|
Getting your Trinity Audio player ready...
|
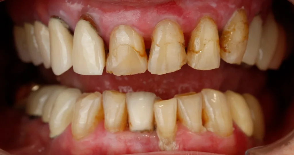
Die Patientin stellte sich mit dem Wunsch nach einer ästhetischen und funktionell sicheren Neuversorgung des Oberkiefers vor. Die Ausgangssituation war geprägt von verfärbten und abradierten Zähnen, alten Zirkonkronen und -brücken, einer unregelmäßigen Zahnform, einer leichten Diskrepanz in der Zahnstellung sowie einer eingeschränkten Lichtdynamik der bestehenden Zähne. Sie wünschte sich ein „frisches, aber natürliches“ Ergebnis, das weder künstlich noch überkorrigiert wirkt (Abb. 1 und 2).
Planung mit Digital Smile Design (DSD)
Als Planungstool wurde das DSD-Konzept von der Zahnarztpraxis eingesetzt. Auf Basis intraoraler und extraoraler Fotos sowie digitaler Scans wurde eine harmonische Zahnform und -stellung am Bildschirm simuliert.
Vorteile dieses Schrittes:
- Visualisierung für die Patientin zur Entscheidungsfindung,
- Festlegung von Achsen, Proportionen und Symmetrien,
- exakte Kommunikation zwischen Zahnarzt und Zahntechniker
Auf Grundlage der DSD-Planung erfolgte ein Mock-up, das direkt im Mund der Patientin getestet wurde. Es wurde sowohl für den funktionellen Check (Phonetik, Okklusion, Habits) als auch als ästhetische Vorschau verwendet (Abb. 3 bis 5).
Provisorische Phase
Das Provisorium wurde auf Basis der DSD-Planung CAD-gestützt konstruiert und aus PMMA gefräst. Dadurch konnte die Patientin Form, Länge und Ästhetik im Alltag testen und sich daran gewöhnen. Anpassungen wurden digital dokumentiert und direkt in die finale Konstruktion übernommen. Auf diese kann der Behandler im System zugreifen und Änderungswünsche äußern sowie diese schlussendlich freigeben. Zunächst wurde ein Langzeitprovisorium umgesetzt. Das ermöglichte die Überprüfung der geplanten Ästhetik im Alltag, funktionelle Belastungstests sowie mögliche Anpassungen hinsichtlich Form und Länge. Durch die gute und detaillierte Rückmeldung der Patientin konnten finale Korrekturen vorgenommen werden, bevor die definitive Arbeit gefertigt wurde (Abb. 6).
Roman WolfDefinitive Versorgung
1. Digitale Konstruktion
Die Scandaten des bewährten Provisoriums wurden übernommen. Das definitive Gerüstdesign entstand mittels der Software exocad.
2. Zirkoniumdioxid-Gerüst
Gefräst wurde aus hochtransluzentem Zirkoniumdioxid. Das Material wurde gewählt, weil es eine hohe Festigkeit für eine Langzeitstabilität aufweist, optimale Transluzenz im Frontzahnbereich bietet und eine exakte Passung durch CAM-Fertigung ermöglicht.
3. Individualisierung mit Glaskeramik
Das Zirkongerüst fungiert hierbei als stabiler Dentinkern. Durch eine Reduktion des Provisoriums um ca. 0,7 mm wurde Raum für eine minimalinvasive keramische Schichtung geschaffen – bestehend aus einer dünnen Dentinschicht und darüberliegenden Schneidekeramiken. Diese sogenannte „Minimal-Layering“-Technik kombiniert ästhetische Wirkung, wirtschaftliche Effizienz und strukturelle Stabilität. Die Höcker werden durch das Gerüst optimal unterstützt. Bereits im Washbrand wurde das Zirkongerüst individuell charakterisiert, um die Basisästhetik zu definieren. Im inzisalen Bereich kamen spezielle Schneidemassen und Effektmassen zum Einsatz, um Lichtdynamik und natürliche Tiefenwirkung zu erhöhen – ein klarer Vorteil gegenüber rein monolithischen Versorgungen. Vor dem abschließenden Glanzbrand erfolgte die feine Oberflächengestaltung, inklusive der perikymatischen Strukturen, um eine naturnahe Textur und Lichtreflexion zu erzielen (Abb. 7).
Roman Wolf4. Endbearbeitung
Oberflächenstrukturierung und Politur erfolgten analog – bewusst mit altersgerechter Morphologie, um eine authentische, natürliche Wirkung zu erzielen.
Ergebnis
Die definitive Arbeit wies eine exakte digitale Passung sowie eine ästhetisch harmonische Integration auf. Durch den rein digitalen Workflow war das Ergebnis jederzeit kontrollierbar und vorhersagbar. Die Patientin zeigte sich begeistert: Die Zähne wirkten vital, natürlich und gleichzeitig stabil (Abb. 8 bis 10).
Fazit
Dieser Fall zeigt, dass bei Patientinnen und Patienten mit hohen ästhetischen Ansprüchen ein Workflow möglich ist, der von der Planung bis zur Eingliederung vollständig digital läuft. Dank des digitalen Design-Prozesses konnte man die Visualisierung des machbaren Ergebnisses der Patientin präsentieren und so ihr Vertrauen gewinnen. Gleichzeitig stellte dies eine Kommunikationsgrundlage zur Umsetzung für das Labor dar. Digitale Tools vereinfachen bei richtiger Anwendung den Workflow und minimieren die Fehlerquellen auf dem Weg zur fertigen Restauration. Doch was wäre unser Handwerk ohne unsere analoge Erfahrung sowie unser Formen- und Farbgefühl? Im letzten Schritt konnte nochmals richtig gezeigt werden, was zahntechnisches analoges Wissen ausmacht. Zirkoniumdioxid kombiniert mit Feldspatkeramik verbindet Stabilität, Präzision und natürliche Ästhetik – digital geplant und präzise umgesetzt.
| Verwendete Materialien Intraoralscanner: iTero CAD-Software: Exocad, Exoplan Schichtkeramik: NovaCer, Novadent Kunststoff: DD Poly X ML, Dental Direkt Zirkoniumdioxid: Nacera Pearl, Dental Direkt Fräsmaschine: imes icore 250i 3D-Drucker: Elegoo Saturn 3 ultra 3D-Druckmaterial: Nyte 3D Model, NYTE3D |
Entdecke CME Artikel
















Keine Kommentare.