Ausgangssituation
60-jähriger, männlicher Patient mit seit etwa acht Jahren bestehender Freiendsituation in regio 26/27. Drei Jahre zuvor wurde auf Position 36 ein PURE Monotype erfolgreich eingesetzt und prothetisch versorgt. Insgesamt ausgezeichnete Mundhygiene und absolut reizfreie Situation an 36. Der Wunsch des Patienten war nun die Versorgung der Position 26 mittels eines Keramikimplantates ohne größere chirurgische Intervention. Nach Anfertigung der dreidimensionalen Aufnahme (DVT) stellten sich ein ausreichendes transversales Knochenangebot und eine vertikale Höhe von ca. 5 – 6 mm zur Kieferhöhle dar, so dass ein interner Sinuslift und die Verwendung eines zweiteiligen Implantates geplant wurden. Das geringe vertikale Knochenangebot und die reduzierte Qualität verglichen mit dem Unterkiefer hätten bei Verwendung eines einteiligen Implantates mit transgingivaler Heilung ein Risiko für die erfolgreiche Osseointegration dargestellt. Zur Vorbereitung wurde die leichte basale Schleimhautschwellung beim Hals-Nasen-Ohren Arzt abgeklärt und der Patient führte täglich Nasenspülungen durch.
Dr. Hoffmann
Dr. Hoffmann
Das chirurgische Vorgehen
Nach lokaler Anästhesie wurden ein Kieferkammschnitt und eine nur minimale Mobilisation des Mucoperiostlappens durchgeführt. Beim internen Sinuslift nach Summers wird die Pilotbohrung bis ca. 1 mm vor die Begrenzung der Kieferhöhle vorgenommen und je nach Knochenangebot und Qualität mittels verschiedener Osteotome (Institut Straumann) weiter aufbereitet. Unabdingbar ist dabei die regelmäßige Kontrolle der Unversehrtheit der Schneider‘schen Membran durch einen „Nasenblasversuch“. Nach erfolgreicher Aufbereitung des Lagers konnte ein Implantat Größe 4,1/10 mm sehr gut primärstabil inseriert werden, anschließend primärer Wundverschluss mittels 5/0 monophiler Naht. Nach vier Monaten erfolgte die minimalinvasive Freilegung und Applikation des Gingivaformers.
Das prothetische Vorgehen
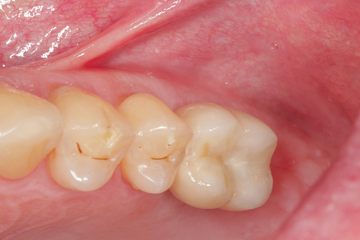
Die Übertragung der Implantatposition ins zahntechnische Laboratorium wird mittels offener Abformung mit individuellem Löffel und einem stabilen Polyäthermaterial vorgenommen. Die achsgerechte Position des Implantates ermöglichte die Anfertigung einer transocclusal verschraubten, verblendeten Zirkonoxidkrone auf einer Klebebasis. Die Besonderheit der Konstruktion ist dabei, dass das Metall der Klebebasis bei der fertigen Konstruktion komplett von Zirkon umschlossen ist. Dies erfordert eine hohe technische Präzision und eine spezielle „Verklebehilfe“ im Labor. Zur ersten Einprobe der Krone beim Patienten befestigen wir die Krone zunächst nur provisorisch auf der Klebebasis. Dies stellt sicher, dass sie bei eventuell notwendigen Korrekturen leicht gelöst und erneut gebrannt werden kann. Ist die Krone in Farbe und Form fertig gestellt, so muss sichergestellt sein, dass die endgültige Verklebung exakt in der gleichen Position auf der Klebebasis erfolgt, wie die zuvor einprobierte. Dafür fertigen wir einen Kunststoffschlüssel.
