|
Getting your Trinity Audio player ready...
|
Unter approximaler Schmelzreduktion (ASR), Zahnkonturierung oder interproximaler Reduktion (IPR) versteht man die Skulpturierung der mesio-distalen Zahnbreite unter Berücksichtigung der relevanten Faktoren wie Anatomie der Zahnkrone und -wurzel, Zustand und Breite des Interdentalseptums und Zustand des Parodontiums.
Der Standard der orthodontischen Therapie hat sich in den letzten Jahren dank der entwickelten Behandlungskonzepte und modernen Technologie entscheidend verbessert. Die Anwendung der Straight-wire-Apparatur mit den zu beherrschenden und leichten Kräften macht es möglich, in den meisten Fällen ideale Ergebnisse zu erzielen. Das perfekte Endergebnis einer orthodontischen Therapie kann jedoch in manchen Fällen wegen einer Abweichung der Schneidezahnkrone (Länge, Breite oder Form) kompromittiert werden. So sind die menschlichen Schneidezähne nicht ausschließlich rechteckig, sondern können auch eine dreieckige oder runde Form aufweisen. Während der orthodontischen Therapie sollte bei Kronenformabweichung auf einige Aspekte besonders geachtet werden: Ästhetik, Platzverhältnisse und Tip, Platzverhältnis und Torque sowie Stabilität. Bei der Behandlungsplanung sollen solche Abweichungen erkannt, berücksichtigt und dem Patienten vor dem Behandlungsbeginn erläutert werden. Um den notwendigen Platz für eine perfekte Nivellierung der Zähne und Ausformung des Zahnbogens zu erreichen, hat der Kieferorthopäde – insbesondere bei einem erwachsenen Patienten – die Wahl zwischen verschiedenen therapeutischen Maßnahmen: Derotationen rotierter Zähne, Protrusion der Zähne, Distalisation der Seitenzähne, transversale Erweiterung der Zahnbögen, Extraktion bleibender Zähne oder Zahnhartsubstanzreduktion durch Schmelzreduktion (Stripping). Da die Integrität der Zahnhartsubstanz gestört wird, ist die Zahnschmelzreduktion als Behandlungsmethode nach wie vor ein stark diskutiertes Thema in der Kieferorthopädie.
- Einige der Voraussetzungen für die Zahnschmelzreduktion (Stripping) sind:
- schriftliche Einwilligung des Patienten nach ausführlicher Aufklärung
- gute Mundhygiene und niedriger Karies-Index
- Abweichung nach Tonn (Tonn-Diskrepanz) bzw. nach Bolten- Index
- Zahnform; pyknisch (oval) oder leptosom (dreieckig)
Geschichte
Vor 50 Jahren wurden die ersten Empfehlungen laut, Unterschiede in der Breite der Zähne durch approximale Schmelzreduktion auszugleichen [2]. Begg gelangte aufgrund seiner Untersuchungen zu dem Ergebnis, dass sich die Zahngröße auf natürliche Weise durch approximale Abrasion der Zahnbogengröße anpasst und so zu einer korrekten Okklusion führt [5]. Seine anfänglich propagierte Extraktionstherapie verwarf er schließlich zugunsten der approximalen Schmelzreduktion, die die fehlende Abrasion aufgrund der modernen Ernährung ersetzen sollte. Jedoch wurden seine Untersuchungen später durch andere Autoren widerlegt. Autoren wie Bolton 1956 [7] sowie Betteridge [4] empfahlen Reduktionen der Zahnbreite vor allem im Frontzahnsegment des Unterkiefers, um einem Rezidiv in Form eines Engstandes vorzubeugen. Die Theorie der „Keystoning procedure“ wurde von Barrer 1975 vertreten [3]. Hudson [16] äußerte als Erster den Wunsch, die Reduktion der Zahnbreite zu vermeiden, weil ein leichter anteriorer Engstand als ein normales Phänomen akzeptiert werden muss. Er war damit der Erste, der ganz genau die verschiedenen Phasen beschrieben hat, die am Ende einer Behandlung zu verfolgen sind, um einige Millimeter Platz zu gewinnen. Paskow 1970 [19] verwendete die Schmelzreduktion als prophylaktische Maßnahme nach Abschluss der Therapie, um das erzielte Therapieergebnis zu erhalten, oder aber auch, um einen nach der Therapie auftretenden Engstand mithilfe einer herausnehmbaren Apparatur zu verhindern. 1972 definierten Peck et al. [20] einen Index (Verhältnis des mesio-distalen Durchmessers bezüglich des vestibulo-lingualen x 100). Sie empfahlen bei abweichenden Werten eine Korrektur durch interdentales Strippen. Durch Sheridan [23,24] wurde 1980 eine Wende eingeleitet. Seine Methode des „Air Rotor Stripping“ wurde nicht im anterioren Segment angewandt, sondern im seitlichen beider Zahnbögen. Der erzielbare Platzgewinn betrug 4 bis 8 mm. Die Absicht, durch approximale Schmelzreduktion eine Disharmonie ohne Extraktion auszugleichen, war neu. Im Gegensatz dazu galt bisher die Reduktion der Rezidivvermeidung eines frontalen Engstandes durch die verbesserte Abstützung aufgrund der vergrößerten Kontaktpunkte und des erhöhten Widerstandes gegenüber approximalen Friktionskräften.
