramik umgesetzt werden (Abb. 15 und 16).
Dr. Dr. Edinger, ZTM Bultmann
Dr. Dr. Edinger, ZTM Bultmann
Freilegung des Implantates
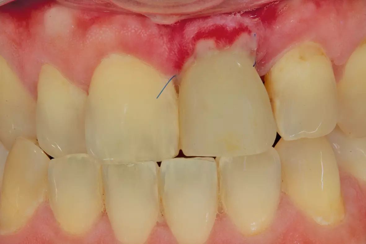
Nach drei Monaten folgte die Freilegung (Abb. 17). In der Operation erfolgte zunächst unter dem Mikroskop wieder die krestale Schnittführung an derselben Stelle wie bei der Implantation unter Erhalt eines einige Millimeter breiten Streifens befestigter Mukosa. Dann wurde der Lappen mit einem Papillenraspatorium zuerst etwas angehoben und dann scharf epiperiostal weiterpräpariert. Die Verschlussschraube wurde aus dem Implantat entfernt und die provisorische Krone eingegliedert. Der interdentale Wundverschluss erfolgte mit Prolene 6.0 (Ethicon, Johnson & Johnson Medical) in Form von vertikalen Matratzennähten (Abb. 18).
Dr. Dr. Edinger, ZTM Bultmann
Dr. Dr. Edinger, ZTM Bultmann
Fertigstellung und Eingliederung der definitiven Krone
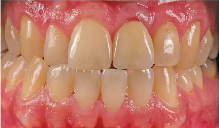
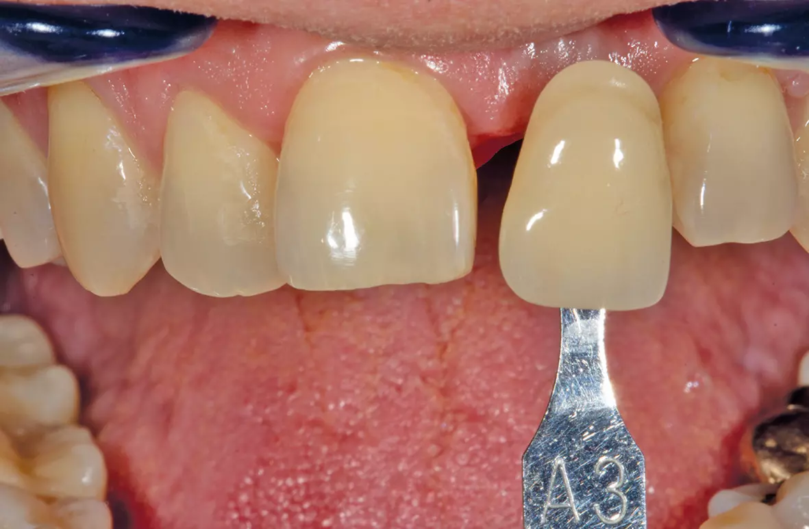
Nun konnte die Reaktion der Gingiva abgewartet, eine genaue Zahnfarbkontrolle erfolgen sowie eventuelle Formkorrekturen analysiert und in die definitive Versorgung übernommen werden. Für die Umsetzung wurde das Modell eingescannt. Digital wurde jetzt die endgültige Krone konstruiert. Dabei kam das Ceramill CAD/CAM-System von Amann Girrbach GmbH zum Einsatz. Im Ceramill Map Scanner wurden die erforderlichen Modelle eingescannt bzw. digitalisiert (Abb. 19). Da die Zahnform schon vorgegeben war, konnte man über einen Situationsscan die spätere Form im Scan erfassen und musste danach lediglich die zu verblendende Fläche reduzieren. In der Ceramill Mind Konstruktionssoftware wurden alle weiteren Schritte in der Folge abgearbeitet und die Krone schließlich in der Ceramill Motion Fräs- und Schleifeinheit aus Zirkon (Ceramill ZI) gefräst. Wichtig war hierbei, dass der Schraubenkanal in Zirkon gefasst blieb (Abb. 20 und 21).
