Kombiniert zahn- und implantatgetragene Hybridprothesen ermöglichen Patienten mit einer stark reduzierten Dentition eine zufriedenstellende Kaufunktion [1]. Teleskopprothesen als Hauptvertreter der Hybridprothesen zeichnen sich nicht nur durch eine hohe Stabilität aus, sondern zudem werden für sie in der Literatur weniger ausgeprägte Resorptionserscheinungen im Bereich des posterioren Alveolarfortsatzes als bei Rekonstruktionen mit Klammerretention beschrieben [2]. Nachteilig an Teleskopprothesen ist, dass aus technischen Gründen oft Überkonturen der Pfeilerzähne resultieren und nicht parallele Zahnachsen sich ungünstig auf den Herstellungsprozess auswirken. Darüber hinaus sind Teleskopprothesen in der zahnärztlichen Behandlung und zahntechnischen Anfertigung sowohl anspruchsvoll als auch kostenintensiv [3,4]. Der Patientenkomfort fällt umso höher aus, je mehr Pfeiler vorhanden sind und je besser diese topografisch verteilt sind. Ein quadranguläres Unterstützungspolygon wird favorisiert [1]. Um das zu erreichen, können bei einer strategisch ungünstigen Pfeilerverteilung supplementäre Implantate mit in die Planung einbezogen werden [5]. Die Kombination von natürlichen Zähnen und Implantaten hat aber noch weitere Vorteile. Einerseits ergibt sich ein positiver psychologischer Effekt, denn viele ältere Personen wünschen sich, nicht „zahnlos“ zu sein; andererseits bleiben durch den Erhalt der parodontalen Fasern die Taktilität und die Propriozeption gewahrt, wodurch das Risiko einer funktionellen Überbelastung minimiert werden kann [6].
In der wissenschaftlichen Literatur haben verschiedene Autoren offen gestaltete und damit biologisch freundlichere Gerüstdesigns propagiert [7–9]. Auch in der Hybridprothetik kann eine offene Gestaltung zur Anwendung kommen. Dabei wird die Umspülbarkeit der Pfeilerzähne vorteilhaft beschrieben, während als mögliche negative Folgeerscheinungen Sprach- und Funktionsprobleme (z.B. feuchte Aussprache) auftreten können [9].
Ausgangssituation
Die seinerzeit 68-jährige Patientin stellte sich im Jahr 2015 in der Klinik für Rekonstruktive Zahnmedizin und Myoarthropathien an den Universitätskliniken für Zahnmedizin in Basel vor, mit dem Wunsch nach einer langfristig stabilen Versorgung im Oberkiefer. Sie war im Oberkiefer mit einer bereits mehrfach angepassten alio loco hergestellten Teilprothese versorgt. Die medizinische Anamnese war unauffällig. Die Mundhygiene der Patientin war bereits zu dem Zeitpunkt auf einem guten Niveau und die parodontale Situation war abgesehen von lokalisiert leicht erhöhten Sondierungstiefen um den längsfrakturierten Zahn 22 sowie beim Implantat in regio 35 stabil. Neben den verblockten Kronen 13-12-11-21 wurde auch die gemischt zahn- und implantatgetragene Brücke 34-35i-36i-x aufgrund mangelhafter Passgenauigkeit als erneuerungsbedürftig eingestuft. Die definitive Neuversorgung im Unterkiefer sollte jedoch auf Wunsch der Patientin bis zum Abschluss der Versorgung im Oberkiefer aufgeschoben werden. Die über 20-jährige Brücke 34-x-36 konnte hingegen sowohl klinisch als auch radiologisch als suffizient eingestuft werden (Abb. 1 u. 2).
Prof. Dr. Joda/Dr. Bracher
Prof. Dr. Joda/Dr. Bracher
Unter Berücksichtigung des Patientenwunsches wurde im Oberkiefer eine gemischt zahn- und implantatgetragene Hybridprothese mit zwei möglichst weit distal gesetzten Implantaten als zusätzliche Verankerung geplant. Nach Festlegung des Kostenrahmens konnte direkt mit der Vorbehandlung begonnen werden.
