|
Getting your Trinity Audio player ready...
|
Veneers gelten als das ästhetische Aushängeschild vieler Zahnarztpraxen. Gerade deswegen will man bei der Materialauswahl des indirekten Werkstückes in puncto Ästhetik keine Kompromisse eingehen und setzt auf die seit Jahrzehnten hervorragenden bewährten Glaskeramiken. Die Literatur hierzu ist mannigfaltig: Sie dokumentiert über Jahrzehnte in Form von Studien und Fallberichten das langzeitstabile und ästhetische Potenzial glasbasierter Veneers [2,3,4,9,13,14,17,19,20,21,28,31,41,45].
In gar nicht so seltenen Fällen wünscht man sich jedoch parallel zum ästhetischen und volladhäsiven Befestigungspotenzial ein gewisses Mehr an Stabilität: Dies kommt am ehesten bei Sekundärrestaurationen zum Tragen, bei denen – aus manchmal nicht erklärlichen Gründen – eine glasbasierte Keramik oder ein Kompositaufbau versagte. Generell darf man aber ein Restaurationsversagen nicht immer sofort auf den verwendeten Werkstoff zurückführen: In der Regel ist es nicht das Material, sondern der komplexe adhäsive Befestigungsmechanismus, der die Ursache für Retentionsverlust oder eine kohäsive Materialfraktur darstellt. Mindestens genauso häufig liegt die Ursache in nicht beachteten Parafunktionen und Interferenzen bei der Laterotrusion und der Protrusion. Inzisale Frühkontakte können hier durchaus zu zervikalen Materialfrakturen führen.
Hier kommt dann die nochmals stabilere Zirkonoxid-Variante ins Spiel: Sie verzeiht zwar genauso wenig wie alle glasbasierten Systeme Fehler im adhäsiven Befestigungsprozedere, zeigt aber aufgrund ihrer höheren Eigenfestigkeit mehr Resilienz gegenüber inzisalen und palatinalen Belastungsszenarien, die ansonsten gerne mal zu kohäsiven Materialfrakturen führen können. In der aktuellen S3-Leitlinie zu vollkeramischen Kronen und Brücken findet man aufgrund fehlender klinischer Daten noch keine Aussagen zu monolithischen Restaurationen aus 4Y- und 5-TZP-Zirkonoxid-Keramiken, dennoch zeigen Fallberichte durchaus das Potenzial in der monolithischen ästhetischen Einzelzahnversorgung – auch in Form von Veneers [15,16]. Die Werkstoffgruppe der Zirkonoxide hat sich in den letzten Jahren stetig von reinen Kronen- und Brückengerüstmaterialien zu hochwertigen und hochästhetischen Monomaterialen entwickelt [32,40,42,43,50].
Damit hat sich dieser Restaurationswerkstoff auch für minimalinvasivere, volladhäsive Restaurationen wie Teilkronen und Veneers in Position gebracht. Dass eine „veneeräquivalente“ Präparationsform in der Lage ist, auch bei Zirkonoxid einen dauerhaften adhäsiven Verbund zwischen Zahnhartsubstanz und einem Zirkonoxid-Werkstück zu etablieren, zeigen die zahlreichen Publikationen zum erfolgreichen Einsatz von Zirkonoxid-basierten adhäsiven einflügeligen Adhäsivbrücken: Diese werden durchaus in der S3-Leitlinie entsprechend gewürdigt [10,11,18,25,26,27,33,34,48]. Entgegen der landläufigen Meinung vieler Zahntechniker/-innen lässt sich Zirkonoxid doch hervorragend verkleben. Die Literatur kann dies eindeutig belegen [1,8,44,47]. Aus diesem Grunde spricht wissenschaftlich nichts dagegen, das adhäsive Befestigungspotenzial von Zirkonoxid an der Rückseite eines Zahnes bei der Befestigung einer einflügeligen Klebebrücke auf dessen Labialfläche bei der adhäsiven Befestigung eines Veneers zu transferieren. Dies wird in den beiden nachfolgenden Fallberichten beschrieben.
