|
Getting your Trinity Audio player ready...
|
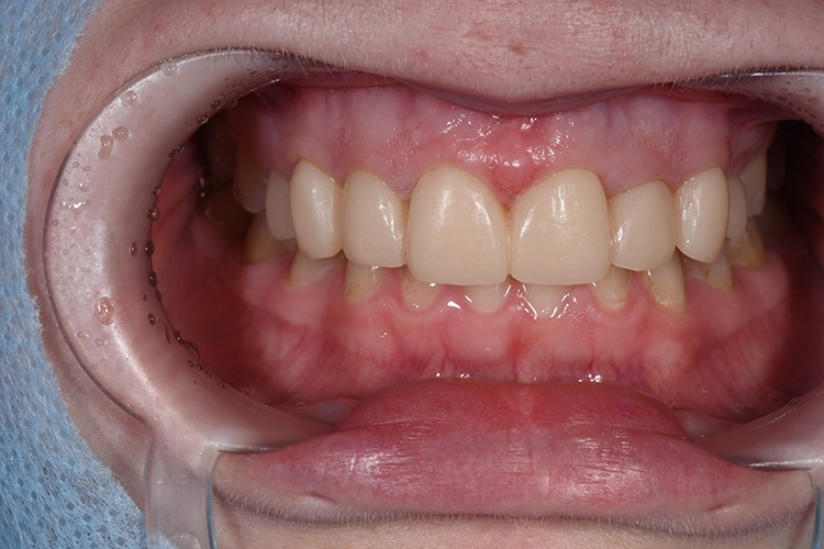
Eine 25-jährige Patientin kam mit auffälligen Zahnproblemen in die Praxis. Klinisch zeigten sich eine starke Abnutzung im gesamten Gebiss, die in der Anamnese auf Bruxismus zurückzuführen war, sowie ein ausgedünnter und glänzender Zahnschmelz aufgrund von Erosion [15]. Ferner berichtete die Patientin über ein anhaltendes Gefühl leichter Xerostomie, die Anlass zu Besorgnis hinsichtlich ihrer Mundgesundheit gab. Eine gründliche intraorale Untersuchung ergab, dass einige ihrer Kunststoffrestaurationen, die vermutlich in den letzten Jahren eingebracht worden waren, von schlechter Qualität waren und zudem einige Bereiche im Gebiss Anzeichen von Hypomineralisation aufwiesen.
Kim und ParkIn der zahnmedizinischen Fachliteratur wird immer wieder darauf hingewiesen, dass Xerostomie nicht nur die Anfälligkeit für kariöse Läsionen erhöht, sondern auch die Langlebigkeit bereits vorhandener Kunststoffrestaurationen beeinträchtigt [8]. Bei einem ersten Versuch, das Problem zu lösen, wurden mehrere Kompositrestaurationen nach den Vorgaben der Patientin überarbeitet. Sie zeigte sich jedoch weiterhin mit Morphologie und Farbe der behandelten Zähne unzufrieden. Da sie in Bezug auf ihr Lächeln gehemmt war, suchte sie nach einer Lösung für ein strahlendes und natürlicheres Erscheinungsbild (Abb. 24).
Planung
Bei der Ausarbeitung einer Behandlungsstrategie für die Patientin spielten mehrere Faktoren eine Rolle. An erster Stelle stand die Sorge hinsichtlich der starken Abnutzung durch Bruxismus, die offensichtliche Erosion und die erhöhte Kariesanfälligkeit. Außerdem hatte die Patientin eine eckige Zahnform, die nicht zu ihrem runden Gesichtsprofil passte. Vor einer umfassenden prothetischen Behandlung wurde ein kieferorthopädischer Behandlungsplan mit transparentem Aligner erstellt.
Vorrangiges Ziel war, die oberen und unteren Schneidezähne gleichmäßig auszurichten und die Notwendigkeit einer übermäßigen Zahnreduktion zu minimieren. Darüber hinaus war es wichtig, die Zähne vital zu erhalten. Angesichts des schlechten Zustands vieler Kompositrestaurationen und der damit verbundenen Risiken (eventuelle Frakturen und beschleunigte Erosion) entschieden sich die Behandler für eine vollflächige Lösung. Der Plan sah auch vor, die ersten Prämolaren mit Kronen zu versorgen, da sie mehrere defekte Kompositrestaurationen aufwiesen.