Kontaktpunkt, Approximalraum und Schmelzdicke
Die Bedeutung des Kontaktpunktes für die Stabilität und Kontinuität der Zahnbögen wird von mehreren Autoren betont. Der Kontaktpunkt spielt eine wichtige Rolle, vor allem dann, wenn Kräfte auf den Zahn einwirken. Wheeler spricht von der „collective action“, das heißt gegenseitige Abstützung, Schutz des darunterliegenden Stützgewebes und Kontinuität der okklusalen Flächen [37].
Entscheidend für die Funktion der Kontaktpunkte ist die jeweilige Lage. Im Frontzahngebiet liegt der Kontaktpunkt vertikal gesehen im inzisalen und horizontal im vestibulären Kronendrittel. Bei den Prämolaren und Molaren liegt er horizontal zwischen dem vestibulären und mittleren Drittel, vertikal gesehen zwischen dem okklusalen und mittleren Drittel. Wird die Lage des Kontaktpunktes in Richtung des mittleren Drittels hin verschoben, so wird die Retention von Speiseresten sowie die Abflachung der Interdentalpapille begünstigt. Die physiologische Mobilität der 32 Zähne des Kauorgans erfordert nicht nur eine gute Beziehung zwischen den antagonistischen Zähnen von Oberkiefer und Unterkiefer, sondern auch eine gute Relation der benachbarten Zähne des jeweiligen Zahnbogens. Für Tallec spielt der Approximalkontakt eine doppelte mechanische Rolle: eine abstützende Rolle und eine Rolle der Kontinuität [28].
Der Approximalraum wird durch die Anatomie der Zahnflächen, der Kontaktpunkte und der Zahnform geprägt. Das Papillenplateau vergrößert und vertieft sich bei Verkleinerung des approximalen Abstandes. Dies führt zu einer vermehrten Plaqueretention und damit zu einer erhöhten Empfindlichkeit gegenüber parodontalen Erkrankungen. Bei einer maximalen Schmelzreduktion von 0,5 mm im anterioren Bereich verringert sich der Approximalraum in Höhe der Zahnhälse auf maximal 0,5 mm.
Wie viel Zahnschmelz darf entfernt werden?
Hinsichtlich der approximalen Schmelzreduktion dient als Grundlage und limitierender Faktor die Schmelzdicke. Untersuchungen von Hudson [16], Gillings und Buonocore [13] sowie Shillingburg und Grace [25] kamen zu variierenden Ergebnissen.
- Boese empfiehlt eine Reduktion um die Hälfte des Zahnschmelzes, definiert jedoch keine Referenzdicke [6].
- Barrer schlägt eine Reduktion um 0,5 mm pro Zahn an den 8 Flächen der unteren Inzisiven vor, also maximal 4 mm [3].
- Paskow schreibt von einer Reduktion zwischen 0,25 und 0,37 mm [19].
- Peck und Peck richten sich nach den durch ihre Indizes definierten Standardwerten ohne explizite Größenangabe [21].
- Hudson differenziert die Reduktion an der proximalen Fläche des zentralen Schneidezahns (0,2 mm) von der lateralen (0,25 mm) und der an den Eckzähnen (0,3 mm), insgesamt eine Reduktion von 3 mm im anterioren Bereich [16].
- Tuverson entfernt 0,3 mm der proximalen Fläche der 4 unteren Inzisiven und 0,4 mm der Eckzähne, also insgesamt 4 mm im anterioren Bereich [29].
- Alexander gibt einen Wert von 0,25 mm an allen Zähnen an [1].
- Sheridan reduziert um 0,8 mm im lateralen (Eckzähne, Prämolaren- und Molarenbereich) und 0,25 mm im anterioren Bereich (Frontzähne); insgesamt ein Platzgewinn von 8,9 mm [23,24].
- Fillion fasste diese Ergebnisse zu Grenzwerten zusammen, wobei der Grundsatz gilt, den Zahnschmelz maximal auf die Hälfte zu reduzieren [10–12] (Tab. 1). Anzumerken ist, dass sich die Schmelzreduktion im Bereich der oberen Frontzähne auf rein ästhetischen Gesichtspunkten begründet.
Prof. Dr. Watted
Änderung des Approximalraums und des interradikulären Knochens durch die approximale Schmelzreduktion
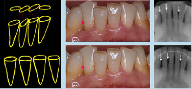
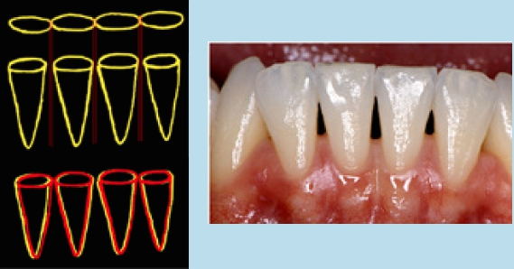
Der Approximalraum ist ein dreieckiger Raum, der von Gingiva ausgefüllt und von den 2 Approximalflächen der benachbarten Zähne und dem Alveolarknochen begrenzt wird (Abb. 1). Eine Änderung des Approximalkontaktes in Höhe und Form führt in der Regel zu einer Änderung des Approximalraums und dessen Auffüllung mit der Interdentalpapille. Tarnow et al. konnten bei ihrer Studie den Zusammenhang zwischen der Größe des Approximalraums und der Distanz zwischen der Crista alveolaris und dem Kontaktpunkt nachweisen [27]. Je größer die Distanz ist, desto größer ist der Approximalraum und desto weniger ist dieser Raum mit Papille aufgefüllt. Wenn der Abstand 3, 4 oder 5 mm beträgt, ist die Papille bis zu 100% vorhanden (Abb. 2a). Bei einer Distanz von 6 mm ist die Hälfte der Papille vorhanden (Abb. 2b). Wenn die Distanz mehr als 7, 8, 9 oder 10 mm beträgt, ist die Papille in der Regel nicht vorhanden (Abb. 2c, Abb. 3a und b). Dieser Effekt kann in der Kieferorthopädie zur Verbesserung der dentogingivalen Ästhetik insbesondere bei Patienten mit parodontal geschädigten Zähnen und vergrößertem Approximalraum (dunkles Dreieck) ausgenutzt werden. Durch das Strippen der Zähne und das Schließen des entstehenden Raumes kann der Kontaktpunkt weiter zervikal verlegt werden. Dadurch wird die Distanz zwischen Kontaktpunkt und Knochenrand verkleinert. Als Resultat füllt sich der Approximalraum mit mehr Papille auf, was eine sofortige Verbesserung des Erscheinungsbildes bewirkt. Zudem führt längerfristig die Verringerung des Abstandes zwischen Kontaktpunkt und Alveolarknochen zu einem geringeren Risiko hinsichtlich der Entstehung gingivaler Rezession [27] (Abb. 4a bis c).