Fallbeispiele
Fall 1: Neuversorgung direkter Kompositverblendungen an den Zähnen 12 und 23
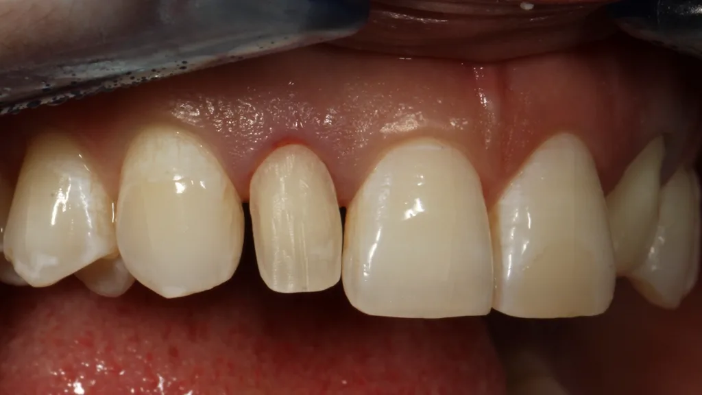
Die 35-jährige Patientin störte sich an den sich ständig verfärbenden, direkten Komposit-Veneers an ihren Zähnen 12 und 23 (Abb. 1), die sie in ihrem Heimatland Brasilien hat erstellen und bereits mehrfach korrigieren und polieren lassen. Sie wünschte explizit eine Neuversorgung mit Keramik. Bei ihr fehlte der Zahn 22; der Eckzahn 23 wurde mesialisiert und mit dem Kompositaufbau zu einem seitlichen Schneidezahn umgebaut. Der Zahn 12 schien ein Zapfenzahn gewesen zu sein. Vom klinischen Befund her war es schwer zu erkennen, ob die Kompositversorgung direkt oder indirekt erfolgt war. Für die Behandlungsplanung war dies aber schlussendlich unerheblich.
C-P ErnstZunächst erfolgte eine eingehende Aufklärung zur Differenzierung der Materialklassen Komposit und Keramik. Die Patientin wurde darüber informiert, dass auch Komposite langzeitfarbstabil sein können. Sie blieb aber bei ihrem Wunsch nach einer vollkeramischen Versorgung. Als Zielfarbe wurde auch bei dem Zahn 23 der Zahn 21 gesetzt: Obwohl die Eckzähne naturgemäß etwas dunkler als die Schneidezähne sind, sollte der Eckzahn konkret zu einem seitlichen Schneidezahn umgearbeitet werden und dementsprechend die Zielfarbe der mittleren Schneidezähne erhalten. Als Zielfarbe wurde die 01 110 des Chromascop-Farbschlüssels definiert (Abb. 2). Nach vorsichtigem Abschleifen der Kompositrestaurationen an den Zähnen 12 und 23 zeigte sich der Zahn 12 regulär geformt – mit lediglich einer Lücke zu dem Zahn 13 (Abb. 3). An beiden Zähnen erfolgte eine diskrete Nachpräparation zur Aufnahme eines Veneers – bei Zahn 23 unter Einfassung der Inzisalkante (Abb. 4).
Auch hier wurde im Hinblick auf das zu verwendende indirekte Restaurationsmaterial sorgfältig differenziert: Grundsätzlich wäre e.max für diese Behandlungsindikation sehr gut geeignet. Aufgrund der fehlenden Eckzahnführung und vorliegender Parafunktionen (Knirschen) fiel die Entscheidung zusammen mit dem Zahntechnikermeister aufgrund der höheren Stabilität zugunsten eines Zirkonoxid-Materials – in diesem Fall Katana STML. Die Abformung erfolgte konventionell mit einem reißfesten Silikonmaterial (Aquasil Ultra+, Dentsply Sirona).
Die erstellten Modelle wurden anschließend gescannt (ceramill map 600, Amann Girrbach), die konstruierten Veneers anschließend aus einer STML-Ronde (NW A0,5) in der Ceramil Matic gefräst, gesintert und diskret mit der Noritake CZR-Verblendkeramik verblendet. Nach der Einprobe der fertig gestellten Arbeit (unter Zuhilfenahme einer Try-In-Paste) und der ästhetischen Akzeptanz der Restauration durch die Patientin erfolgte zunächst die Vorbehandlung der Veneers [12]: Dieses wurde labial mit einem lichthärtenden, gummielastischen Provisoriummaterial (Clip, VOCO), das in einem Pinselhalter eingebracht wurde, fixiert. Dies erlaubt eine optimale Vorbehandlung, ohne die Krone in der Hand halten zu müssen.
Ab jetzt muss anders vorgegangen werden als bei der Befestigung glasbasierter Keramik-Veneers: Die Veneers wurden im hauseigenen Meisterlabor bereits mit 50 µm Aluminiumoxid abgestrahlt. Da es bei der Einprobe (gerade mit einer Try-In-Paste) immer zu einer gewissen Kontamination der Klebefläche kommt, muss die Zirkonoxid-Klebefläche gereinigt (z.B. Ivoclean, Ivoclar [36] bzw. Katana Cleaner, Kuraray Noritake Dental) oder nachgestrahlt [12,22,23,35] werden.