Klinische Behandlung
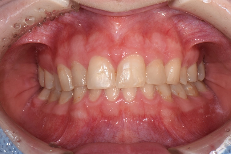
Bei der Patientin erfolgte eine 3-monatige kieferorthopädische Behandlungsphase, in der die Zähne erfolgreich ausgerichtet wurden. Danach konnte mit der Kronenbehandlung begonnen werden. Dafür wurden zunächst die 4 mittleren Schneidezähne präpariert und provisorisch versorgt. Einen Tag später folgte die Präparation der restlichen Zähne. Die Patientin zeigte sich mit den provisorischen Kronen und dem dadurch verbesserten Lächeln sofort zufrieden (Abb. 25–26). Danach wurden Abformungen vorgenommen und zunächst 6 Presskronen aus Lithiumdisilikat-Glaskeramik (IPS e.max®) auf die Frontzähne gesetzt. Für die Prämolaren wurden vollkonturierte monolithische Zirkonia-Kronen (IPS e.max® ZirCAD Prime) verwendet.
Kim und Park
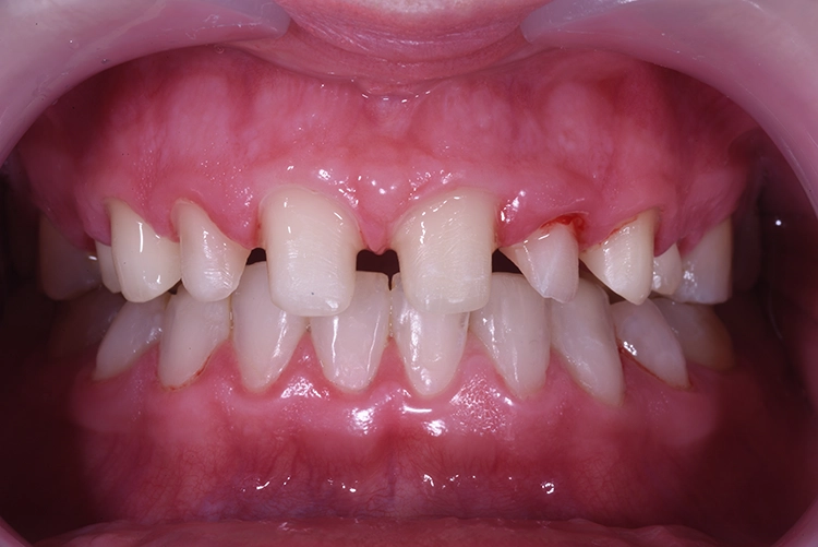
Kim und ParkWährend der 2-wöchigen provisorischen Versorgung mit den neuen Kronen erschien die Patientin mit einer frakturierten Presskrone an einem Eckzahn. Es zeigte sich, dass die linguale Reduktion unzureichend war und die linguale Wandstärke der Krone nur ca. 0,4 mm betrug. Aufgrund der Bedeutung der Eckzähne als Führungszähne entschieden sich die Behandler, die Kronen durch labial verblendete Zirkonia-Kronen zu ersetzen. Die Prämolaren erhielten monolithische Kronen ohne zusätzliche Einfärbung. Die unteren mittleren Schneidezähne wurden nach einem Bleaching mit Komposit versorgt (Abb. 27–30).
Kim und Park
Kim und Park
Kim und Park
Kim und ParkAnfertigung der Kronen im Labor
Für die Zähne 12–22 wurden gepresste Lithiumdisilikat-Kronen aus MT-Rohlingen (Medium Translucency) in der Farbe A1 hergestellt. Die Kronen für die Eckzähne wurden aus Zirkoniumdioxid MT (Farbe A2) gefertigt. Nach einem Washbrand bei allen Kronen wurden im Anschluss die zervikalen Bereiche mit Standard-Dentin A1 und die inzisalen Bereiche mit einer 1:1-Mischung aus Dentin und neutralem Pulver aufgebaut. Danach wurden die aufgebauten Kronen selektiv beschliffen, um eine natürlichere Mamelonform zu schaffen.