Dr. Dr. Edinger, ZTM Bultmann
Dr. Dr. Edinger, ZTM Bultmann
Dr. Dr. Edinger, ZTM Bultmann
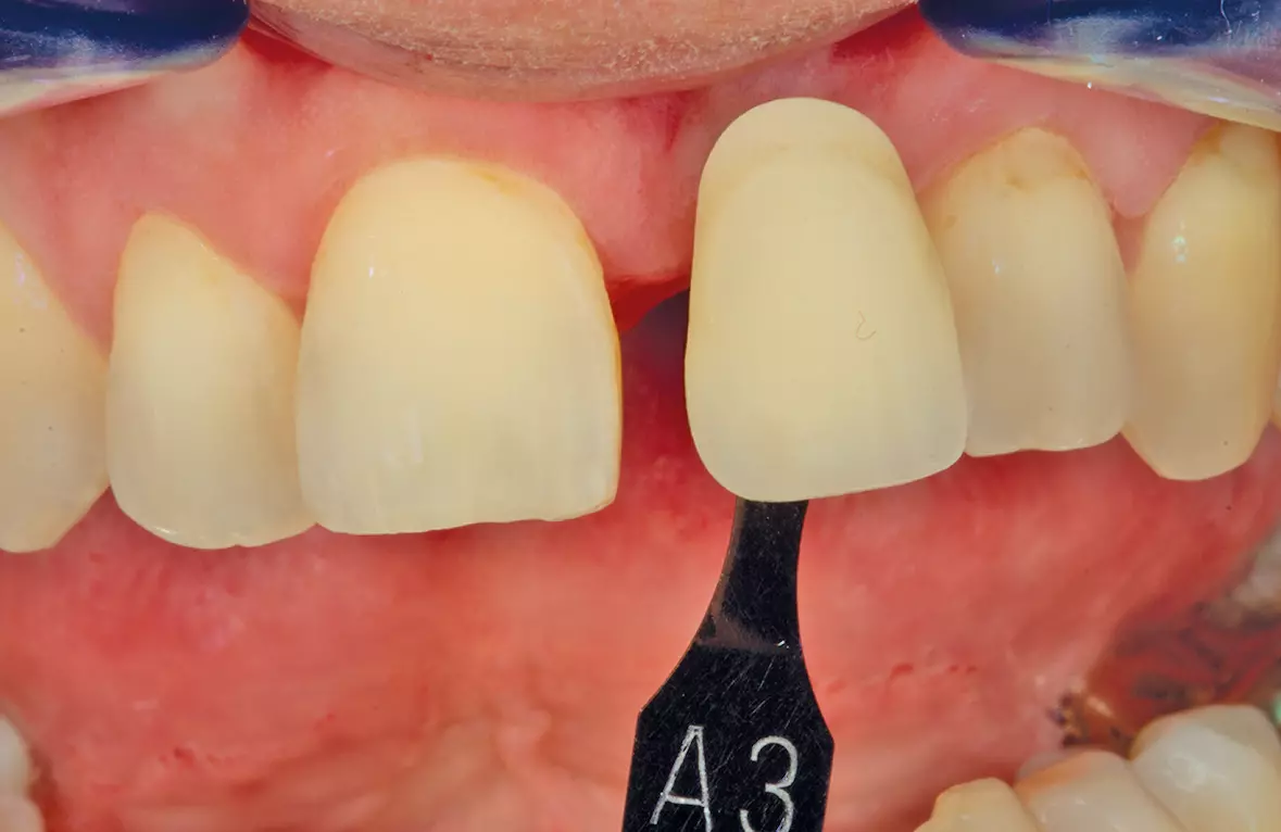
Hierdurch war beim Einschrauben der Implantatkrone eine gute Führung vorhanden und die Verblen dung konnte nicht versehentlich durch den Schraubendreher beschädigt werden. Für die genaue Farbwahl wurden die Zähne mit einem PolarEyes-Filter fotografiert, um die genauen Strukturen des Zahnes und seiner einzelnen Schichten zu analysieren und später in Keramik umzusetzen (Abb. 22-24).
Dr. Dr. Edinger, ZTM Bultmann
Dr. Dr. Edinger, ZTM Bultmann
Dr. Dr. Edinger, ZTM Bultmann
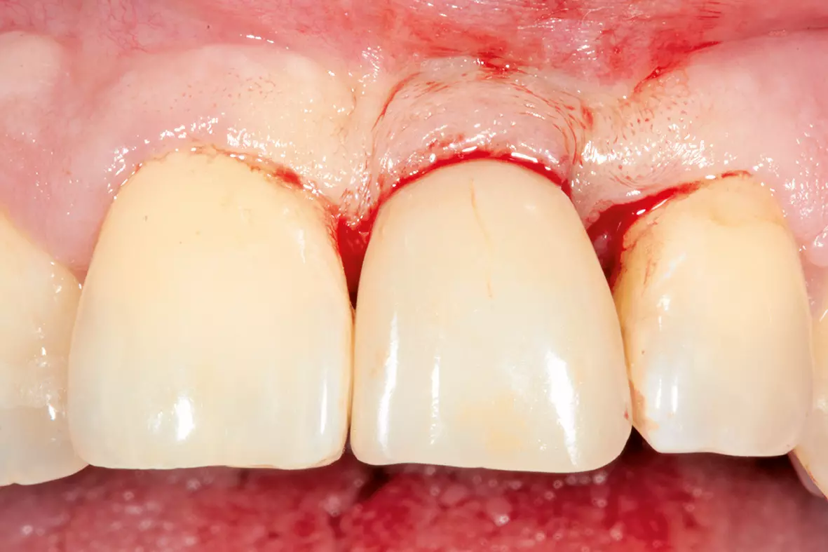
Im Anschluss wurde die Zirkonkrone mit Hilfe von Individualmassen (Creation ZI CT Firma Willi Geller) individualisiert und verblendet (Abb. 25 und 26). Nach Fertigstellung der Krone wurde sie mithilfe von Multilink Implant und Monobond Plus (Ivoclar Vivadent) mit einer Titanbasis für CAD/CAM (Thommen Medical) verklebt. Vom Zahnarzt wurde die provisorische gegen die definitive Krone ausgetauscht (Abb. 27).
Dr. Dr. Edinger, ZTM Bultmann
Dr. Dr. Edinger, ZTM Bultmann
Dr. Dr. Edinger, ZTM Bultmann
Mithilfe dieser Technik war es möglich, den ursprünglichen Wurzeldurchmesser zu erhalten und nicht über eine lange zeitaufwändige Ausformung neu gestalten zu müssen.
Näheres zu den Autoren des Fachbeitrages: Mark Bultmann, Dr. Dr. Dieter EdingerBildquellen sofern nicht anders deklariert: Unternehmen, Quelle oder Autor/-in des Artikels
Entdecke CME Artikel






Keine Kommentare.