Prof. Dr. Watted
Prof. Dr. Watted
Prof. Dr. Watted
Prof. Dr. Watted
Prof. Dr. Watted
Prof. Dr. Watted
Hier muss zwischen einer Schmelzreduktion an korrekt stehenden Zähnen und einer an malpositionierten Zähnen unterschieden werden. Bei korrekt angeordneten Zähnen bewirkt die Schmelzreduktion eine Verkleinerung in Höhe und Breite des Approximalkontaktes. Dies führt zu einer Vergrößerung des Papillenplateaus, das mit nichtkeratinisiertem Epithel bedeckt ist und gegenüber parodontalen Erkrankungen empfindlicher ist als das keratinisierte Epithel [26]. Diesem Problem muss mit guter Mundpflege begegnet werden (Abb. 5). Bei einer Schmelzreduktion an malpositionierten Zähnen wird die Größe des Approximalraums nicht verringert, sondern leicht vergrößert, wenn man beachtet, dass das Ausmaß der Reduktion das des Überlappens nicht überschreiten darf (Abb. 6). Jedoch sollte man nicht vergessen, dass das Alignment durch Schmelzreduktion die normale Anatomie des Kontaktpunktes und des Zahnzwischenraums nicht wiederherstellt. Berücksichtigt wurden hier folgende Zahnpositionen:
- rotierte Zähne, die auf demselben Niveau stehen wie die benachbarten Zähne
- stark in vestibulo-lingualer Richtung gekippte Zähne, die aber nicht rotiert sind
- fächerförmig in einer Ebene stehende Zähne mit bestehender Annäherung aller 4 Wurzeln
Vor- und Nachteile der approximalen Schmelzreduktion
Viele Autoren rechtfertigen den Gebrauch der Schmelzreduktion nicht nur in Bezug auf den Platzgewinn, der ein korrektes Alignment der Zähne ermöglicht, sondern auch damit, dass die vergrößerten Kontaktflächen eine bessere Abstützung der Zähne untereinander ermöglichen. So kann den Kräften der approximalen Friktion besser widerstanden werden. Von einer absolute Stabilität des so erzielten Behandlungsergebnisses kann jedoch nicht einfach ausgegangen werden. Als Indikation der approximalen Schmelzreduktion bei Erwachsenen sind folgende Punkte anzusehen:
- Behandlung verschiedener Anomalien mit intermaxillärer Disharmonie, intramaxillärer Disharmonie oder Tiefbiss. Hierbei muss zwischen Schmelzreduktion und Extraktion abgewogen werden (Abb. 7a bis d)
- Ausgleich des Zahnvolumens: im Oberkiefer, nach Extraktion oder bei Fehlen eines Unterkieferinzisiven; im Unterkiefer aufgrund des Vorkippens der Inzisiven (Abb. 8a bis d)
Prof. Dr. Watted
Prof. Dr. Watted
Vorteile
- Vermeidung der Extraktion von gesunden Zähnen
Der größte Vorteil bei der approximalen Schmelzreduktion liegt in der Vermeidung einer Extraktion. Während bei der Extraktion von zwei Prämolaren ein Platzgewinn zwischen 12 und 14 mm erzielt wird, dieser jedoch selten dem erforderlichen Platzbedarf entspricht, kann durch die approximale Reduktion der Platzgewinn dem individuell nötigen Bedarf angepasst werden. - Kleine Zahnbewegungen
Aufgrund des minimierten Lückenschlusses reduzieren sich ebenfalls die benötigten Zahnbewegungen und damit die Folgen – wie Wurzelspitzenresorptionen –, die mit großen Zahnbewegungen zusammenhängen. Für die 2. Prämolaren ergibt sich eine Maximalbewegung von 1 mm, für den 1. Prämolaren von 2 mm und für den Eckzahn von 3 mm bei Einhaltung der maximal zulässigen Schmelzreduktion. - Optimierung der Frontzahnästhetik
Aus ästhetischer Sicht lässt sich die Vermeidung triangulärer Zonen als Folge der Vergrößerung der Interdentalräume anführen. Ein weiterer Vorteil der Zahnschmelzreduktion ist die Zahnformkorrektur besonders in der Front bei einer Zahnformabweichung, die das positive Erscheinungsbild mit sich bringt. Ebenso ist das Risiko einer Abflachung des Profils durch Retraktion der anterioren Zähne nicht gegeben. - Stabilisierung der Zahnkontakte
Wenn die Schneidezähne eine dreieckige Kronenform zeigen, wird sich am Ende der Therapie ein punktförmiger Approximalkontakt ergeben. Eine Vergrößerung der Kontaktfläche durch Konturierung des Zahnschmelzes führt zu einer Verbesserung der Stabilität. Hinsichtlich der Stabilität konnten Untersuchungen von Williams [31] zeigen, dass sich der Einsatz permanenter Retainer in der Front des Unterkiefers reduziert. - Kurze Behandlungszeit
Ein weiterer Vorteil ist die verkürzte Behandlungsdauer um 30 bis 50%.
