|
Getting your Trinity Audio player ready...
|
Mit der Einführung von Mikrohybridkompositen und der Anwendung von Schmelz- und Dentinkompositen im Schichttechnikverfahren [1a] Ende der 1990er Jahre wurden Modifikationen der Zahnform wie beispielweise das Schließen von Diastema oder die Korrektur eines unregelmäßigen Inzisalkantenverlaufs praktisch und minimalinvasiv durchführbar. Die Silikonschlüsseltechnik wurde ursprünglich für direkte Klasse-IV- und -V-Restaurationen entwickelt, eignet sich jedoch auch für kleinere Formkorrekturen beispielsweise bei unregelmäßigem Inzisalkantenverlauf. Heute umfasst das übliche Verfahren für Frontzahnrestaurationen eine Kompositschichttechnik, unterstützt durch einen Silikonschlüssel, der auf einem Wax-up beruht [1b].
Patientenfall
Allgemein- und zahnmedizinische Anamnese
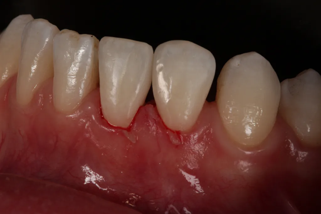
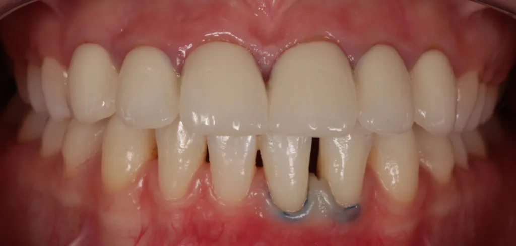
Erstbesuch und Erhebung der allgemeinmedizinischen Anamnese erfolgten am 24.10.2024. Es lagen weder Erkrankungen noch regelmäßige Medikamenteneinnahme vor. Die Patientin ließ sich aus ästhetischen Gründen 2018 alio loco die gesamte Oberkieferfront mit verblockten Zirkonkronen versorgen (Abb. 1) und kam nun für eine Zweitmeinung bezüglich ihrer unbefriedigenden Unterkiefer-Frontsituation.
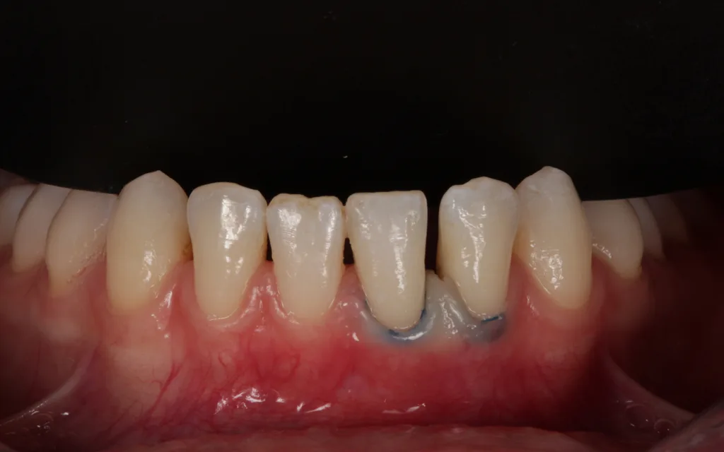
EggerIhr Wunsch bestand darin, die Lücke 31/32 mit möglichst einfachen Mitteln wieder ästhetischer zu gestalten (Abb. 2). Eine kieferorthopädische und/oder prothetische Variante kam aus finanziellen Überlegungen nicht in Betracht. Nach Aufklärung und eingehender Beratung war die Patientin mit der vorgeschlagenen Behandlung einverstanden.
EggerKlinische Befunde
Rote Ästhetik
Im Ober- und Unterkiefer zeigt sich nur ein schmales Band an keratinisierter Schleimhaut. Die Gewebestärke entspricht einem dünnen Biotyp (Abb. 2). Die Patientin verfügt über eine mittlere bis stark geformte Ober- und Unterlippe. Die Lachlinie verläuft mittelhoch.
Weiße Ästhetik
Zahnlänge der OK-Front empfindet die Patientin als ausreichend lang. Das entspannte Lächeln zeigt ca. zwei Drittel der Frontzahnlänge. Im Unterkiefer zeigen sich ovale/dreieckige Zahnformen. Die ursprüngliche anatomische Kauflächenstruktur in den Seitenzahnbereichen ist vorhanden. Die Zahnfarbe entspricht dem Alter der Patientin.
