Fallvorstellung
Hufschmidt
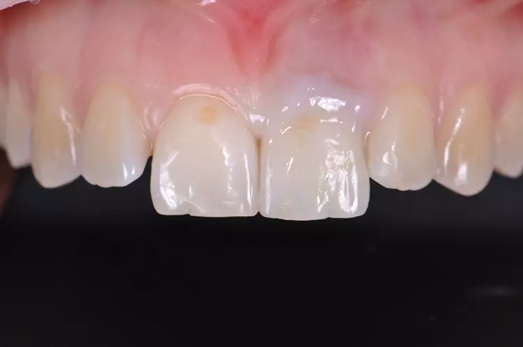
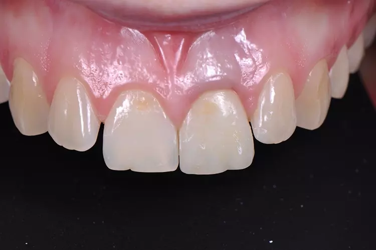
Im Rahmen des Erstgespräches berichtete die junge Patientin von einem Sturzereignis, bei dem der Schneidezahn frakturierte. Ihr damaliger Zahnarzt führte eine Wurzelkanalbehandlung durch und versorgte den Zahn mit einer Krone aus Lithiumdisilikat. Das anfänglich sehr ansprechende ästhetische Behandlungsergebnis hätte sich jedoch nach der Eingliederung mit der Zeit verändert und die Patientin stellte eine zunehmende Verfärbung der Frontzahnkrone fest (Abb. 2 und 3).
Hufschmidt
Hufschmidt
Dies kann aus einer nachträglich eingetretenen Verfärbung des devitalen Zahnes resultieren. Durch die sehr hohe Transluzenz der Glasphase einer Lithiumdisilikat-Restauration kann die dunkle Stumpffarbe durchschlagen und zu einem ästhetisch störenden „Grauschleier“ führen. In einem intensiven Beratungs- und Aufklärungsgespräch wurden der Patientin die Schwierigkeiten und Herausforderungen einer Einzelzahnkrone in der ästhetischen Zone bei einer hohen Lachlinie mit Exposition der Gingiva dargestellt.
Manche Details wie die Verfärbung der Gingiva wären nicht korrigierbar und verringerten die Vorhersagbarkeit eines optimalen ästhetischen Resultates. Die Neuversorgung dient der Verbesserung der ästhetischen Situation, eine perfekte Kopie des Zahnes 11 wird nicht zu erzielen sein, da die verfärbte Wurzel bestehen bleibe.
Trotz der aufgeführten Risiken und Unwägbarkeiten wünschte die junge Patientin eine Neuversorgung des Zahnes, um eine bestmögliche Ästhetik zu erreichen. Gleichzeitig sollten ihre natürliche Zahnfarbe und die individuelle Zahnstellung nicht verändert werden.
Klinisches Vorgehen
Auf den vorab hergestellten Situationsmodellen wurde für die provisorische Versorgung eine Tiefziehfolie für den Oberkiefer hergestellt. Es erfolgte die schonende Abnahme der Einzelzahnrestauration und die Entfernung des Befestigungsmaterials.