Aufgrund der Indikation des interdentalen Strippens stellt sich hier die Frage, ob eine kieferorthopädische Behandlung ohne Extraktion die Gesundheit des parodontalen Gewebes und der Zähne weniger beeinflusst. Verschiedene Studien, die Patienten mit einer kieferorthopädischen Behandlung und Extraktionstherapie mit einer unbehandelten Kontrollgruppe verglichen, konnten keinen signifikanten Unterschied bezüglich parodontaler Erkrankungen finden. Vielmehr bestätigten die Studien, dass eine Behandlung, die während der Adoleszenz durchgeführt wird, kein Faktor ist, der die Gesundheit des Parodontiums auf lange Sicht schädigt. Langzeitstudien weisen darauf hin, dass die Kieferorthopädie keine Schäden setzt; andererseits besagen diese Studien aber auch, dass sie den langfristigen Erhalt eines gesunden Parodonts nicht begünstigt.
Ein weiterer Punkt ist die Auswirkung der Multiband-Behandlung hinsichtlich Wurzelresorptionen. Ein Zusammenhang besteht zwischen dem Alter des Patienten in dem Sinne, dass bei Erwachsenen häufiger Wurzelresorptionen auftreten. Im Hinblick auf einen Zusammenhang mit der Art der Behandlung – mit oder ohne Extraktion – sind die Aussagen verschieden. Als ursächlicher Faktor wird aber die Dauer der Behandlung von allen Autoren bejaht. Die Folgen der Wurzelresorption auf die Stabilität der Zähne sind ohne Frage geringer als die Folgen des Knochenverlustes.
Nachteile
Die Zahnschmelzreduktion hinterlässt an den betroffenen Zähnen Rillen von einer Tiefe, die zwischen 10 und 30 ?m liegt. Die Anwendung von Diamantstreifen hinterlässt dabei die raueste Oberfläche [17]. Eine dadurch erhöhte Kariesfrequenz konnte allerdings nicht nachgewiesen werden. Zachrisson begründet diese Tatsache damit, dass es sich bei dem Zahnschmelz um eine „dynamische Oberfläche“ handelt, die sich remineralisiert und stabilisiert [32]. Eine Studie von Mangoury [18] konnte elektronenmikroskopisch nach 9 Monaten eine Remineralisation nachweisen. Als Grundsatz der Schmelzreduktion muss jedoch gelten, die Schmelzdicke maximal auf die Hälfte zu reduzieren, um einen ausreichenden Schutz des Zahnes zu gewährleisten. Eine Reduktion des Zahnschmelzes bei korrekt stehenden Zähnen verkleinert den Interdentalraum und damit das Septum. Bei eng stehenden Zähnen wird der Interdentalraum größenmäßig erhalten bzw. vergrößert, wenn die Reduktion die Überlappung der Zähne nicht überschreitet. Je schmaler der interdentale Knochen ist, desto unempfindlicher ist er gegenüber parodontalen Erkrankungen. Die Widerstandsfähigkeit des interradikulären Knochens steigt bei Reduktion, während die Empfindlichkeit des parodontalen Gewebes steigt.
Es konnte ein Zusammenhang zwischen dem Knochenverlust bei parodontalen Erkrankungen und der Verbreiterung des Interdentalraums nachgewiesen werden. Studien von Betteridge [4] und Boese [6] zeigten keine Verringerung des Alveolarkammes bzw. sogar bessere Gingiva-Indizes nach approximaler Schmelzreduktion bei UK-Frontzähnen. Crain und Sheridan [9] fanden ebenfalls keinen signifikanten Unterschied bei lateraler Reduktion. Eine Verkleinerung des Approximalraums führt weiterhin zu einer Vertiefung des Papillenplateaus und begünstigt dadurch eine vermehrte Plaqueretention. Außerdem steigt die Empfindlichkeit des dünnen, nichtkeratinisierten Epithels, die zusammen mit der Verringerung des Bindegewebes zu parodontalen Problemen führen kann.
