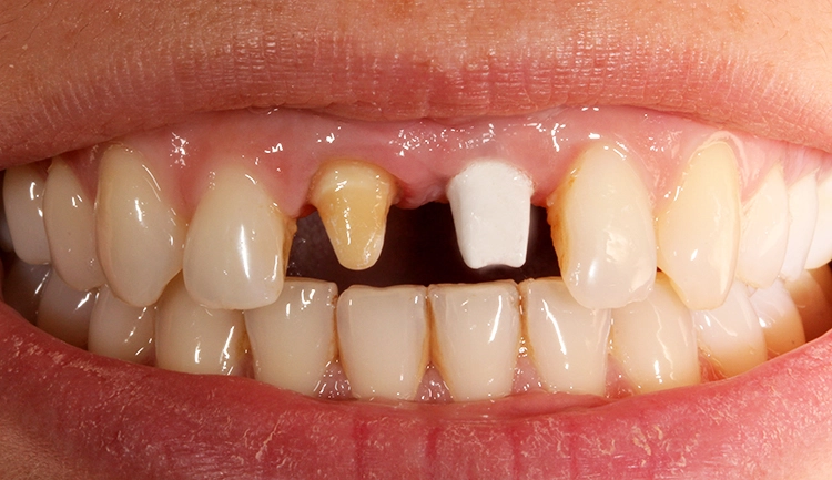
Im vergangenen Jahr stellte sich eine 36-jährige Patientin in der Zahnarztpraxis vor. Sie hatte einen Zahnverlust (21) erlitten, außerdem erwies sich die Nachbarkrone (Zahn 11) als insuffizient. Der Zahnarzt setzte ein Titan-Implantat und entfernte die Krone von 11. So kam der Fall mit der prothetischen Ausgangssituation zu uns ins Labor. Der Wunsch der Patientin und die Verordnung bestand in Zirkoniumdioxid-Kronen mit manuell aufgebrachter Verblendung. Das Abutment für das Implantat sollte aus auf PEEK basierendem Polymer (BioHPP, Bredent) bestehen und durch Aufpressen auf eine Titan-Klebebasis gefertigt werden.
Ausgangspunkte für die Prothetikplanung
Die Patientin hatte einen sehr dünnen Gingivatypus und uns stellte sich die Frage, wie wir das Titan-Implantat am besten kaschieren könnten. Außerdem ist es bei allen Überlegungen selbstverständlich von größter Wichtigkeit, schon durch die Restauration selbst von vornherein einem etwaigen Gingiva-Rückgang vorzubeugen und Plaque-Anlagerungen insbesondere im subgingivalen Bereich einen Riegel vorzuschieben. Des Weiteren wussten wir, dass der Zahnarzt unsere Implantatversorgung nicht nur desinfizieren, sondern sterilisieren würde – dies geschieht meist bei 128° Celsius und dauert 12 Minuten. Dieses Prozedere galt es ebenfalls in die Überlegungen einzubeziehen und alles zu einem stimmigen Konzept rund um die Dauerhaftigkeit der Versorgung zusammenzuführen.
Sandwich-Technik im Gingivalraum
Die Sterilisationsfrage treibt mich schon länger um. Denn naheliegend ist doch der Schluss, dass das unmittelbare Befestigen von Zirkoniumdioxid auf der Titan-Klebebasis bei solcher Sachlage nicht die Lösung sein kann, will man den Langzeiterfolg nicht infrage stellen. So habe ich eine Sandwich-Technik für die Titanbasis erarbeitet, unter Benutzung von auf PEEK basierendem keramikverstärktem Polymer für das Abutment. Das Material, wie wir von Bredent wissen, legt sich aufgrund des Teflon-Anteils ohne Klebung fest an das Titan an, andererseits ist es nach meiner eigenen Erfahrung sehr gingivafreundlich und das Zahnfleisch schmiegt sich sehr eng und haltbar an den PEEK-Pressaufbau an. Auf diesem können dann nach üblichem Protokoll Zirkoniumdioxid-Kronen befestigt werden.
Bedeutung der Oberflächenrauigkeit des Abutments für die Plaque-Akkumulation
Die Plaque-Akkumulation im gingivalen und subgingivalen Bereich erweist sich als entscheidend für das Langzeitüberleben von Implantatprothetik. In diesem Zusammenhang gingen verschiedene Autoren [1–5] der Frage der Oberflächenrauigkeit von Abutments nach. Sie setzten einen Schwellenwert für die Rauigkeit von Ra = 0,2 ?m an, weil sie herausfanden: Erreicht die Oberflächenrauigkeit z. B. den hohen Wert von Ra = 0,8 ?m, resultiert dies in einer dramatischen Zunahme subgingivaler Plaque. Ist die Abutment-Oberfläche andererseits sehr glatt, z. B. mit Ra = 0,06 ?m, tritt ebenfalls eine vermehrte Besiedlung durch pathogene Keime auf.