Für ein voluminöses, zahnschmelzähnliches Aussehen im mesialen und distalen Bereich der Kronen wurde OE2- bzw. OE4-Pulver (Opal Effect) verwendet, was für ein milchig weißes Aussehen sorgte. Der segmentale Aufbau zwischen den mesialen und distalen Bereichen erfolgte mit OE1 und TI (Transpa Incisal), wobei OE1 für die Formgebung der Restauration eingesetzt wurde. Die Verwendung von Opaleffektpulver verstärkt die Opaleszenz auf natürliche Art und verhindert, dass sich der Helligkeitswert der Krone im Vergleich zur Verwendung von normal transparentem Pulver reduziert (Abb. 31–36).
Kim und Park
Kim und Park
Kim und Park
Kim und Park
Kim und Park
Kim und ParkKonturierung
Kim und ParkDer Linienwinkel des Zahns beginnt an der Wurzel. In dem in Abbildung 37 gezeigten Modell ist eine blaue Linie eingezeichnet, die von der Wurzel ausgeht und sich bis zur Krone erstreckt. In Abbildung 38 ist bei der Betrachtung des zervikalen Bereichs eines präparierten Zahns die Verbindungsstelle von der Wurzel zum zervikalen Bereich sichtbar. Bei Betrachtung des zervikalen Querschnitts eines Zahns erkennt man den Scheitelpunkt, an dem er von proximal nach mesial und dann nach distal übergeht. Dieser Punkt markiert den Beginn des Linienwinkels des Zahns und dient als Referenz für die Bestimmung der Größe des Zahns und damit auch der Breite der Krone. [13]. Nach der Bestimmung der Kronenbreite kann die Modellierung in den folgenden Schritten erfolgen:
- Modellierung der dreidimensionalen Zahnform
- Modellierung des mesialen und distalen Linienwinkels
- Reproduktion und Anordnung der entsprechenden Zahnformen
- Um ein symmetrisches Gingivaprofil zu erhalten, wurde der faziale freie Gingivarand von Zahn 22 auf dem Modell so angepasst, dass der faziale gingivale Scheitelpunkt mit dem von Zahn 12 übereinstimmte.
Danach wurde auf Grundlage dieses überarbeiteten Modells eine Krone angefertigt. Die Kontur der Krone wurde so gestaltet, dass ein ästhetisch ansprechendes Weichgewebeprofil entstand und eine biologisch gesunde Weichgewebereaktion eintrat [7]. - Nach Konturierung der labialen Textur wurden die Kronen sorgfältig poliert und glasiert.
- Vor dem Glasieren wurde das Eve Universal White Wheel verwendet, um die raue Oberfläche der Prothese zu glätten. Nach dem Glasieren wurde dieselbe Scheibe leicht angesetzt, um die Oberfläche zu verfeinern. Bei der Verwendung der Universal White Wheel sollten die mesialen und distalen Linienwinkel vertikal entlang des Linienwinkels poliert werden, während der zentrale Bereich horizontal poliert werden sollte. Die Kronen wurden dann mit einem Baumwollrad und OptraFine-Diamantpaste poliert (Abb. 37–42).
Kim und Park
Kim und Park
Kim und Park
Kim und Park
Kim und Parksymmetrisches Gingivaprofil zu erhalten.
Ergebnis
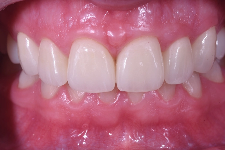
Das Ergebnis sah natürlich aus und entsprach der Individualität und Gesichtsmorphologie der Patientin. Trotz der Verwendung unterschiedlicher Materialien für Schneide-, Eckzähne und Prämolaren gehen diese optisch nahtlos ineinander über und lassen keine Inkonsistenzen erkennen. Die mit Labialverblendung versehenen und die unbehandelten Bereiche fügen sich harmonisch ineinander, was zu einem kohärenten ästhetischen Ergebnis ohne sichtbare Abweichungen führt.
Nach der Behandlung wurde der Patientin dringend empfohlen, zum Schutz vor erneuten Folgen des Bruxismus eine Schiene zu tragen [11] (Abb. 43–45).
Kim und Park
Kim und Park
Kim und ParkHier finden Sie den ersten Teil der Beitragsreihe. Im dritten Fall finden sie ein weiteres Beispiel für die Arbeiten mit Zirkoniumdioxid.
Entdecke CME Artikel 





Keine Kommentare.