Vorbehandlung
Während der Vorbehandlung sollte nebst der Extraktion des nicht erhaltungswürdigen Zahnes 22 und der Demontage der bestehenden verblockten Kronen 13-12-11-21 auch die fehlerhafte Ausrichtung der Okklusionsebene der bestehenden Versorgung korrigiert werden. Hierfür wurden Oberkiefer und Unterkiefer in das Therapiekonzept miteinbezogen. Mittels Verlängerung der Zähne im 1. und 3. Quadranten wurde eine Erhöhung der vertikalen Relation erzielt. Technisch erfolgte die Bisshebung mit einem neu angefertigten Drahtklammerprovisorium im Oberkiefer sowie indirekten Kompositaufbauten der Zähne 34, 35 und 36. Beide Therapieschritte wurden vor Fertigstellung in Wachs respektive als Mock-up einprobiert (Abb. 3). Anschließend wurden die verblockten Kronen 13-12- 11-21 demontiert und mittels Eierschalenprovisorien versorgt; Zahn 22 wurde extrahiert und die neu angefertigte Drahtklammerprothese im Oberkiefer sowie die indirekten Aufbauten im Unterkiefer eingegliedert (Abb. 4 u. 5). Eine weitere parodontale oder dentale Vorbehandlung war nicht notwendig.
Prof. Dr. Joda/Dr. Bracher
Prof. Dr. Joda/Dr. Bracher
Prof. Dr. Joda/Dr. Bracher
Chirurgische Phase
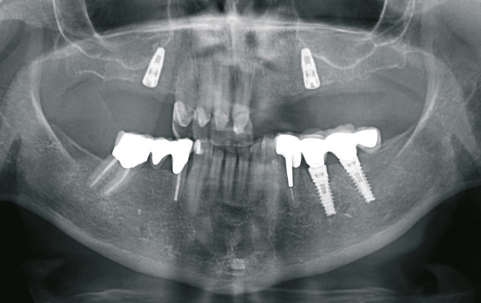
Nach Abschluss der Vorbehandlung erfolgte die Implantatplanung. Dazu wurde die neu angefertigte ideal ausgerichtete Drahtklammerprothese dubliert und das Duplikat als Röntgenschablone verwendet. Mithilfe der Planungssoftware NobelClinician ® (Nobel Biocare, Göteborg, Schweden) wurden möglichst weit distal und damit unmittelbar vor dem Sinus maxillaris zwei Implantate in regio 15 und 25 geplant (Abb. 6). Anschließend wurde die Röntgenschablone im Bereich der geplanten Implantatpositionen angepasst, sodass sie als Orientierungshilfe bei der Implantation verwendet werden konnte (Abb. 7). Die Implantationen erfolgten unter Lokalanästhesie in einer Sitzung. Es wurde ein geschlossenes Einheilverfahren gewählt. Zur postoperativen Kontrolle der Implantatpositionen wurde eine Orthopantomografie angefertigt (Abb. 8).
Prof. Dr. Joda/Dr. Bracher
Prof. Dr. Joda/Dr. Bracher
Prof. Dr. Joda/Dr. Bracher
Definitive Versorgung im Oberkiefer
Prof. Dr. Joda/Dr. Bracher
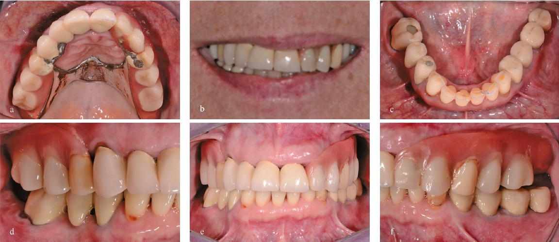
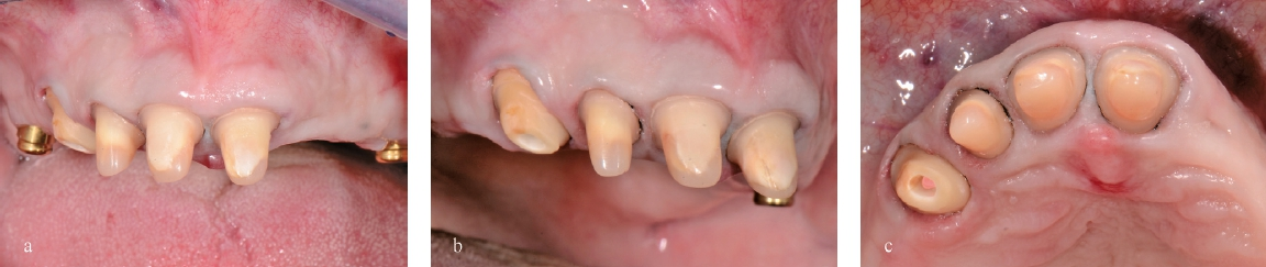
Mittels Platzanalyse auf dem Modell wurde die notwendige Nachpräparation der Pfeilerzähne festgelegt und anschließend klinisch umgesetzt. Dentindefekte wurden vorher mit Komposit direkt aufgebaut (Abb. 10 u. 11). Es folgte eine einzeitig zweiphasige Meisterabformung der Pfeilerzähne mit PermadyneTM (3M, Neuss) und einem individuellen Löffel mit folgender Einprobe der Primärteile (Abb. 12–14).