Methoden für die Zahnschmelzreduktion – Stripping
Ein vorrangige Frage, die sich bei der Schmelzreduktion stellt: Wie und mit welchen Mitteln kann Schmelz reduziert werden? Die Reduktionsinstrumente können in 3 Kategorien unterteilt werden:
- Die nichtrotierenden Instrumente:
Diese Instrumente sind für die manuelle Anwendung. Dazu gehören Streifen aus Edelstahl, die direkt mit den Händen betätigt werden. Sie sind mit einem abrasiven Material auf einer oder auf beiden Seiten bedeckt. Ihre Stärke reicht von 0,15 bis 0,4 mm (Abb. 9). - Die rotierenden Instrumente:
Dazu gehören zylindrische oder kegelförmige Schleifkörper (z.B. Diamantscheiben, Diamantfräsen und Wolfram-Karbidfräsen) und Scheiben, die im Winkelstück oder auf der Turbine montiert werden. Die Dicke der Diamantscheiben variiert zwischen 0,1 und 0,17 mm. Die Dicke der feinsten Diamantfräse beträgt an ihrem freien Ende 0,18 mm und 0,78 am anderen Ende (Abb. 10). - Die oszillierenden Instrumente, die am oszillierenden EVA-Winkelstück montiert werden (Abb. 11 und 12).
Prof. Dr. Watted
Prof. Dr. Watted
Prof. Dr. Watted
Prof. Dr. Watted
Auf diese Instrumente nach dem neuesten Stand der Technik wird im vorliegenden Artikel näher eingegangen.
Das System wird als Oscident „Strips“-System (Oscident GmbH, Bad Homburg, Deutschland) bezeichnet. Diese Strips sind mit unterschiedlichen Korngrößen mit natürlichem Diamant beschichtet und farbcodiert. Sie können sowohl einseitig (interdentale unilaterale Reduktion) als auch doppelseitig (interdentale bilaterale Reduktion) mit Diamant beschichtet sein. Es sind 2 Varianten erhältlich: zum einen der Opener-Strip zum Abtragen der Zahnhartsubstanz, der in unterschiedlicher Korngröße und mit oder ohne Sägezähne sowie gelocht und ungelocht vorliegen kann (Abb. 13 und 14, Tab. 2). Die 2. Variante ist der Polier-Strip; diese Strips sind mehrfach sterilisierbar.
Prof. Dr. Watted
Prof. Dr. Watted
Prof. Dr. Watted
Die Arbeitsschritte sind Folgende: Mit dem Opener-Strip wird der erste Kontaktpunkt entfernt und somit entsteht der Spalt zwischen den benachbarten Zähnen, die zu strippen sind (Abb. 15). Mit dem nächsten Strip wird die Zahnhartsubstanz weiter abgetragen. Die Strips haben bei der Erstanwendung fest definierte Blattstärken, die aber naturgemäß nur bei der ersten Nutzung der Instrumente gegeben sind. Eine stete Prüfung des Spaltmaßes ist für jedes System erforderlich. Nach Öffnen des erforderlichen Spaltes zwischen den benachbarten Zähnen können die Strips am Rahmen mit den Daumen leicht gebogen bzw. gerundet werden; dadurch wird das diamantierte Band flexibler und kann die interdentale Eröffnung/Spalt konturieren und dem Zahn die natürliche Form zurückgeben (Abb. 16). Als letzter Schritt folgen die Politur mit dem Polierstreifen und die Applikation fluorhaltigen Materials (Abb. 17).
Prof. Dr. Watted
Prof. Dr. Watted
Prof. Dr. Watted
Klinische Umsetzung
Anamnese und Diagnose
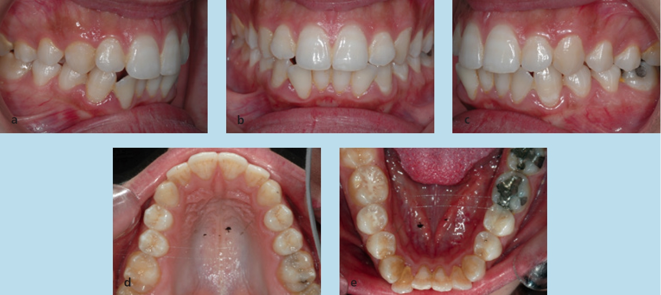
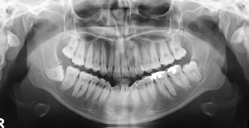
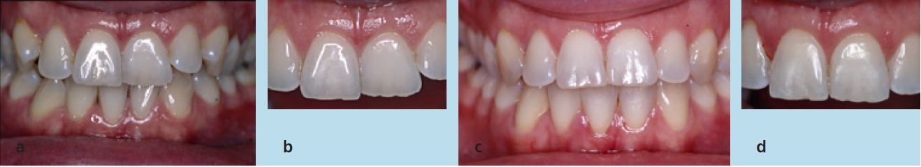
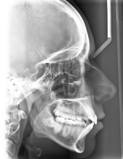
Die Patientin stellte sich im Alter von 23 Jahren zu einer kieferorthopädischen Beratung vor. Sie störten die Engstände im Unterkieferzahnbogen. Die extraoralen Aufnahmen zeigen ein schönes, harmonisches, leicht konvexes Profil, das nach den Grundregeln der Ästhetik nicht verändert werden darf (Abb. 18a bis c). Die intraoralen Aufnahmen zeigten zu Behandlungsbeginn eine Angle-Klasse-I-Okklusion, Tendenz zu Klasse III rechts und Klasse I links. Auf der Frontalaufnahme ist die knappe sagittale und vertikale Frontzahnstufe zu sehen (Abb. 19a bis c). Im Rahmen der Modellanalyse konnte eine harmonische Breitenrelation beider Zahnbögen im Bereich der Molaren und Prämolaren ermittelt werden, im Oberkiefer waren die Platzverhältnisse ausgeglichen. Im Unterkiefer lag ein Engstand von insgesamt 5 mm vor, wobei sich die Engstände auf die Frontzahnregion konzentrierten (Abb. 19d und e). Das angefertigte OPG (Abb. 20) zeigte, dass alle Zähne vorhanden und die Zähne 38 und 48 retiniert und verlagert waren. Im Seitenzahngebiet war eine konservierende Versorgung zu verzeichnen. Die parodontale Situation war röntgenologisch sowie klinisch unauffällig und die Knochenverhältnisse ließen eine orthodontische Behandlung zu. Die Fernröntgenaufnahme (Abb. 21) zeigte keine skelettalen Auffälligkeiten. Die Oberkieferfront stand nahezu achsengerecht, die Unterkieferfront war nach labial gekippt (Tab. 3).
