Getting your Trinity Audio player ready...
|
Studien zeigen, dass Glasur und Charakterisierung auf Restaurationen schon nach sechs Monaten signifikant abradiert sein können [1,2]. Für beständige klinische Farbeffekte, die dreidimensional und natürlich aus der Tiefe wirken, ist die Verblendung also immer noch das Mittel der Wahl. Charakterisierungen sollten sich immer unter einer Glasur befinden und dann – wie am natürlichen Zahn – oberflächlich wirken.
Das heißt nicht, dass eine Frontzahnverblendung unnötig kompliziert sein soll. Sie soll der Situation schnell und so einfach wie möglich gerecht werden. Je weniger Brände dafür nötig sind, umso besser. Eine ausgeprägte Standfestigkeit der VITA-Verblendkeramik ermöglicht eine schnelle Schichtung, die brennstabil aus dem Ofen kommt. Die Farbtreue sorgt dafür, dass sich die in der Praxis bestimmte Grundzahnfarbe auch 1:1 in der keramischen Schichtung wiederfindet.
Stimmt die Grundzahnfarbe, ist die richtige Farbwirkung grundlegend in die Restauration implementiert. Nur so sind Verblendungen heute wirtschaftlich und können mit der monolithischen Fertigung konkurrieren. In drei unterschiedlichen klinischen Fällen wird im Folgenden der effiziente Workflow mit Feinstruktur-Feldspatkeramik demonstriert.
Patientenfall 1
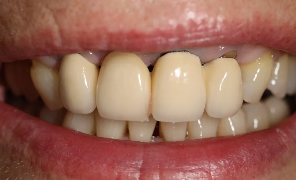
Eine 63-jährige Patientin wurde in der Zahnarztpraxis vorstellig, weil sie mit der Ästhetik ihrer erst vier Jahre alten Brückenversorgung in der Oberkieferfront unzufrieden war. Bei der klinischen Untersuchung zeigte sich eine leblos wirkende VMK-Brücke von 12 auf 21 und 22. Die Kronen wirkten unförmig und unruhig. Die metallischen Kronenränder an den Pfeilerzähnen und ein Zahnhalsdefekt an 22 wurden beim Lächeln sichtbar (Abb. 1 und 2). Die Entscheidung fiel auf eine vollkeramische Neuversorgung mit einem Gerüst aus dem Zirkoniumdioxid VITA YZ HT und einer minimalen Verblendung mit VITA LUMEX AC, um morphologisch schlanker zu werden und trotzdem ein lebendiges Farb- und Lichtspiel zu implementieren.


Klinischer und digitaler Workflow
Die Brücke wurde in der ersten Behandlungssitzung unter lokaler Anästhesie geschlitzt und abgehebelt. Der Pfeilerzahn 21 präsentierte sich daraufhin stark verfärbt und mit einem metallischen Stift-Stumpf-Aufbau (Abb. 3). Nach minimaler Nachpräparation im zervikalen Bereich und Reinigung der Stümpfe wurde die Situation im Oberkiefer und der Gegenkiefer abgeformt sowie der habituelle Biss registriert. Als Grundzahnfarbe wurde A2 bestimmt.

Im Labor wurden Modelle hergestellt und einartikuliert, um die Modellsituation anschließend mit dem 3Shape E4 (3Shape) Laborscanner zu digitalisieren. Auf dem virtuellen Modell wurde in der Zenotec CAD-Software ein Gerüst aus Zirkoniumdioxid konstruiert und anschließend für eine zuverlässige Stumpfmaskierung in der Bleachfarbe 1M1 mit der Fräseinheit Zenotec mini (Wieland Dental) CAD/CAM-gestützt gefertigt. Nach Ausarbeitung, Sinterung und Passungskontrolle war das Gerüst bereit für die patientengerechte Verblendung.
Minimale Verblendung und Eingliederung
Der Waschbrand wurde initial mit VITA LUMEX AC POWERWASH A2 durchgeführt, um die Intensität der Zahnfarbe fluoreszierend aus der Tiefe zu unterstützen. Es folgte die anatomische Reproduktion des Dentinkerns und der Grundzahnfarbe mit Dentine A2. Im unteren Drittel wurde diese mit Dentine modifier honey intensiviert. Im inzisalen Bereich implementierte Translucent waterdrop einen ersten Schmelzeffekt. Mit einer Wechselschichtung aus Mamelon saffron und Translucent deep-blue entstand eine lebendige Simulation der Mamelonanatomie (Abb. 4). Für den ersten Brand wurde abschließend der Schmelz mit Enamel light aufgebaut. Im zweiten Brand sorgte die Schichtung mit Enamel clear für die definitive Morphologie (Abb. 5).