Das Nachstrahlen ist gemäß der o.a. Literatur das effizientes Reinigungs- und Vorbehandlungsprozedere. Aus diesem Grunde wurde es auch im vorliegenden Fall dementsprechend angewendet. Beim Abstrahlen muss sorgfältig darauf geachtet werden, die gesamte Klebefläche zu erreichen. Im Gegensatz zur Ätzung mit der roten (oder gelben) Flusssäure bei Glaskeramiken, hat man beim Abstrahlen keine so gute visuelle Kontrolle über die punktgenaue Vorbehandlung. Zur besseren Visualisierung der abzustrahlenden Klebefläche und zur Kontrolle, ob alle Klebeflächen erreicht worden sind, erfolgte deswegen die farbliche Markierung der abzustrahlenden Fläche mit einem Permanentmarker (Abb. 5).
Das Abstrahlen mit Al2O3 oder die tribochemische Silikatisierung (SilJet, Zest Dental Solutions, CA, USA) sind essenziell, um einen suffizienten Haftverbund zu Zirkonoxid-Keramik zu etablieren [12,23]. Eine tribochemische Silikatisierung über ein Abstrahlen mit Silizium-beschichteten Al2O3-Strahlgut in einer Korngröße von 30 bis 50 µm mit einem Druck von 1 bis 2 bar (SilJet) ergibt hingegen nochmals bessere Haftwerte an Zirkonoxid als ein alleiniges Abstrahlen mit unbeschichtetem Al2O3. [5,6] Demzufolge empfehlen Inokoshi und van Meerbeek [22] dies auch als das optimale Vorgehen, wenn maximale Adhäsionskraft zu Zirkonoxid gefordert ist.
Bisher galt in Europa CoJet als das tribochemische Silikatisierungsmaterial der Wahl. Leider nahm die 3M das Produkt vom Markt; es ist auch jetzt bei Solventum nicht mehr erhältlich. Mit SilJet steht seit Jahren ein 1:1-Äquivalent zu Verfügung, das in der Literatur immer ähnlich performte. Es ist in Deutschland inzwischen über American Dental Solutions (ADS) erhältlich. Um alle verbliebenen Al2O3-Partikel zu entfernen, wird generell eine Reinigung im Ultraschallbad für 10 Min. empfohlen [35]. Dies wurde im vorliegenden Fall nicht gemacht: Die Zirkonoxid-Schalen wurden unter visueller Kontrolle lediglich sorgfältig mit Wasser abgespült (Abb. 6).
Als nächster Schritt erfolgte die Applikation eines MDP/Silanhaltigen Universalprimers [22]. Die Literatur belegt, dass die Verwendung eines MDP-haltigen Primers die Schlüsselstelle zum langlebigen adhäsiven Verbund zu Zirkonoxid darstellt [1,8,24,29,44,46,47,49]. Der hier verwendete MDP/Silan-haltige Clearfil Ceramic Primer Plus (Kuraray Noritake Dental) wirkte im Anschluss 60 s auf der Klebefläche ein (Abb. 7). Der verbliebene Überschuss und das Lösungsmittel wurden mit dem Luftbläser sorgfältig verblasen. Mit diesem Schritt war die Vorbehandlung des Veneers abgeschlossen. Alle beschriebenen Vorbehandlungsmaßnahmen erfolgten chairside.
Der nächste wichtige Schritt im adhäsiven Befestigungsprotokoll ist die suffiziente Kontaminationskontrolle [38]. Die Kofferdamisolierung stellt hier das einfachste, praktikabelste und unkomplizierteste Hilfsmittel dar und wurde demzufolge auch hier angewendet (Abb. 8): Der jeweils zu versorgende Zahn wurde im Gruppenkofferdam-Verbund von Zahn 15-25 mit einer flügellosen Zahnhalsklammer (Ivory 212) separat isoliert und damit zervikal optimal dargestellt.
Die Reinigung der Zahnoberfläche erfolgte ebenfalls über ein Abstrahlen – allerdings mit 50 µm Al2O3 (Rondoflex KaVo). Approximal sind zwei getrennte, unter den Klammerflügeln durchgeschlaufte Frasaco-Streifen eingebracht. Diese verhindern ein ungewolltes Anstrahlen der Nachbarzähne. Die Abbildung 8 zeigt die klinische Situation bereits nach dem Abstrahlen, die Abbildung 9 nach der Phosphorsäureätzung der gesamten Klebefläche für 30 s Nach gründlichem Abspülen mit Waser erfolgte die Applikation des Panavia Tooth Primers (Kuraray Noritake Dental) (Abb. 10).