Prof. Dr. Joda/Dr. Bracher
Prof. Dr. Joda/Dr. Bracher
Prof. Dr. Joda/Dr. Bracher
Prof. Dr. Joda/Dr. Bracher
Prof. Dr. Joda/Dr. Bracher
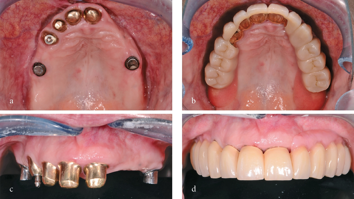
In einem nächsten Schritt wurden die Primärteile provisorisch fixiert und zusammen mit den Implantaten und den Schleimhautarealen überabgeformt (ImpregumTM, 3M) zur Herstellung des Meistermodells (Abb. 15). Die Position der Implantate wurde mittels „Verification Stent“ rückkontrolliert und die vertikale und horizontale Kieferrelation intraoral mittels Handbissnahme verschlüsselt. Aufgrund der nicht unerheblichen Achsendivergenz zwischen den Implantaten und den natürlichen Pfeilerzähnen wurde entschieden, die Implantate anstelle von konfektionierten Einzelelementen mit individuellen CAD/CAM-Teleskopkronen (Atlantis Abutments, Dentsply Sirona, Wals bei Salzburg, Österreich) zu versorgen. Konfektionierte Einzelelemente wären durch die Achsendivergenz einem erhöhten Verschleiß unterzogen gewesen, was wiederum mit einem gesteigerten Nachsorgebedarf verbunden gewesen wäre. Nach mehreren Set-up-Einproben konnte schließlich auch das Sekundärgerüst hergestellt werden. Sämtliche Sekundärteile wurden dabei als Vollgussteile designt und mit dem Modellgussgerüst verklebt, mit Ausnahme der Sekundärteile für die Implantatteleskopkronen, welche zur Sicherstellung der Passivität intraoral verklebt werden sollten (Abb. 16 u. 17). Sowohl Primär- als auch Sekundärteile wurden für eine höhere Härte während 30 min bei 400°C vergütet. Anschließend konnte das geschlüsselte Set-up und auf das Gerüst aufgepasst werden. Um die Pfeilerzähne wurde die Prothese offen gestaltet, um eine natürliche Umspülung der Pfeilerzähne zu ermöglichen. Auf ein Palatinalband konnte aufgrund der guten Kammverhältnisse und des breiten Unterstützungspolygons verzichtet werden. Nach einer letzten klinischen Einprobe konnte die Prothese durch den Zahntechniker individualisiert und fertiggestellt werden (Abb. 18).
Prof. Dr. Joda/Dr. Bracher
Prof. Dr. Joda/Dr. Bracher
Prof. Dr. Joda/Dr. Bracher
Prof. Dr. Joda/Dr. Bracher
Prof. Dr. Joda/Dr. Bracher
Die Teleskopkronen und die Wurzelstiftkappe wurden mit Glasionomerzement (KetacTM Cem, 3M) sukzessive einzeln eingesetzt. Die Implantatteleskopkronen wurden mit einem Anzugsdrehmoment von 35 Ncm festgeschraubt und mit weißer Guttapercha und Glasionomerzement (KetacTM Bond, 3M) verschlossen. Nach einer Tragedauer von einer Woche, in der sich die Prothese einlagern konnte, wurden die Sekundärteile der Implantatteleskopkronen und die Matrize der Wurzelstiftkappe intraoral verklebt (Super-T, American Consolidated Manufacturing, Conshohocken, USA) (Abb. 19).