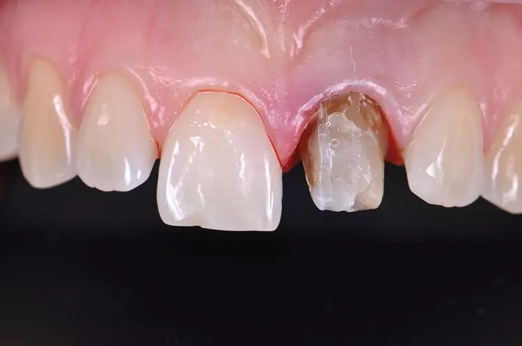
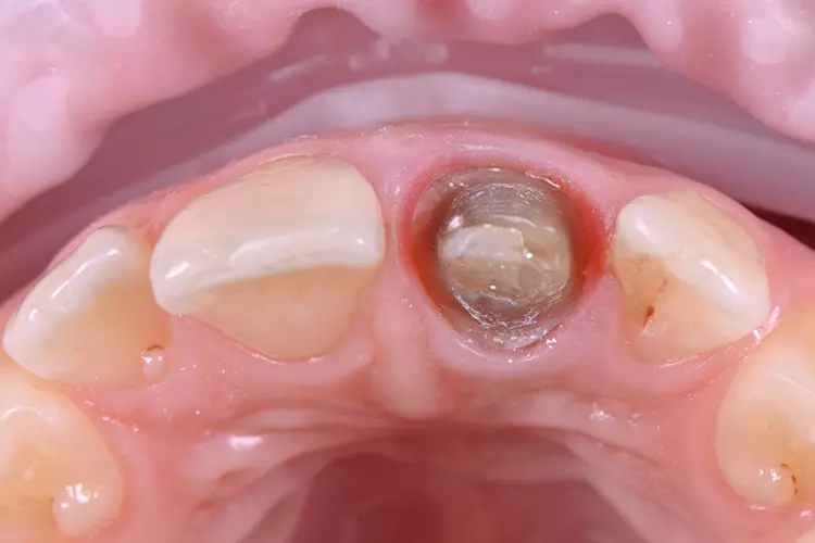
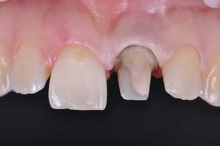
Die vorgefundene Präparation konnte im labialen Bereich in 3 Ebenen anatomisch reduziert und optimiert werden. Bei der Platzierung des zirkulären Präparationsrandes war die „biologische Breite“ nicht berücksichtigt worden und der Kronenrand lag deutlich subgingival.
Die Gingiva wurde mithilfe eines Retraktionsfadens vorsichtig verdrängt und die zirkuläre Präparation mit einer ausgeprägten Hohlkehle klar definiert. Beim Langzeitprovisorium, welches man in der Praxis herstellte, wurden sämtliche ästhetischen und funktionellen Parameter berücksichtigt und die „äußere Hülle“ der definitiven Krone festgelegt.
Hufschmidt
Hufschmidt
Hufschmidt
Hufschmidt
Hufschmidt
Hufschmidt
Hufschmidt
Gleichzeitig wurde mit den initial angefertigten Silikonschlüsseln die anatomische Reduktion des Zahnes 21 visualisiert und die labiale Reduktion in 3 Ebenen bewertet. Die Zielfarbe der Restauration und die Stumpffarbe wurden vor der Abformung für das zahntechnische Labor bestimmt und mit Fotos dokumentiert. Nach Darstellung des Präparationsrandes mittels Retraktionsfaden und Teflonband erfolgte eine klassische Abformung mithilfe eines individuellen Löffels und eines Polyethermaterials (Abb. 11–20).
Hufschmidt
Hufschmidt
Hufschmidt
Hufschmidt
Hufschmidt
Hufschmidt
Hufschmidt
Hufschmidt
Hufschmidt
Hufschmidt
Materialauswahl
Die Auswahl des Materials für die definitive Krone wurde in Rücksprache mit dem Zahntechniker getroffen. Sie erfolgte nach der Herstellung der Arbeitsmodelle, der Beurteilung der Platzverhältnisse, der Stumpffarbe und der definierten Zielfarbe. Aufgrund des verfärbten und devitalen Zahnes und zur Vermeidung des „Grauschleiers“ galt es, ein Material mit weniger Transluzenz als Lithiumdisilikat zu verwenden.
Es sollte ein Zirkonoxidmaterial mit hochästhetischen Eigenschaften zum Einsatz kommen. Die Wahl fiel auf IPS e.max ZirCAD Prime, ein Werkstoff der zwei Zirkoniumdioxid-Rohstoffe kombiniert: im Dentinbereich ein 3Y-TZP-Zirkonia mit hoher Festigkeit (1.200 MPa Biegefestigkeit) und im Schneidebereich ein transluzenteres 5Y-TZP-Zirkonia (650 MPa Biegefestigkeit). Der stufenlose Farb- und Transluzenzverlauf in den Materialscheiben ist ein zusätzlicher Vorteil für derartige Restaurationen im sichtbaren Bereich.