Bei Veneers sowie Teilkronen im Frontzahnbereich bietet sich bei Materialstärken bis zu 2 mm eine rein lichthärtende Befestigung an [https://www.kuraraynoritake.eu/de/panavia-veneer]. Die rein lichthärtende Befestigung von dünnen vollkeramischen Restaurationen ist eine sehr gut handhabbare Option und wird dementsprechend empfohlen [37]. Voraussetzung ist selbstredend eine suffiziente Lichtpolymerisation.
Bei den erforderlichen, langen Polymerisationszeiten mit Hochleistungslichtgeräten hat sich eine zeitgleiche Kühlung (am besten mit dem Luftpüster) aus der dem Lichtaustrittsfenster gegenüberliegenden Richtung oder auch parallel zum Lichtleiter bewähret, um eine Überhitzung des Zahnes inklusive der vitalen Pulpa zu vermeiden.
Wie stark eine Keramik die Lichttransmission durch ein Keramikwerkstück reduziert, zeigt sehr anschaulich die Veröffentlichung von Castellanos et al. über einen Radiometer-Versuchsaufbau [7]: Die Lichtleistung reduzierte sich von 1.065 mW/cm2 bei einer zwischen Lichtaustrittsfenster und Radiometer-Sensor platzierten 0,4 mm dünnen e.max LT A2-Keramikscheibe bereits um 30% auf 778 mW/cm2. Bei 0,7 mm Schichtstärke ergab sich eine Reduktion um 45% auf 616 mW/cm2 und bei 1,5 mm dicken e.max LT-Scheiben der hellen Farbe A2 sogar eine Reduktion um 67% auf 388 mW/cm2. Werden nun Zirkonoxid-Keramiken eingesetzt, hängt es sehr stark davon ab, wie transluzent das verwendete Monoblockmaterial (z.B. Katana UTML und STML) ist. Bei dem hier verwendeten Katana STML hat man aber eine recht gute Grundvoraussetzung für eine suffiziente Lichtpolymerisation durch das Veneer hindurch.
Im vorliegenden Fall kam Panavia Veneer LC (Kuraray Noritake Dental) in der Farbe A2 (Universal) zur Anwendung. Im Gegensatz zu Panavia V5 ist Panavia Veneer LC rein lichthärtend. Die Farben (und die korrespondierenden Try-In-Pasten) entsprechen (mit Ausnahme der rein selbsthärtenden Farbe „Opaque“) der bekannten Farbauswahl von Panavia V5. Somit ähnelt Panavia Veneer LC vom Anwendungskomfort den bekannten ästhetischen lichthärtenden Befestigungsmaterialien wie Variolink Esthetic LC, RelyX Veneer oder Calibra Veneer – mit zwei kleinen Ausnahmen: Panavia Veneer LC ist etwas standfester und erleichtert somit die Überstandsentfernung.
Die aus dem Panavia V5-System bekannte „Touch-Cure-Technologie“ des Tooth Primers ist gemäß Herstellerangaben auch hier aktiv und in der Lage, die Polymerisation des lichthärtenden Panavia Veneer LC an der Grenzfläche zu initiieren. Somit ist doch eine gewisse, minimale „Dualhärtung“ in dem Produkt integriert. Dennoch bleiben (laut Herstellerangaben) bei 8.000 Lux Umgebungslichtstärke entspannte 200 s zur Positionierung und Überstandsentfernung. Eine Tack-Cure-Option mit 1 s Belichtungszeit ist zwar vorgesehen; im vorliegenden Fall erfolgte die Überstandsentfernung aber klassisch mithilfe eines Modellierspates und eines Bonding-Pinsels.
Nach der Platzierung des Veneers ließ sich der Applikator durch ein leichtes Drehen gut entfernen. Idealerweise verbleibt das Clip in dem Pinselhalter. Das Optrasculpt-Modellierinstrument (Ivoclar) mit dem großen Schaumstoff-Einsatz übernimmt danach die Positionierung und Fixierung. Durch die immer noch approximal fixierten Frasaco-Streifen wird eine Kontamination der benachbarten Klebeflächen jeweils vermieden. Die Überstandsentfernung des Panavia Veneer LC erfolgte entspannt mithilfe eines Modellierspates, Schaumstoffpads und eines Bonding-Pinsels.