Definitive Versorgung im Unterkiefer
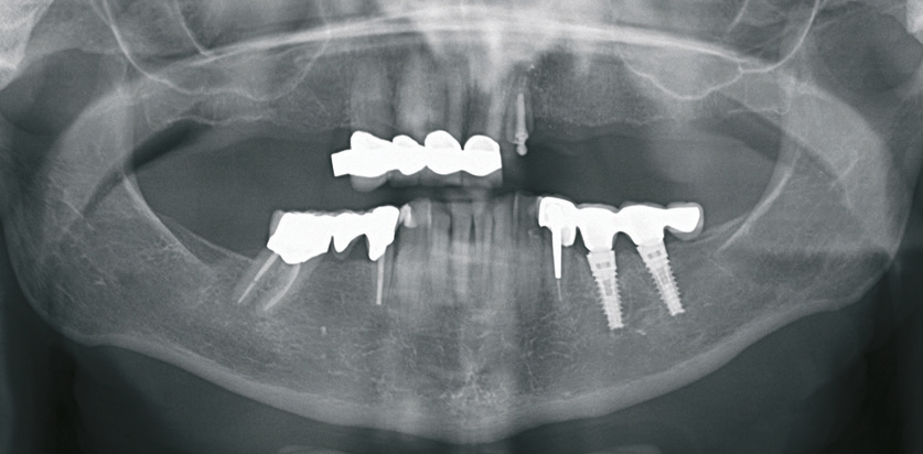
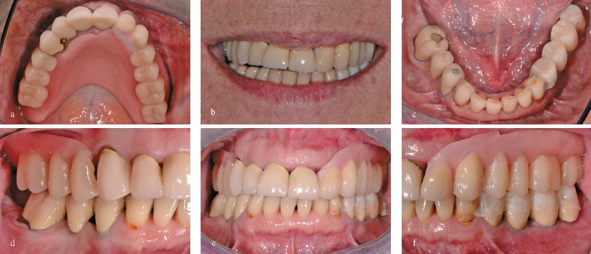
Sechs Monate nach Fertigstellung der Oberkieferhybridprothese folgte die definitive Versorgung im Unterkiefer. Die verblockten und nicht passgenauen Kronen 34-35i-36i wurden entfernt und ein direktes Provisorium für den Zahn 34 angefertigt. Die beiden Implantate 35i und 36i wurden mit standardisierten Healing-Abutments provisorisch versorgt. Nach chirurgischer Weichteilkorrektur und Nachpräparation des Pfeilerzahnes 34 wurde die Situation abgeformt und mit neuen einzelnen VMK-Kronen und -Implantatkronen versorgt (Abb. 20 u. 21).
Prof. Dr. Joda/Dr. Bracher
Prof. Dr. Joda/Dr. Bracher
Nachsorge
Nach Fertigstellung der Arbeit wurde die Patientin in das Recallsystem der Klinik eingebunden. Während der bisherigen 2,5 Jahre seit Fertigstellung der Oberkieferhybridprothese traten keinerlei Komplikationen auf und die Patientin zeigt sich sehr zufrieden mit der prothetischen Versorgung.
Diskussion und Fazit
Im hier vorgestellten Patientenfall konnte durch den Einsatz von dentalen Implantaten das Unterstützungspolygon der eingegliederten Hybridprothese gezielt verbreitert werden. Dies ermöglicht trotz Verzicht auf ein Palatinalband eine optimale Verankerung der Prothese und dadurch eine hohe Zufriedenheit der Patientin mit der prothetischen Versorgung.