Für die Folge verstärkter Rauigkeit wird zur Erklärung der Prozess der Bakterien-Kolonisierung herangezogen. Diese beginnt in der Tiefe von Unebenheiten der Oberfläche, dabei kann der Abstand zur Oberfläche sogar 0,50 nm betragen. Er wird dann dadurch überwunden, dass das Bakterium eine Brücke schlägt und sich fest an die Oberfläche anheftet. Auf der anderen Seite verhindert eine zu glatte Oberfläche die (bakterien-)dichte Anlagerung von Weichgewebe.
Für die zahntechnische Arbeit folgt daraus: Es geht darum, beim Polieren eine günstige Oberflächenrauigkeit einzustellen. Das Abutment darf nicht zu uneben und auch nicht zu glatt sein; für die Zirkoniumdioxid-Oberfläche gilt dasselbe.
Das zahntechnische Vorgehen
Nach dem Analysieren des oberen Zahnbogens und der Gingivaverhältnisse auf dem Modell sowie an der Patientin wurde zunächst ein Wax-up der beiden mittleren Schneidezähne gefertigt, unter gleichzeitiger Bestimmung des passenden Emergenzprofils für das Implantat-Abutment. Die Realisierung erfolgte in konventioneller Aufwachstechnik. Zahnarzt und Patientin konnten nun schon einen Eindruck von der späteren Prothetik gewinnen.
Freitag
Freitag
Nach dem Scannen und Matchen des bisher Erreichten wurden in der Software (3Shape, Kopenhagen/Dänemark) Zirkoniumdioxid-Käppchen konstruiert und in unserem Fräsgerät (Zenotec mini, Ivoclar Vivadent, Ellwangen) gefräst. Ein „Kunstgriff“ wurde beim Schichten angewandt: die Umsetzung einer leicht verschachtelten Zahnstellung. In der Art ließ sich ein natürlicher Charakter „wie gewachsen“ imitieren. So hatte es sich die Patientin im Gespräch gewünscht, denn sie wollte ganz sichergehen, sich auf keinen Fall mit „falschen Zähnen“ outen zu müssen. Sie wollte einfach rundherum das sichere Gefühl natürlicher Zähne haben. Es kam hinzu, dass wir auf diese Weise einem schwarzen Dreieck zwischen 11 und 21 entgehen konnten, falls sich die Papille nicht weit genug erholen würde.
Freitag
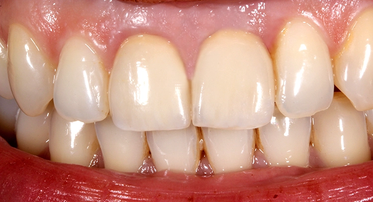
Vor dem Glanzbrand ging es sodann um die Einstellung der Oberflächentextur und Anlegen von Lichtleisten. Ein Schwarz-Weiß-Bild diente am Ende zur Kontrolle des gewählten Helligkeitswertes (Abb. 4). Schon beim Anschauen auf dem Modell (Abb. 5a u. b) und erst recht bei der definitiven Eingliederung zeigte sich der Zahnarzt mit der restaurierten Front sehr zufrieden und die glückliche Patientin sah ihr Ziel der perfekten Nachahmung von Natürlichkeit voll erfüllt (Abb. 6a u. b).
Freitag
Freitag
Freitag
Freitag
Freitag
Die Bearbeitung von PEEK für eine gute Gingivaanlagerung und Bakteriendichte
Freitag
Die Körnung beträgt bei Walze, Rad und Linse gleichermaßen optimierte 0,35 ?m. Laut Arbeitsanleitung von Bredent wird so eine Oberflächenrauigkeit von Ra = 0,2 bis 0,4 µm erreicht. Auf diese Weise können die Fibroblasten besser anwachsen und die Bildung eines natürlichen Emergenzprofils wird gefördert.
Gleichzeitig wird mit diesen Bearbeitungswerkzeugen bei Hybridabutments im selben Arbeitsgang die Oberfläche von Kleberresten und nicht sichtbaren Verschmutzungen gereinigt. Die Walze kommt bei einem breiten Emergenzprofil zum Einsatz, das Rad und die Linse eignen sich vor allem für schmale Emergenzprofile.
Bildquellen sofern nicht anders deklariert: Unternehmen, Quelle oder Autor/-in des Artikels
Entdecke CME Artikel





Keine Kommentare.