Ist der herausquellende Überstand entfernt, bleibt die korrekt in Position sitzende Schale mit dem Optrasculpt-Instrument fixiert, während die andere freie Hand beide Frasaco-Streifen einzeln nach labial herauszieht. Dies versäubert hervorragend approximal. Aufgrund der Stärke des nun fehlenden Frasaco-Streifens kann sich die Schale noch einmal etwas weiter in ihre eigentliche, finale Position nachsetzen. In der Regel quillt dann nochmals ein wenig Befestigungskomposit aus dem Fügespaltbereich heraus. Dieser wird erneut mit einem Bondingpinsel aufgenommen und die Situation durch sofortige Lichthärtung fixiert.
Dann kann das Optrascult-Fixierinstrument entfernt, Glyceringel auf den Fügespalt aufgebracht werden und die endgültige Lichthärtung starten: Die Polymerisation erfolgte für 60 s aus labialer und nochmals für 60 s aus palatinaler Richtung mit einem Hochleistungs-LED-Polymerisationgerät (1.500 mW/cm2, Elipar Deep Cure, 3M, Abb. 11) unter der erwähnten zeitgleichen Kühlung mit dem Luftpüster. Die adhäsive Befestigung des Veneers am Zahn 23 erfolgte äquivalent zu dem auf Zahn 12: Nach Markieren der abzustrahlenden Klebefläche (Abb. 12) erfolgten das Chairside-Nachstrahlen mit SilJet (Abb. 13) sowie die Applikation des Clearfil Ceramic Primer Plus (Abb. 14).
Die Klebefläche am Zahn wurde entsprechend dem Prozedere an Zahn 12 abgestrahlt (Abb. 15); nach Phosphorsäureätzung erfolgte ebenfalls die Applikation des Tooth Primers (Abb. 16 und 17).
Die Lichthärtung aus palatinaler und labialer Richtung (Abb. 18) erfolgte identisch mit jeweils 60 s unter kontinuierlicher Kühlung mit dem Luftpüster.
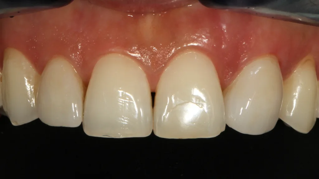
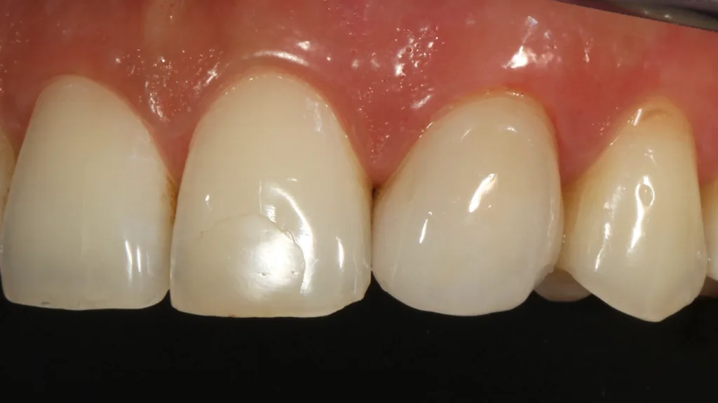
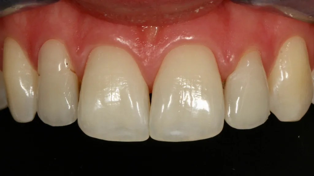
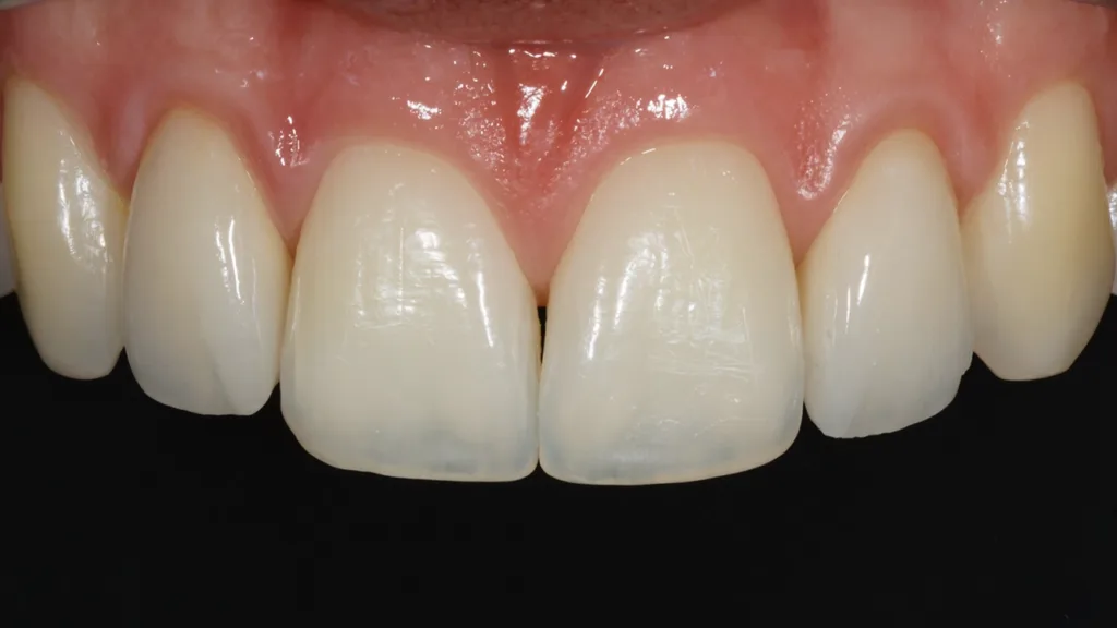
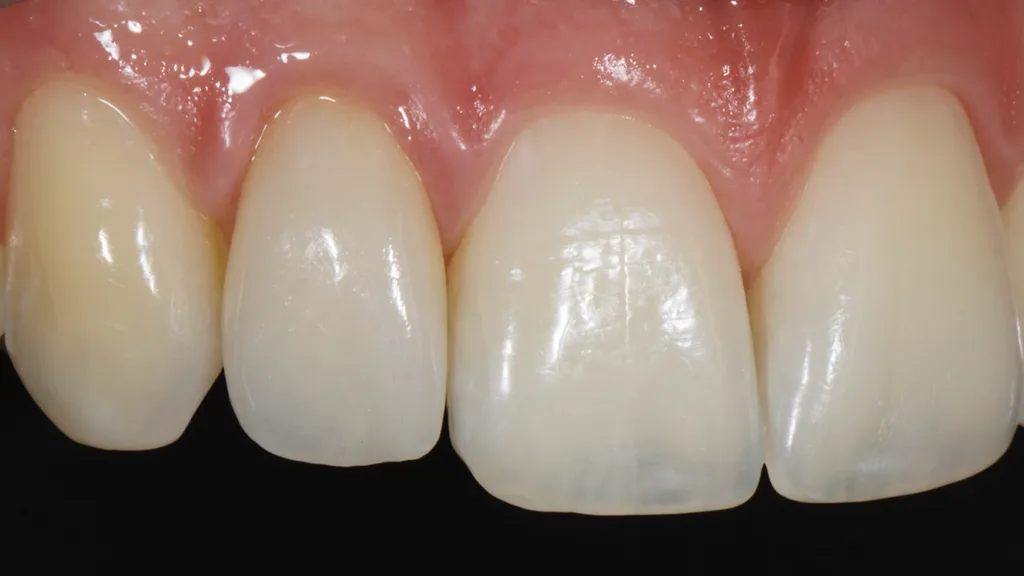
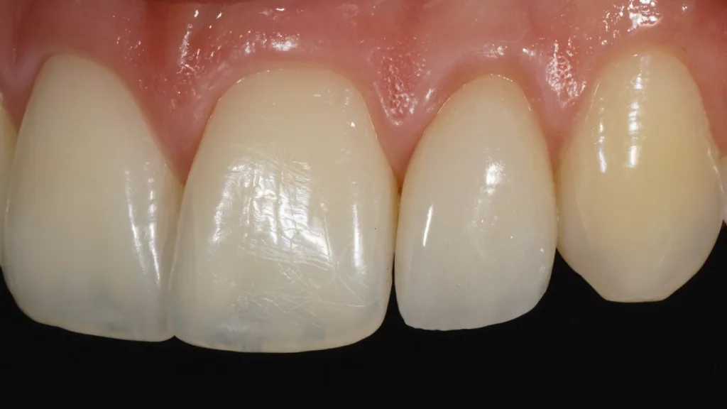
C-P ErnstDie Abbildungen 19 bis 22 zeigen die suffizient verklebten Zirkonoxid-Veneers. Die Patientin war mit dem ästhetischen Behandlungsergebnis sehr zufrieden; die Stabilität des gewählten Zirkonoxid-Materials dürfte gerade den Zahn 23 langfristig gut schützen und selbst frakturstabil bleiben.