Dr. Hoffmann
Dr. Hoffmann
Dr. Hoffmann
Dr. Hoffmann
Dr. Hoffmann
Dr. Hoffmann
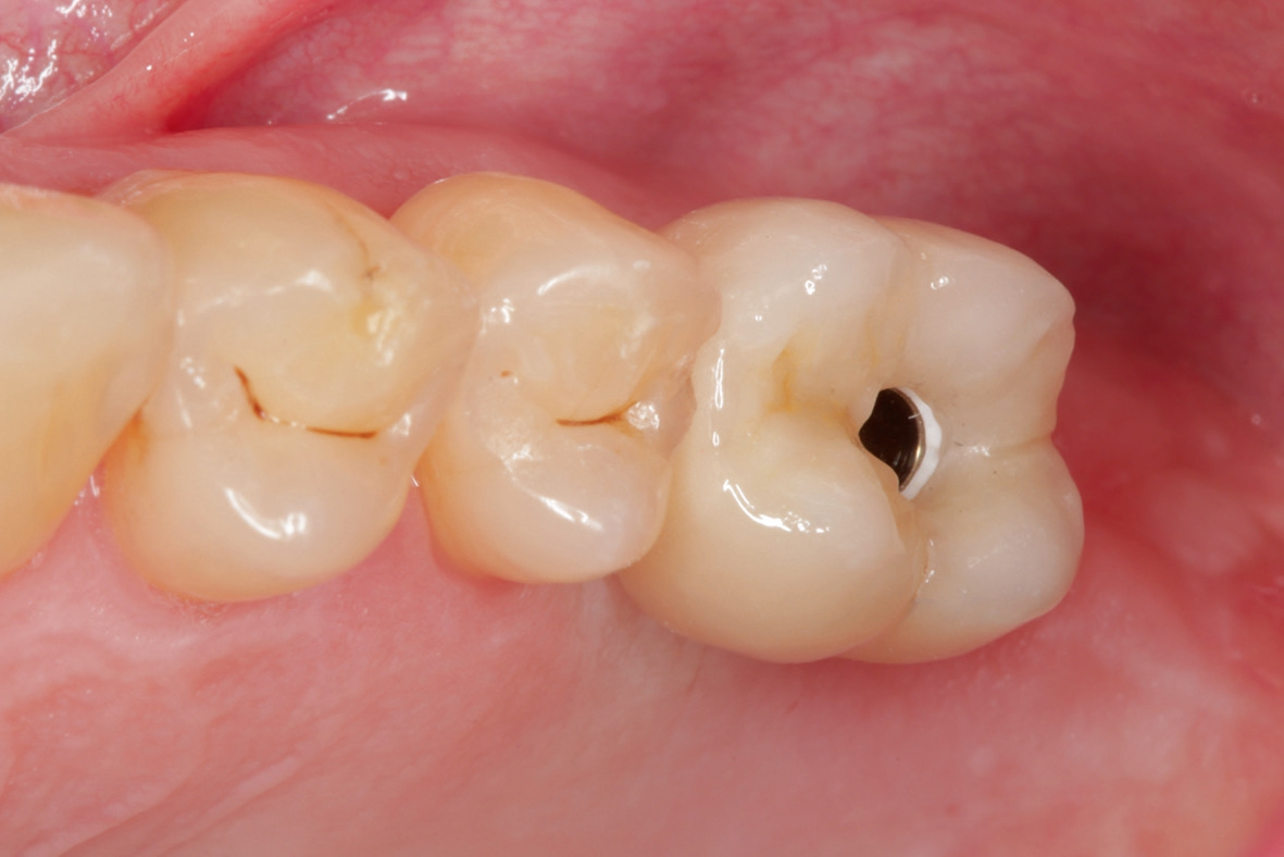
Vor Eingliederung der Krone wird die Hygienefähigkeit geprüft und sichergestellt, dass zukünftig in Okklusion und Artikulation keine traumatischen Kräfte auf die Restauration wirken. Nach Anziehen des erforderlichen Drehmoments wird der Schraubenkanal mit Teflonband gefüllt und ein okklusaler Verschluss mit Komposit vorgenommen.
Dr. Hoffmann
Dr. Hoffmann
Dr. Hoffmann
Dr. Hoffmann
Dr. Hoffmann
Dr. Hoffmann
Dr. Hoffmann
Dr. Hoffmann
Dr. Hoffmann
Dr. Hoffmann
Dr. Hoffmann
Dr. Hoffmann
Dr. Hoffmann
Schlussfolgerungen
Das durch die Kieferhöhle reduzierte Knochenangebot im Oberkiefer-Seitenzahnbereich erfordert eine veränderte Vorgehensweise in der Implantologie. Die Technik des internen Sinuslifts ist eine bewährte minimalinvasive Vorgehensweise, die jedoch, je nach Restknochenangebot und -qualität, ein Risiko in der Einheilphase für ein einteiliges Implantat birgt. Hier bietet das zweiteilige Pure Implantat eine perfekte Lösung, da bei gedeckter Vorgehensweise eine optimale Einheilung gewährleistet werden kann. In Kombination mit der bewährten, etwas modifizierten Variobase gelingt ein funktionell und ästhetisch ansprechendes Ergebnis.
Bildquellen sofern nicht anders deklariert: Unternehmen, Quelle oder Autor/-in des Artikels
Entdecke CME Artikel






Keine Kommentare.