In der Oberkieferfront kommt es nach Zahnverlust zu resorptiven Prozessen, die erhebliche Gewebedefizite hinterlassen können [1]. In den vergangenen Jahren wurden daher verschiedene Konzepte wie Guided Bone Regeneration (GBR), Guided Tissue Regeneration (GTR) oder Kombinationen aus beiden Verfahren zum Volumenerhalt nach Zahnentfernung vorgeschlagen [2]. Diese werden überlicherweise in Kombination mit einer implantologischen Versorgung angewendet [3].
Im Zusammenhang mit einer Sofortimplantation und Sofortversorgung scheinen sich Bindegewebstransplantate sowohl im Hinblick auf das Weichgewebsvolumen als auch zur Vermeidung von Rezessionen positiv auszuwirken [3]. Verfahren zur Augmentation von Weichgewebe werden dabei gleichzeitig mit und/oder nach dem Einsetzen von Implantaten durchgeführt [4], um neben den funktionellen und biologischen Vorteilen auch die ästhetischen Ergebnisse der Implantattherapie zu verbessern [5].
Für die Durchführung von Verfahren zur Weichgewebsaugmentation ist der Kliniker mit verschiedenen Zeitpunkten (vor, in Verbindung mit oder nach der Implantatinsertion und nach dem Einsetzen der endgültigen Versorgung) konfrontiert, wobei durch diese sowohl die klinischen, radiologischen als auch ästhetischen Parameter verbessert werden können [5,6]. Ob die Verfahren zur Augmentation von Weichgewebe vorteilhafter sind als die Regeneration von Hartgewebe, oder ob sie sich zusätzlich positiv auf die kurz- und langfristigen Ergebnisse der Implantattherapie auswirken, ist bislang jedoch noch nicht bekannt [5].
Fallbeispiel
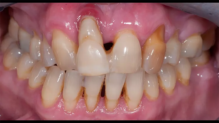
Eine damals 52 Jahre alte Patientin wurde mit einem unter prothetischen und ästhetischen Gesichtspunkten insuffizient versorgten Gebiss vorstellig (Abb. 1). Die Patientin litt insbesondere unter den ästhetischen Einschränkungen, bedingt durch den elongierten Zahn 11 sowie die unterschiedlichen Farbverläufe in der Oberkieferfront (Abb. 2). Bei der klinischen Inspektion fielen neben dem bereits nicht mehr im Knochen verankerten Zahn 11, der sich lediglich durch eine ädhäsive Befestigung an den Nachbarzähnen noch in situ befand, insbesondere weitere Rezessionen und Keildefekte an den Oberkieferzähnen auf.
Schuh/Hanisch
Schuh/Hanisch
Nach Initialtherapie, parodontologischer Therapie und Putzinstruktionen erfolgte die Planung eines neuen, ästhetisch orientierten Zahnersatzes in der Oberkieferfront. Dabei sollten die Zähne 13 bis 23 mit Kronen und Veneers versorgt, der Zahn 11 durch ein Brückenglied mit Pontic ersetzt und das bestehende erhebliche Volumendefizit durch mindestens 2 Weichgewebsaugmentationen ergänzt werden.
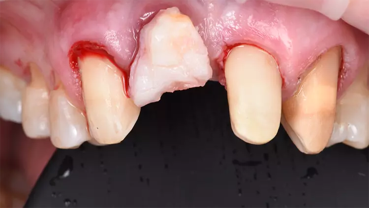
In einem 1. Eingriff erfolgte die Präparation der Nachbarzähne, die Extraktion des Zahnes 11 sowie die Entnahme des Tubertransplantates zur Verdickung des Weichgewebes, um das Volumendefizit in regio 11 zu verbessern (Abb. 3). Hierfür wurde zunächst ein Tunnel zur Aufnahme eines Tubertransplantates (Abb. 4 und 5) präpariert, dann das Tubertransplantat in den Tunnel eingebracht und mit Mikronähten (Prolene 6-0) fixiert (Abb. 6).
Schuh/Hanisch
Schuh/Hanisch
Schuh/Hanisch
Schuh/Hanisch
Es folgte die provisorische Versorgung der präpartierten Pfeiler sowie eine ponticartige Gestaltung des Brückengliedes 11. Nach einer Einheilzeit von 3 Monaten zeigte sich eine deutliche Volumenzunahme in regio 11 (Abb. 7). Um das Volumendefizit weiter zu verbessern, wurde nun ein autologes Bindegewebstransplantat vom Gaumen entnommen (Abb. 8) und in der präparierten Tasche mit Nähten (Prolene 6-0) fixiert (Abb. 9).
Schuh/Hanisch
Schuh/Hanisch
Schuh/Hanisch
Schuh/Hanisch
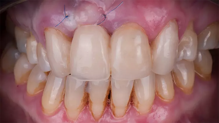
Anschließend wurde eine provisorische Versorgung für 3 Monate eingegliedert. Abbildung 10 zeigt die klinische Situation zum Zeitpunkt der Nahtentfernung nach 10 Tagen. Die finale Restauration wurde schließlich mit der Teflon-Tape-Technique [7] eingesetzt (Abb. 11 und 12).
Schuh/Hanisch
Schuh/Hanisch
Die Teflon-Tape-Technique ist dabei als Ergänzung zum Goldstandard Kofferdam für den adhäsiv arbeitenden Zahnarzt gedacht. Primär eignet sich die Technik besonders für die adhäsive Befestigung von Restaurationen mit sehr dünnen Rändern.
Schuh/Hanisch
Schuh/Hanisch
Schuh/Hanisch
Fazit
Der hier präsentierte Fall zeigt die Möglichkeiten einer ästhetisch ansprechenden Rehabilitation einer Einzelzahnlücke in der Oberkieferfront mit vorausgegangenem Volumendefizit. Durch die Behandlung, die für die Patientin insgesamt mit nur geringen Morbiditäten verbunden war, konnte die Lücke mit einem pontic-artigen Brückenglied und einer Weichgewebsaugmentation versorgt werden. Volumen- und Weichgewebsverlauf zeigten sich abschließend stabil und ästhetisch ansprechend.
Näheres zu den Autoren des Fachbeitrages: PD Dr. Marcel Hanisch, Paul L. SchuhBildquellen sofern nicht anders deklariert: Unternehmen, Quelle oder Autor/-in des Artikels
Entdecke CME Artikel






Keine Kommentare.