Prof. Dr. Watted
Prof. Dr. Watted
Prof. Dr. Watted
Prof. Dr. Watted
Prof. Dr. Watted
Therapieplanung
Zur Herstellung von lückenlosen, ästhetisch ansprechenden Oberund Unterkieferzahnbögen bestanden 2 Alternativen:
- Orthodontische Behandlung mit Extraktion von 4 Prämolaren zur Platzbeschaffung: Der Engstand in der Unterkieferfront, die vertikale und die sagittale Frontzahnstufe sowie die Unterkieferstellung hätten für dieses Vorgehen gesprochen.
- Orthodontische Behandlung ohne Extraktion: Die Engstände im Unterkieferzahnbogen müssten durch anderweitige Platzbeschaffungsmaßnahmen (absolute Platzbeschaffungsmaßnahmen durch Konturierung der dreieckigen Zahnform – Strippen) aufgelöst werden.
Die erste Behandlungsalternative hätte zu einer Verschlechterung des fazialen Erscheinungsbildes geführt. Infolge der Extraktion und anschließend des kieferorthopädischen Lückenschlusses wäre es zu einer Abflachung des Mundprofils gekommen. Bei dieser Behandlungsvariante wäre aufgrund der größeren Zahnbewegungen mit einer wesentlich längeren Behandlungsdauer und den entsprechenden Risiken zu rechnen gewesen. Der Patientin wurden Vor- und Nachteile beider Alternativen erläutert. Sie entschied sich nach ausführlicher Aufklärung für die Non-Extraktionstherapie.
Therapeutisches Vorgehen
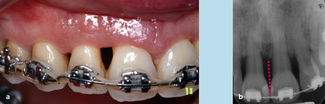
Für die Behandlung und geplanten Zahnbewegungen wurde eine festsitzende Apparatur (0,022 × 0,028 Slot-Brackets) eingegliedert; im Oberkiefer erfolgte eine vollständige Bebänderung, im Unterkiefer nur eine Teilbebänderung der Seitenzähne (Abb. 22a bis c). Aufgrund der Achsenstellung der Fronten im Unterkiefer sollte eine weitere labiale Kippung bei der Auflösung des Engstandes vermieden werden. Um dies weitestgehend umsetzen zu können, wurde im gesamten Frontzahngebiet und bei den seitlichen Zähnen inklusive der Mesialfläche der Unterkiefereckzähne um insgesamt 4 mm gestrippt (0,20 bis 0,25 je Approximalfläche). Die Form der Zähne und der Verlauf der Gingiva ließen dies zu. Zu Beginn der Behandlung wurden nur die 1. Molaren, Prämolaren und Eckzähne bebändert, um die Proklination der unteren Schneidezähne zu vermeiden. Die Prämolaren wurden jeweils von mesial und distal sowie die Eckzähne von distal mit dem oszillierenden EVA-Winkelstück mit Hubbewegung gestrippt. Für eine effektive Distalisation und Ausnutzung des gewonnenen Platzes wurde in den Bogen zwischen den Zähnen 33 und 43 eine Druckfeder eingesetzt (Abb. 23). Nach vollständiger Distalisation der seitlichen Zähne wurden die Schneidezähne beklebt. Vor dem Einligieren des Bogens wurde die Unterkieferfront von mesial und distal einschließlich der mesialen Fläche der Eckzähne gestrippt. Es wurden Lace-backs und voller Bogen eingesetzt (Abb. 24a bis c).