ermöglicht.

zu erhalten.
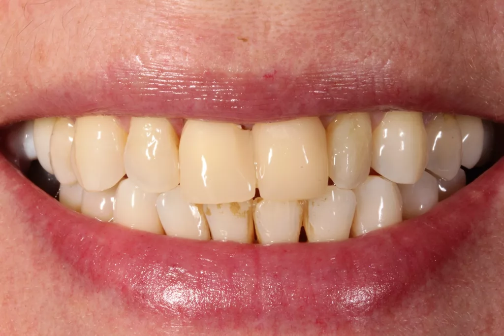
Nach einer kurzen Rohbrandeinprobe wurde ein minimaler Korrekturbrand mit Dentine A2 und Enamel clear vorgenommen (Abb. 6). Die Ausarbeitung der Textur erfolgte mit Tokyo Sinterdiamanten (Briegel Dental). Die Oberflächen wurden anschließend mit Sandpapier geglättet und die Textur nochmals nachgearbeitet. Es folgte die abschließende Glasur mit VITA AKZENT Plus GLAZE LT, das bei der Applikation die verbliebenen Oberflächenrauigkeiten der Feinstruktur-Feldspatkeramik infiltrierte. Nach der erfolgreichen Einprobe konnte die Restauration mit selbstadhäsivem Befestigungskomposit eingegliedert werden. Die neuen Kronen wirkten dank ihres natürlichen Farb- und Lichtspiels lebendig und überzeugten gleichzeitig morphologisch mit Harmonie und einem patientengerechten schlanken Design. Trotz des nicht komplett eiförmigen Profils war die Hygienefähigkeit nach dem Probetragen sichergestellt (Abb. 7 bis 9).




Patientenfall 2

Die 38-jährige Patientin war optisch nicht zufrieden mit ihren Kronen an 11 und 21. Sie entschied sich ebenfalls für eine vollkeramische Neuversorgung. Nach Abnahme der Kronen zeigten sich die Zahnstümpfe moderat verfärbt, weshalb in diesem Fall die Zirkoniumdioxidgerüste CAD/CAM-gestützt aus VITA YZ HT A3 gefertigt wurden, um die bestimmte Grundzahnfarbe schon von innen heraus zu unterstützen (Abb. 10). Die Verblendung erfolgte hier mit der Feinstruktur-Feldspatkeramik VITA VM 9 für Zirkoniumdioxid.
Verblendung, Finishing und Eingliederung
Der Waschbrand wurde mit VITA VM 9 EFFECT LINER 3 (braun) durchgeführt, um die Grundzahnfarbe fluoreszierend auf der Gerüstoberfläche zu verstärken. Der Dentinkern wurde entsprechend mit Dentine A3 geschichtet. Es folgte die Reproduktion der Mamelonanatomie mit Mamelon 2 (warmes Gelbbraun). In die Schneidekante wurden intermittierend und ebenso an den lateralen Flanken Schmelzeffekte mit Effect Enamel 10 (blau) implementiert. Der Schmelz wurde mit Enamel light weiter aufgebaut und in der Schneide mit neutralem Window ergänzt. Nach dem ersten Brand folgte der Korrekturbrand mit Window.
Das Finishing der Feinstruktur-Feldspatkeramik erfolgte wie im ersten Patientenfall. Nach Einprobe und Eingliederung mit einem selbstadhäsiven Befestigungskomposit (Panavia, Kuraray Noritake) zeigte sich ein restauratives Ergebnis, das von den natürlichen Zähnen nicht zu unterscheiden war (Abb. 11 und 12).