Röntgenologischer Befund
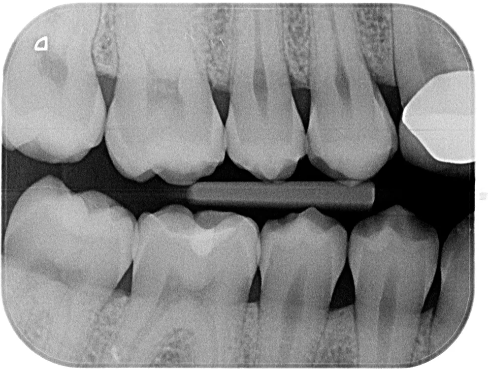
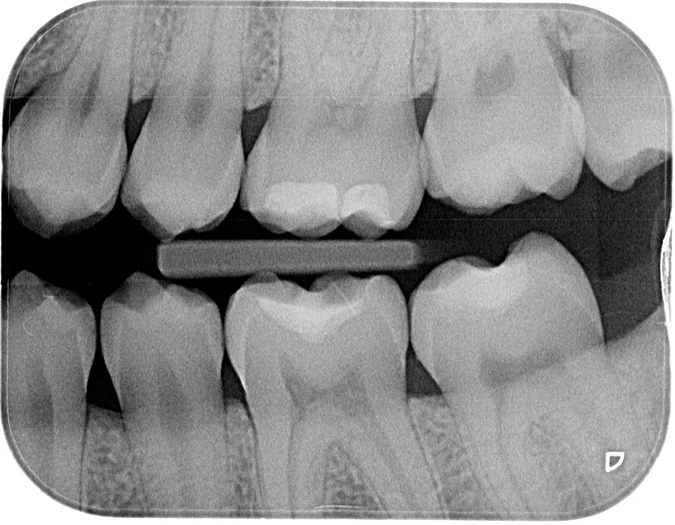
Das OPT (Abb. 1a) gibt keinen Anhalt auf nicht zahnverursachte Prozesse, alle vier Weisheitszähne sind vorhanden und retiniert. Die Bissflügelaufnahmen (Abb. 1b und c) zeigen insuffiziente konservierende Versorgungen an den Zähnen 26, 36, 37 und 46 sowie okklusale Karies an Zahn 16.
Diagnosen
Aus der klinischen und röntgenologischen Befundung leiteten sich die Diagnosen konservierend insuffizient versorgtes Erwachsenengebiss und Diastema laterale Unterkiefer links (Platzüberangebot UK FZB) ab.
Behandlungsverlauf
Nach Befundaufnahme und professioneller Zahnreinigung wurde ein CMD-Kurzscreening durchgeführt und ein Fotostatus erstellt. Ein intraorales Mock-up [2] wurde auf Wunsch der Patientin und aus Kostengründen nicht angefertigt. Definitive Versorgung Adhäsivrestaurationen mit Komposit an 31/32 zum Schluss des Diastema laterale (Abb. 3 bis 9).
Diskussion/Epikrise
Grundsätzlich stand die Diskussion einer Gesamtsanierung (Austausch der insuffizienten Zirkonkronen aufgrund von Randspalten/Sekundärkaries, Entfernung retinierte 8er) im Raum. Die Patientin wünschte sich jedoch lediglich den Diastemaschluss im seitlichen UK-Frontzahnbereich und entschied sich nach Abwägung sowohl ethischer als auch finanzieller Aspekte vorerst nur für die Korrektur/Verbesserung der Zahnstellung im Unterkiefer mit direkten freihändig geschichteten Kompositaufbauten an 31 und 32. Konservierende (Füllungstherapie, In-Office-Bleaching), kieferorthopädische (Alignertherapie) und prothetische (Austausch der Zirkonkronen 13 bis 23) Maßnahmen hat sie aus finanziellen Überlegungen vorerst zurückgestellt [3,4].
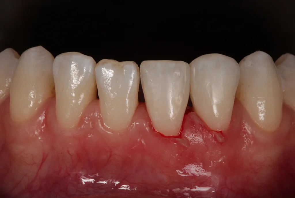
Die Zahnproportionen 31/32 erscheinen nach Aufbau mit Komposit insbesondere im mesiodistalen Bereich etwas „ausgeprägter“ im Vergleich zur kontralateralen Seite und sollten daher als Kompromiss betrachtet werden. Die leicht eingekerbten/gezackten Inzisalkanten wünschte sich die Patientin etwas geradliniger.
Dies hätte durch eine Formanpassung in Komposit bei 41 und 42 mit einem zusätzlichen Aufwand korrigiert werden können, wurde jedoch von der Patientin abgelehnt [5]. Für sie ist das Ergebnis sehr zufriedenstellend. Für den Behandler stellt sich die Behandlung – als Kompromiss – ebenso als Erfolg dar.
Rote Ästhetik
Es zeigen sich postoperativ leichte Irritationen der Gingiva, die durch das Legen der Retraktionsfäden/Ligaturen entstanden sind und sich nach Abheilung und Reifung im Interdentalbereich noch adäquat ausformen werden, um somit einem ansprechenden dentogingivalen Erscheinungsbild zu entsprechen.
Weiße Ästhetik
Die Zahnform der beiden unteren Schneidezähne 31 und 32 entspricht nach Diastemaschluss nun den Wünschen der Patientin (Abb. 10).
Egger
Entdecke CME Artikel
















Keine Kommentare.