Analoge Abformung und digitale Fertigung mit ästhetischer Handarbeit
Hufschmidt
Hufschmidt
Hufschmidt
Hufschmidt
Hufschmidt
Hufschmidt
Hufschmidt
Hufschmidt
Hufschmidt
Das Ausarbeiten von Details und die minimale Reduktion der Labialfläche für das Microveneering erfolgt grundsätzlich im weichen, kreideartigen Weißzustand. Das so bearbeitete und modifizierte Gerüst wird nun bei 1.530 °C gesintert und schrumpft dabei volumenmäßig um ca. 25% zum eigentlichen hochfesten Zirkonoxidgerüst.
Zur Realisierung eines möglichst naturgetreuen Behandlungsergebnisses wurde labial ein minimales Cut-back und eine anschließende individuelle Schichtung mit der Verblendkeramik IPS e.max Ceram durchgeführt (Mikroveneering) (Abb. 30–33). Damit der verfärbte Zahnstumpf unter der neuen Zirkonkrone nicht mehr sichtbar ist, wird bei transluzentem Zirkoniumdioxid im Weißzustand auf der Innenseite des Gerüstes ein Opakerliquid aufgebracht. Dieses Liquid trägt nicht auf, da das Material in den Werkstoff eindringt und das Zirkongerüst an den gewünschten Stellen von innen blickdicht, sprich opak, wirken lässt (Fa. BriegelDental) (Abb. 34 und 35).
Hufschmidt
Hufschmidt
Hufschmidt
Hufschmidt
Hufschmidt
Hufschmidt
Adhäsive Befestigung
Die Innenseite der Restauration wurde vom zahntechnischen Labor vorbehandelt angeliefert. Das Provisorium wurde entfernt und die Stumpfreinigung wurde mit einer fluoridfreien Polierpaste (Proxyt) und einer Polierbürste durchgeführt. Bei der Einprobe der fertiggestellten Restauration wurden verschiedene Parameter wie Passgenauigkeit, approximale und okklusale Kontaktareale, Funktionsbewegungen sowie Oberflächentextur und Lichtreflexionen beurteilt.
Hufschmidt
Diese Maßnahme verhindert ein Abfließen des Befestigungsmaterials in den Sulkus. Nach der Einprobe wurde die Innenseite der Restauration gründlich mit Wasser abgespült und für 20 sec. mit Ivoclean – einer universalen Reinigungspaste – benetzt, um die Klebefläche nach der Kontamination mit Speichel zu reinigen (Abb. 37a und b). Anschließend wurde die Klebefläche der Restauration getrocknet und der selbstadhäsive Kompositwerkstoff (Speedcem Plus) appliziert.
Hufschmidt
Hufschmidt
Hufschmidt
Am Ende des Befestigungsprotokolls steht die Entfernung des Retraktionsfadens, die genaue Inspektion der Klebefuge und Reinigung dieser von etwaigen Überschüssen des Befestigungswerkstoffes. Zur schnelleren Regeneration der leicht traumatisierten Gingiva wird ein CHX-Lack (Cervitec Plus) mit einem Mikrobrush appliziert.
Fazit
Bei Behandlungen mit festsitzendem Zahnersatz in der ästhetisch anspruchsvollen Oberkieferfront stehen Behandler/-innen und Zahntechniker/-innen vor der Problematik zu entscheiden, welches Material zur Erzielung eines möglichst naturgetreuen Behandlungsergebnisses verwendet werden soll. Bei vollkeramischen Restaurationen unterscheidet man zwischen den beiden Werkstoffgruppen Glaskeramik und Zirkoniumdioxidkeramik. Deren Einsatzgebiete waren bis zur Einführung der hochästhetischen Zirkoniumdioxidkeramiken für die verschiedenen Anwendungsbereiche noch klar voneinander abzugrenzen.
Hufschmidt
Bildquellen sofern nicht anders deklariert: Unternehmen, Quelle oder Autor/-in des Artikels
Entdecke CME Artikel






Keine Kommentare.