Fall 2: Sekundärversorgung initial mit glaskeramischen Veneers versorgten seitlichen Schneidezähnen
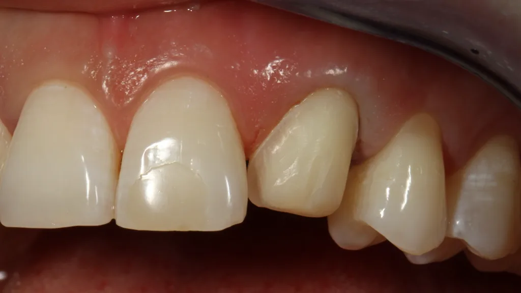
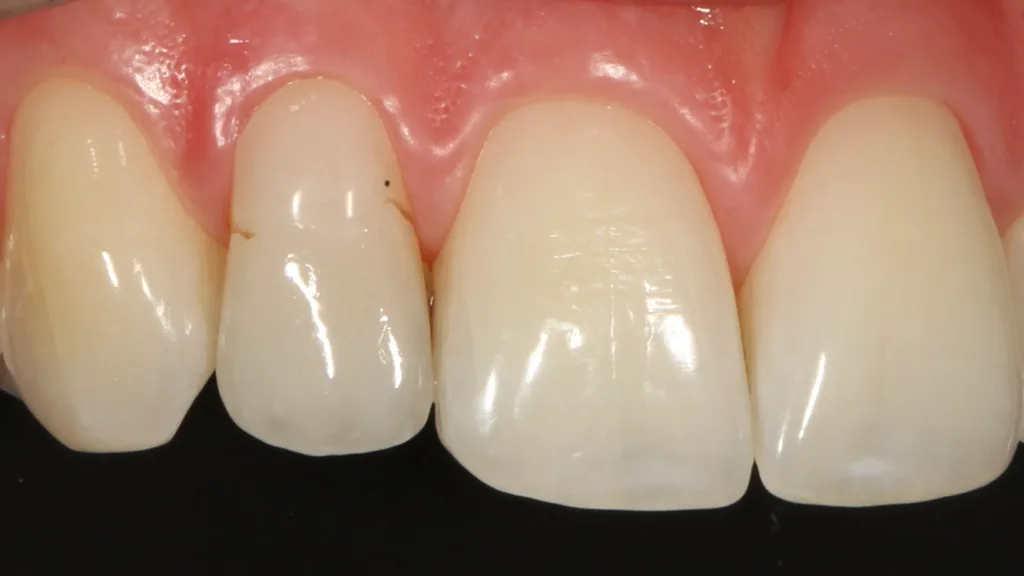
Die 31-jährige Patientin wurde alio loco mit Lithiumdisilikat-Veneers versorgt (Abb. 23). Zunächst störte sie die schlechte Reinigung der approximal-palatinalen Übergänge, an denen eine negative Stufe festzustellen war. Die Vorbehandlerin verweigerte (ihrer Aussage nach) eine Korrektur oder Neuanfertigung der Versorgung. Nachdem zwei Jahre nach der Eingliederung der zervikale Anteil des Veneers an Zahn 12 frakturierte, wünschte sie eine Neuversorgung, obwohl der Frakturdefekt am Zahn 12 suffizient mit Komposit repariert worden war (Abb. 24 und 25). Derartige Reparaturen sollten grundsätzlich vor einer kompletten Neuanfertigung im Vordergrund stehen [30,39]. Auch die mesiale Kurvatur des Zahnes 22 war aufgrund der dort vorhandenen Konkavität (Abb. 26) und der damit verbundenen erschwerten Reinigungsfähigkeit erschwert.
Die Neuversorgung erfolgte in identischer Weise zu Fall 1: Es kam ebenso das Katana STML als Veneermaterial zum Einsatz; die farbliche Charakterisierung erfolgte erneut mit einer diskreten Verblendung (Noritake CZR). Das adhäsive Befestigungsprotokoll unter Kofferdam folgte mit tribochemischer Silikatisierung unter Anwendung des Clearfil Ceramic Primers und der Befestigung mit Panavia Veneer LC in der Farbe A2 nach Abstrahlen, Schmelzätzung und Anwendung des Panavia Tooth Primers exakt dem im vorangegangenen Fall beschriebenen Prozedere.
Es hat sich bewährt, gerade bei sehr komplexen Behandlungsabfolgen exakt einem festen Ablaufplan zu folgen: So kann sichergestellt werden, dass nie ein Schritt „vergessen“ wird und das adhäsive Befestigungsprotokoll gemäß den zu befolgenden Gebrauchsanleitungen konsequent eingehalten wird: Nach Lokalanästhesie werden die Provisorien und eventuelle Materialreste auf der Klebefläche sorgfältig entfernt.