In einer retrospektiven Studie verglichen Schwarz et al. die Überlebens- und Komplikationsraten von rein implantatgetragenen und gemischt zahn- und implantatgetragenen Doppelkronenprothesen. Bei einer Beobachtungszeit von bis zu 8,3 Jahren (mittlerer Beobachtungszeitraum: 3,4 Jahre) betrugen die Überlebensraten der rein implantatgetragenen Teleskopprothesen 93,3% und die der gemischt getragenen Prothesen 100%. Bezieht man die großen Komplikationen mit ein, lagen die Überlebensraten der implantatgetragenen Prothesen bei 86,7% und die der gemischt getragenen bei 83,3% [6]. Eine weitere Studie der gleichen Arbeitsgruppe analysierte die Komplikationen an Implantaten und natürlichen Pfeilerzähnen bei rein implantatgetragenen und bei gemischt getragenen Doppelkronenprothesen. 73 Prothesen mit insgesamt 234 Implantaten und 107 Zähnen wurden nachuntersucht. Nach einer mittleren Beobachtungszeit von 2,7 Jahren waren sechs Implantate und vier Zähne verloren gegangen. An elf Implantaten wurde eine Periimplantitis diagnostiziert, und drei natürliche Zähne zeigten schwerwiegende biologische Komplikationen wie eine marginale bzw. apikale Parodontitis oder technische Probleme wie Frakturen. Die rein implantatgetragenen Doppelkronenprothesen schnitten in Bezug auf die Prognose der Pfeiler schlechter ab [16]. Bei konventionellen zahngetragenen Teleskopprothesen wurden hohe Überlebensraten von 90,0 bis 95,1% nach 4 bis 5,3 Jahren ermittelt [17]. Die Langzeitprognose dieser Prothesen hängt jedoch wesentlich von der Anzahl und der topografischen Verteilung der Pfeilerzähne ab. Durch den Einsatz dentaler Implantate zur Pfeilervermehrung lässt sich die Verteilung wie im gezeigten Fallbeispiel gezielt verbessern.
Die Gesamtprognose der eingegliederten Rekonstruktion kann bei einer guten Mundhygiene und einer regelmäßigen Nachsorge optimistisch eingeschätzt werden [3]. Dennoch können sowohl biologische als auch technische Komplikationen an einzelnen Pfeilerzähnen oder Implantaten auftreten. Durch die abnehmbare Gestaltung lässt sich die Prothese in dem Fall jedoch mit relativ geringem Aufwand umbauen, ohne dass eine kostenintensive und technisch aufwendige Neuversorgung durchgeführt werden müsste.
Zusammenfassung
Durch den Einsatz von supplementären dentalen Implantaten kann das Unterstützungspolygon eines herausnehmbaren Zahnersatzes bei ungünstiger Pfeilerverteilung vergrößert werden. Dadurch lassen sich sowohl der Tragekomfort als auch die Zufriedenheit der Patienten erhöhen. Die Besonderheit von gemischt zahn- und implantatgetragenen Hybridprothesen im Vergleich zu rein zahngetragenen Prothesen lässt sich auf die verschiedenen biologischen Charakteristika der Pfeiler reduzieren. Aufgrund der Verbindung zwischen osseointegrierten Implantaten und natürlichen Zähnen mit physiologischer Zahnbeweglichkeit ist der Passivität der Prothese besondere Aufmerksamkeit zu widmen. Die in der wissenschaftlichen Literatur mehrfach beschriebene offene Prothesengestaltung erlaubt eine natürliche Umspülung der Pfeilerzähne und kann daher gegenüber einer geschlossenen Gestaltung als biologisch freundlicher eingestuft werden, was sich möglicherweise positiv auf den Langzeiterfolg der Behandlung auswirkt. Dieser Fallbericht illustriert die klinischen Sequenzen zur Gesamtrehabilitation einschließlich Planung und technischer Herstellung mit einer offen gestalteten kombiniert zahn- und implantatgetragenen Oberkieferhybridprothese.
Danksagung
Die Autoren danken Elias Bühler, Bühler Dental Aesthetik, Zürich, für die Durchführung der zahntechnischen Arbeiten.
Näheres zu den Autoren des Fachbeitrages: OA Dr. Lukas BracherBildquellen sofern nicht anders deklariert: Unternehmen, Quelle oder Autor/-in des Artikels
Entdecke CME Artikel




Keine Kommentare.