Patientenfall 3

Die 38-jährige Patientin war unzufrieden mit ihrer Krone an 11 und ihrem Veneer an 21. Die Nachpräparation an 11 und 21 war nach der Abformung provisorisch versorgt worden (Abb. 13). Die Stümpfe wiesen hier keinerlei Verfärbung auf, weshalb die Wahl auf die Presskeramik VITA AMBRIA als Gerüstmaterial fiel. In das Zirkoniumdioxid-verstärkte Lithiumdisilikat ist eine natürliche Transluzenz, Fluoreszenz und Opaleszenz sowie die korrekte Grundzahnfarbe bereits implementiert, sodass nur noch ein vestibuläres Microveneering vorgenommen werden musste, um die individuellen Nuancen der Patientin zu reproduzieren. Als Grundzahnfarbe wurde A3,5 bestimmt.
Presskeramischer Workflow
Die provisorische Situation wurde abgeformt und ein Situationsmodell hergestellt. An 11 und 21 wurde anschließend ein Wax-up durchgeführt und davon ein Silikonschlüssel hergestellt (Abb. 14). Bei der anschließenden Modellation in Wachs auf dem Meistermodell diente dieser zur Kontrolle der morphologischen Dimension. Die aufgewachsten Restaurationen wurden eingebettet, ausgebrannt und mit VITA AMBRIA HT in der Farbe A3 gepresst (Abb. 15). Im Verlauf der Schichtung sollte diese sukzessive an die Grundzahnfarbe A3,5 angepasst werden. Dank der kaum vorhandenen Reaktionsschicht und der Dimensionstreue war die zuvor in Wachs definierte Morphologie und Mikromorphologie schon 1:1 in die keramischen Restaurationen aus VITA AMBRIA umgesetzt worden (Abb. 16).



Effizientes Microveneering
Nach der Ausarbeitung wurde lediglich der Dentinkörper mit VITA LUMEX AC Dentine A3,5 chromatischer gestaltet. Inzisal und an den Flanken wurden bläuliche Farbeffekte mit Translucent waterdrop implementiert, bevor inzisal und minimal im Bauchbereich mit Enamel clear abgedeckt wurde (Abb. 17). Nach dem ersten Brand wurde das Lichtspiel an den Flanken mit Translucent deep-blue verstärkt und der zentrale Inzisalbereich mit Translucent sun-intense etwas wärmer gestaltet. Aus Dentine A3,5 sowie Enamel clear und Enamel dark im Bauchbereich entstand die finale Morphologie. Es folgte der zweite und letzte Brand (Abb. 18).


Nach dem Finishing wie im ersten Patientenfall waren die Restaurationen bereit für die definitive Eingliederung. Die klinische Einprobe war erfolgreich und so wurden die Restaurationen an den Verbundflächen mit Flusssäure geätzt, silanisiert und volladhäsiv mit Panavia (Kuraray Noritake) befestigt. Nach der Implementierung zeigten sich naturidentische Restaurationen, mit denen die Patientin absolut zufrieden war (Abb. 19 und 20).


Fazit
Bei allen Vorteilen der CAD/CAM-Technologie, die auch in zwei der drei gezeigten Fälle gewinnbringend eingesetzt wird, sollte nicht vergessen werden, dass sehr oft ein Mindestmaß an Individualität nötig ist, um wirklich ästhetisch zu versorgen. Das gilt vor allem für den Frontzahnbereich und insbesondere dann, wenn dort nur einzelne Zähne versorgt werden. Es geht dabei nicht darum, sich mit vielen unterschiedlichen Massen zu verkünsteln, sondern mit möglichst geringem Aufwand patientengerecht zu verblenden. Mit modernen brenn- und farbstabilen Verblendkeramiksystemen, die dem VITA-Farbstandard entsprechen, ist es heute möglich, schnell und kontrolliert das gewünschte Ergebnis zu erzielen. Bei einer Verblendung handelt es sich um die entscheidenden Millimeter, ob die Kunden und vor allem deren Patienten zufrieden sind und damit langfristig auch ob ein Labor wirtschaftlich erfolgreich ist.
Keine Kommentare.