Als Erstes erfolgt die Funktionseinprobe auf Passung. Anschließend erfolgt die ästhetische Einprobe unter Zuhilfenahme einer Try-In-Paste (hier Panavia A2 Try-In). Erst jetzt wird der Patientin das Ergebnis gezeigt. Bei der Einprobe werden die Lippen über einen Foto-Abhalter (Hager&Werken) oder ein Optragate (Ivoclar) so weit abgehalten, dass sie keinen Kontakt zu den aufliegenden Veneers haben und sie diese somit nicht aus der Position bringen können.
Mit dem Abhalter ist zwar eine Kommunikation mit der Patientin nicht so einfach möglich – man kann hier aber vorab ein paar Handzeichen ausmachen. Nach Einverständnis der Patientin werden die Schalen wie beschrieben vorbehandelt: Befestigung an einem Pinselhalter als „Haltegriff“, Desinfektion mit Ethanol, Markierung der abzustrahlenden Fläche mit einem Permanent-Marker, Chairside-Abstrahlen mit SilJet (Microetcher CD, Zest), Abspülen des verbliebenen Strahlgutes, Trocknung, Applikation des Clearfil Ceramic Primers.
Erst danach wird der Kofferdam (immer Gruppenkofferdam) gelegt. Die Isolierung der zu versorgenden Zähne erfolgt sekundär nochmals mit einer Spezial-Klamer: Ivory 212 oder Hygenic Brinker B4. Dann Isolierung der Nachbarzähne über einen Frasaco-Streifen, Abstrahlen der Klebefläche am Zahn mit 50 µm Al2O3, gründliches Abspülen, Phosphorsäureätzung (30 s), erneutes gründliches Abspülen und Applikation des Panavia Tooth Primers. Die Polymerisation des Befestigungskomposits Panavia Veneer LC erfolgt immer alternierend für jeweils 60 s aus labialer und palatinaler Richtung unter Kühlung mit dem Luftpüster.
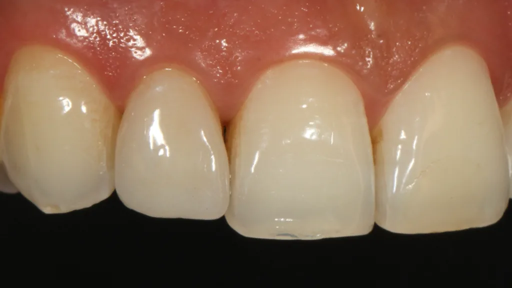
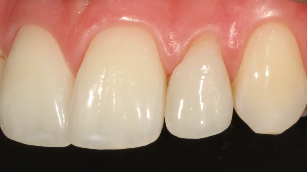
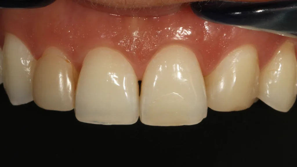
Nach dem ersten Polymerisationszyklus (20 s labial + 20 s palatinal) erfolgt die weitere Polymerisation unter Glyceringel-Schutz der Klebefugen. Das konsequente Befolgen des vorgegebenen adhäsiven Befestigungsprotokolls garantiert eine erfolgreiche adhäsive Befestigung, ein schönes Behandlungsergebnis (Abb. 27 bis 30) und eine zufriedene Patientin.
Fazit
Werden die essenziellen Voraussetzungen zur Verklebung von Zirkonoxid (Abstrahlen + MDP-haltiger Primer) gewährleistet, kann Zirkonoxid genauso gut verklebt werden wie Glaskeramik. Da die modernen, ästhetischen transluzenten Zirkonoxid-Materialien optisch kaum von einem glasbasierten Veneer zu unterscheiden sind, wenn sie vom Labor angeliefert werden, ist eine sehr gute Kommunikation bzw. Dokumentation wichtig, da bei einer Verwechslung der Materialkategorien eine falsche Vorbehandlung des Werkstückes schnell zu einem klinischen Misserfolg führen kann. Es empfiehlt sich daher, im Labor anzurufen und nachzufragen, ob wirklich ein Zirkonoxid-Veneer hergestellt wurde, auch wenn es auf dem Auftragszettel so vermerkt worden war. Wird all das befolgt, kann das adhäsive Befestigungsprozedere von Zirkonoxid auch bei Veneers als eine für den klinischen Alltag sichere Behandlungsoption implementiert werden.
Entdecke CME Artikel


































Keine Kommentare.