Prof. Dr. Watted
Prof. Dr. Watted
Prof. Dr. Watted
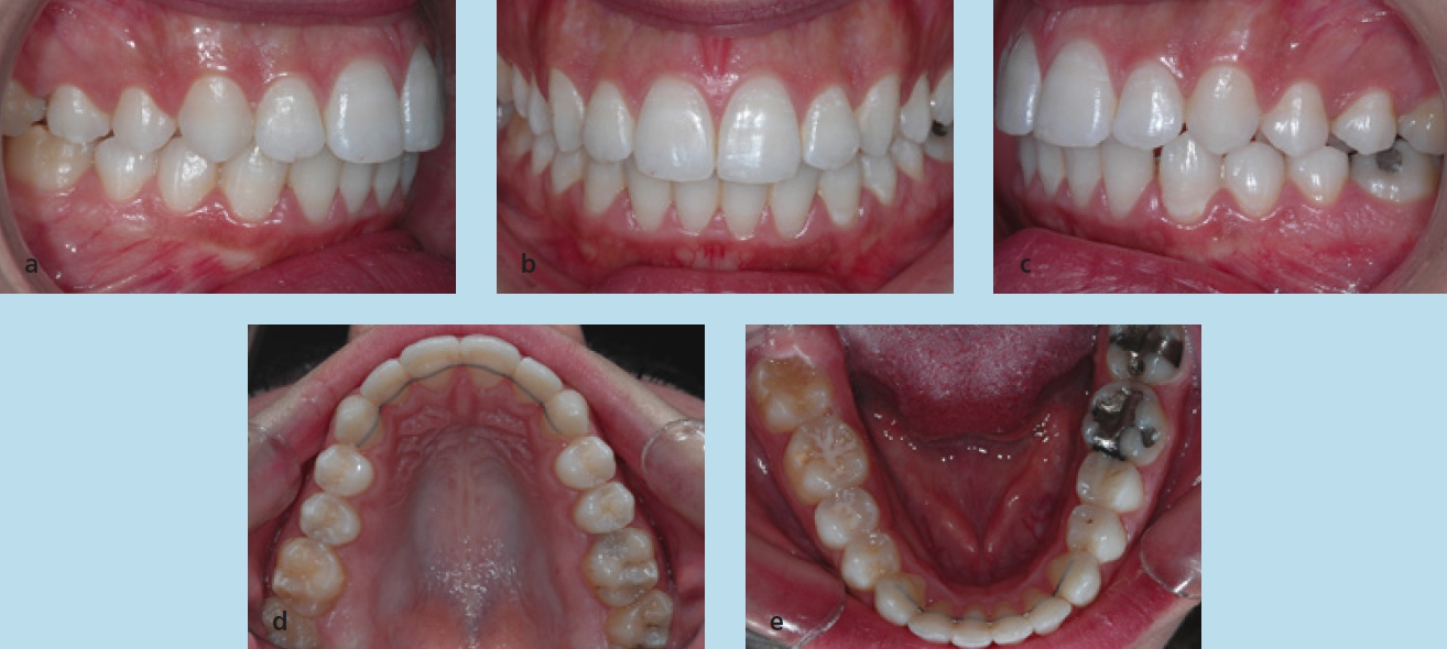
Um die Okklusion in der vertikalen Dimension zu kontrollieren und den knappen Überbiss nicht zu verlieren, wurden zwischen den oberen Eckzähnen einerseits und den unteren Eckzähnen sowie 1. Prämolaren andererseits up & down-elastics in Form eines Dreiecks eingehängt. In den später eingegliederten Stahlbogen wurde zudem eine entsprechende Extrusionsstufe für die Oberkieferfront eingearbeitet. Die Zahnbögen waren lückenlos ausgeformt und nivelliert. Im Seitenzahngebiet war die Okklusion auf Klasse I eingestellt, die Frontzahnstufe war in sagittaler und vertikaler Richtung physiologisch (Abb. 25a bis e). Es trat keine Profilveränderung ein (Abb. 26a bis c). Die Parameter der Fernröntgenaufnahme (Tab. 3) lassen die dentalen Veränderungen erkennen; aufgrund der Zahnhartsubstanzreduktion kam es zu einer vergleichsweise geringen labialen Kippung beider Fronten. Zur Retention wurde an den Ober- und Unterkiefereckzähnen ein Retainer fixiert. Zusätzlich wurden im Ober- und Unterkiefer Retentionsplatten eingesetzt.
Prof. Dr. Watted
Prof. Dr. Watted
Diskussion
Die Vermutung, dass eine orthodontische Therapie und speziell eine Therapie mit Extraktion die Gesundheit des parodontalen Gewebes und der Zähne beeinflussen könnte, wurde oft hervorgehoben. Die Frage, ob der Preis für eine Therapie ohne Extraktion weniger hoch als für eine Therapie mit Extraktion ist, konnte in diesem Beitrag beantwortet werden. Das Strippen kann als ein absolutes Behandlungskonzept in der Kieferorthopädie eingestuft werden; dies kann besonders bei Grenzfällen der Fall sein (Klasse III mit knapper sagittaler Frontzahnstufe, bei der ein chirurgisches Vorgehen nicht zu rechtfertigen ist, oder bei Engständen, bei denen die Extraktion von bleibenden Zähnen wegen des Profils zum Beispiel kontraindiziert ist). Die individuell korrekte Proportion von Kronenlänge zu Kronenbreite ist ein weiterer Faktor, der die dentale Ästhetik bestimmt. Gemäß Untersuchungen [8,30] beträgt das als ästhetisches Optimum empfundene Verhältnis im Durchschnitt 1 zu 0,85 (Abb. 5). Ein Missverhältnis von Kronenlänge und -breite, z.B. quadratische (z.B. zu weit nach inzisal verlaufende Gingiva) oder längliche (z.B. bei Gingivarezession) Zahnformen stört das ästhetische Erscheinungsbild. Im Rahmen der kieferorthopädischen Therapie kann diese Proportion berücksichtigt werden, besonders wenn es durch Zahnbewegungen in der Vertikalen zu einer Veränderung des Gingivaverlaufs kommt. Die Schmelzreduktion (Strippen) in der Unterkieferfront für die Auflösung des Engstandes und somit die Vermeidung der weiteren Labialkippung wurde nach entsprechender Diagnose in der Frontsituation und einer Überprüfung der entsprechenden Kriterien in Bezug auf Parodontalverhältnisse [22,31–33,39], Papillenform [28], Interapproximalraum [14,35], Zahnform [28,34,37], Lokalisation des Kontaktpunktes [28,36] und dessen Form, interradikuläre Knochendicke [15] und die zu strippende Menge [10–12] durchgeführt. Auf die Menge bzw. die Dicke der möglichen Reduktion wurde vielfältig in der Literatur eingegangen. Bis zum heutigen Tag konnte keinerlei Korrelation zwischen Breite des Zahnes und der Dicke der Schmelzschicht gefunden werden. Als Tatsache soll hier erwähnt werden, dass eine gestrippte Zahnoberfläche niemals vollständig und befriedigend poliert werden kann. Eine sehr gewissenhaft durchgeführte Politur hinterlässt oft eine glattere Schmelzoberfläche als eine gänzlich unbehandelte; jedoch bleiben auch in solchen Fällen Rillen, die groß genug sind, um eine Plaqueanhäufung zu begünstigen. Alle Autoren, wir eingeschlossen, sind sich einig darüber, während der Schmelzreduktion Fluoridtouchierung durchzuführen, um die Remineralisation zu fördern.
