|
Getting your Trinity Audio player ready...
|
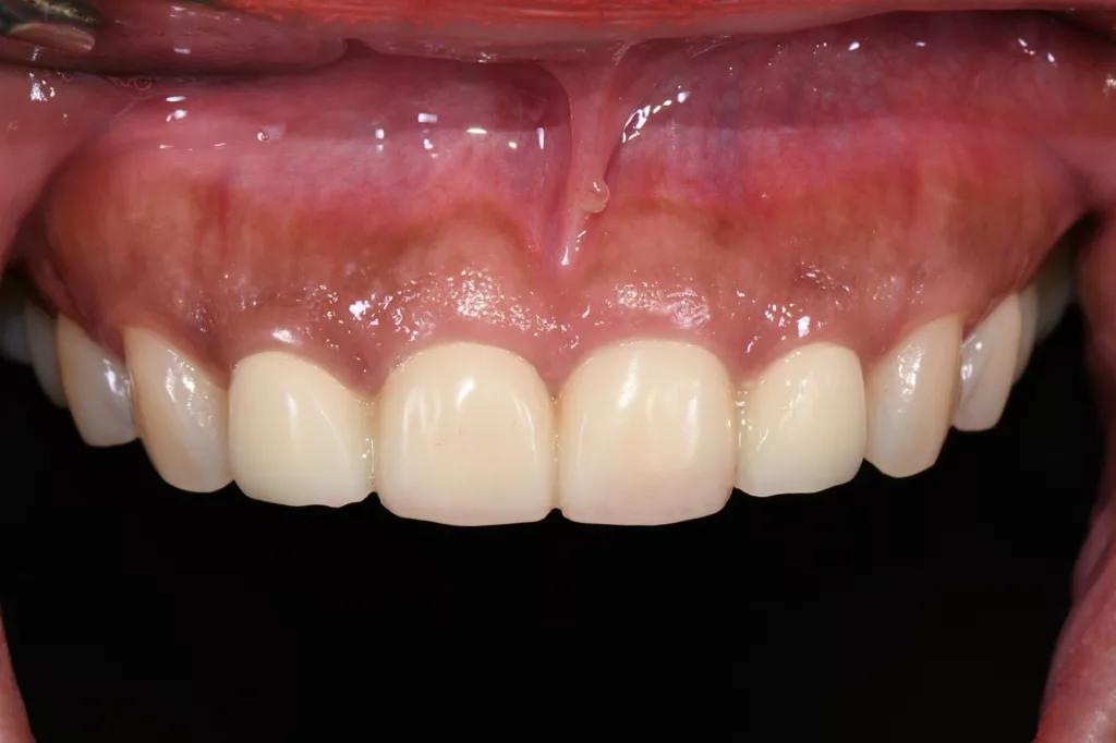
Darüber hinaus schimmerte die graue Farbe der Stifte durch den Kunststoff hindurch. Als Folge harmonierten die Inzisallinien der 4 Schneidezähne nicht mehr mit der unteren Lippenlinie. Vermutlich war eine unzureichende Frontzahnführung Ursache dafür, dass der Kunststoff wiederholt absplitterte und ein Inserieren von Stiften notwendig war, was damit ein dauerhaftes Problem darstellte. Die Patientin fühlte sich mit ihrem Lächeln sehr unwohl und suchte nach einer Behandlungsmöglichkeit, mit der ein ästhetisch ansprechenderes und natürlicheres Ergebnis erzielt werden konnte (Abb. 51 und 52).
Kim und Park
Kim und ParkPlanung
Die ursprüngliche Planung sah vor, den alten Kunststoff und den Metallstift im Schneidezahnbereich behutsam zu entfernen, ohne dabei die gesunden Zähne zu beeinträchtigen. Beim Entfernen ging jedoch vor allem an Zahn 12 und 11 unerwartet viel Zahnsubstanz verloren. Dementsprechend musste die Behandlungsmethode angepasst werden. Ein bestmögliches Ergebnis versprach nach einer Zahnaufhellung die Versorgung der oberen Schneidezähne mit 4 Zirkoniumdioxidkronen.