Ziel einer kieferorthopädischen Behandlung ist die Rehabilitation der Funktion und Ästhetik, die aber auch stabil gehalten werden soll. Die Aneinanderreihung der Zähne sichert die Kontinuität des Zahnbogens und unterstützt dessen Stabilität; fehlt ein Kontaktpunkt, weil ein Zahn fehlt, ist das Gleichgewicht zerstört und die Zähne, die an die Lücke angrenzen, verschieben sich gegeneinander. Wheeler [37] unterstreicht den funktionellen Aspekt des Approximalkontaktes, indem er ihn als „semimobiles Gelenk“ bezeichnet, das es ermöglicht, die Kraft, die auf einen der Zähne einwirkt, auf eine wesentlich größere Anzahl von Zähnen zu verteilen. Aus diesem Grund ist manchmal die Schmelzreduktion erforderlich, um bessere und stabile Zahnkontakte zu bekommen [38]. Was den interradikulären Knochen betrifft, kann eine Verkleinerung des Zahnzwischenraums zu einer Annäherung der Wurzeln führen. Wird der interradikuläre Spalt unter 0,5 mm verringert, verschwindet der medulläre Knochen. Bei einer Annäherung unter 0,3 mm verschwindet außerdem die Lamina dura und es kommt zu einer Verbindung der Zähne über die parodontalen Ligamente. Die Folge sind laterale Wurzelresorptionen [14]. Aus diesem Grund sollten die Wurzelabstände vor dem Strippen bewertet werden. Giovanoli bemerkt jedoch, dass eine Wurzelresorption nicht ohne pathologischen parodontalen Prozess eintreten kann und dass dieser Situation in aller Regel eine laterale Wurzelresorption der proximalen Fläche der betreffenden Zähne vorausgeht [14]. Eine minimale interradikuläre Distanz liegt vor, wenn der Zahnkontakt deutlich zervikal liegt. In diesem Fall ist das Strippen absolut kontraindiziert, selbst wenn der Zahn breiter als der Durchschnitt ist. Die Reduzierung des medullären Knochens führt zu einer verbesserten parodontalen Abwehrkraft, andererseits reduziert sich aufgrund der starken Vaskularisierung die Regenerationsfähigkeit. Bei Patienten mit parodontalen Erkrankungen ist daher Vorsicht geboten.
Nach dieser ausführlichen Darstellung der approximalen Schmelzreduktion stellen sich einige Gedanken besonders in den Vordergrund:
- Die Schmelzreduktion führt nicht zu einer Schädigung des Patienten.
- Was das Parodontalgewebe anbetrifft, ist der Preis für die Therapie ohne Extraktion nicht so hoch.
- Die Wurzelresorption kann durch die Behandlungslänge und die andere Kraftanwendung in exzeptioneller Art und Weise reduziert werden.
- Trotz der Bedenken der Patienten, dass das Stripping ihre Dentition schwächt, akzeptieren sie diese Behandlungsmethode weitaus besser, weil keine Zähne extrahiert werden müssen und die Behandlungsdauer kürzer ist.
- Es sollten nur Instrumente verwendet werden, die es ermöglichen, die Reduktion genauer zu quantifizieren und eine optimale Politur zu gewährleisten.
- Trotz des Verbleibens von Rillen an der Zahnoberfläche nach Strippen konnte keine Studie beweisen, dass es sich bei einer Schmelzreduktion um eine kariesinduzierende Maßnahme handelt.
- Aus unserer langjährigen klinischen Anwendung der Schmelzreduktion und Beobachtung können wir keine auffällige Kariesanfälligkeit bei Patienten in Retention feststellen.
Autoren:
Nezar Watted1
Muhamad Abu-Hussein2
Obaida Awadi3
Peter Proff4
Borbély Péter5
Viktória Hegedüs5
1 Klinik und Poliklinik für Zahn-, Mund- und Kieferkrankheiten der Julius-Maximilians- Universität Würzburg, Deutschland, Department of Orthodontics, Arab American University, Jenin, Palestine
2 Department of Orthodontics and Pediatric Dentistry, University of Athens, Greece
3 Center for Dentistry, Research and Aesthetics, Jatt, Israel
4 Department of Orthodontics, University of Regensburg, Germany
5 Department of Pediatric Dentistry and Orthodontics, University of Debrecen, Hungary
Bildquellen sofern nicht anders deklariert: Unternehmen, Quelle oder Autor/-in des Artikels
Entdecke CME Artikel





Keine Kommentare.