Klinische Behandlung
Um die Zähne 21 und 22 so vital wie möglich zu erhalten, wurden sie rundum lediglich um ca. 1,5 mm reduziert. Bei den Zähnen 11 und 12 war dies vor allem inzisal nicht möglich, da sie nach der Entfernung des Metallstiftes und des Kunststoffes stark reduziert waren, jedoch nicht so stark, dass eine Wurzelbehandlung notwendig gewesen wäre. Die Zähne wurden anschließend mit neuen Kunststoffaufbauten versorgt und für monolithische Zirkoniumdioxidkronen präpariert. Während der provisorischen Versorgung wurden die Zähne regelmäßig kontrolliert, um den Erfolg der Restauration und das Ausbleiben von Komplikationen sicherzustellen (Abb. 53 bis 56).
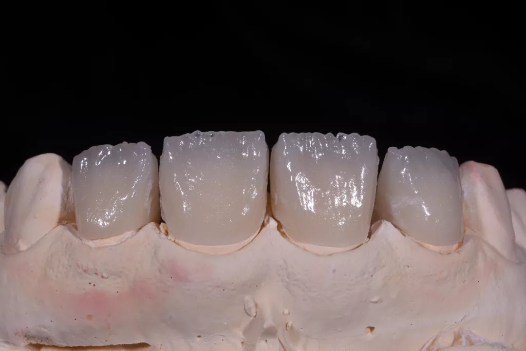
Die Kronen wurden in diesem Fall aus dem Material IPS e.max® ZirCAD Prime Esthetic von Ivoclar angefertigt. Die Transparenz des gewählten Zirkoniumdioxids ermöglichte die Fertigung dünner Kronen von 0,5 mm und gleichzeitig eine präzise Farbreproduktion ohne dicke Schichtung. Das Stumpfdesign wurde so gewählt, dass das Zirkoniumdioxid bis zur Inzisalkante reichte, um Schneidekantenfrakturen zu vermeiden. Die Schichtung erfolgte durch Auftragen von IPS e.max® Ceram Dentin-Pulver (OE1, OE2 und T1) auf das Grundgerüst (Abb. 57 bis 63).
Die fertigen Kronen nahmen die natürliche Zahnfarbe auf und überzeugten durch eine außergewöhnliche Transparenz. Obwohl die Präparationsrichtlinien für Frontzähne eine Kronendicke von 0,8 mm vorsehen, erfolgte aufgrund der Vitalität der Zähne eine möglichst geringe Präparation. Zwar erschienen die beiden mittleren Schneidezähne zunächst etwas kürzer, aber tatsächlich wurde die Länge der Kronen unter Berücksichtigung der aufgezeichneten Frontzahnführung der Patientin angemessen bestimmt. Durch diese Vorgehensweise lässt sich sicherstellen, dass die Kronen langlebig und geschützt sind (Abb. 64 bis 67).
Fazit
Die heutigen anspruchsvollen ästhetischen Zirkoniumdioxidmaterialien bieten Zahnärzten/-innen und Laboren eine Reihe von Möglichkeiten: So können sie mit Blick auf die Vollkontur gefräst werden und bieten eine zufriedenstellende Ästhetik sowie Transluzenz. Auch eignen sie sich besonders für klinische Situationen, die eine hohe mechanische Stabilität, dünne Restaurationswände und eine natürliche Ästhetik erfordern. Diese Materialien, die ästhetische Feinheiten mit der Festigkeit moderner Keramiken verbinden, sind für Zahnärzte und -ärztinnen von unschätzbarem Wert. Sie ebnen den Weg für noch anspruchsvollere, langlebigere und ästhetischere Restaurationslösungen.
Weiterführende Links
Die Einführung ästhetischer Zirkoniumdioxid-Produkte hat den Bereich der Frontzahnästhetik revolutioniert, in dem zuvor das Vollkeramikmaterial Lithiumdisilikat dominierte. Mehr dazu erfahren Sie im ersten Fallbeispiel dieser Artikelreihe. Bereits im ersten Teil dieser Beitragsreihe wurde ein komplexer Fall vorgestellt, bei dem mithilfe von Zirkoniumdioxid im ästhetischen Bereich ansprechende Ergebnisse erzielt wurden. Auch der zweite vorgestellte Fall einer jungen Frau stellte für die Behandler eine anspruchsvolle Aufgabe dar.
Entdecke CME Artikel





















Keine Kommentare.