Für die rekonstruktive Therapie des atrophierten Oberkiefers stehen heute verschiedene augmentative Techniken zur Verfügung. Im posterioren Bereich ist das Knochenangebot in der Regel breit und kann durch eine Sinusbodenelevation für die Implantatinsertion vorbereitet werden. Besonders im anterioren Bereich sind je nach Resorptionsmuster zur vertikalen und horizontalen Augmentation freie Transplantate notwendig, die eine zweite Operationsstelle zur Knochenentnahme erfordern. Da bei der Knochenentnahme aus dem Kinn stärkere postoperative Beeinträchtigungen beschrieben werden [16], empfiehlt sich die Entnahme aus dem Bereich des aufsteigenden Astes. Bei der Knochenentnahme aus dem Kieferbereich zeigt sich oftmals eine Limitation, dass aufgrund des umfangreich notwendigen Augmentationsmaterials nicht ausreichend Knochen aus dem Unterkiefer gewonnen werden kann.
Daher kann bei ausgeprägten Defekten diese umfangreich erforderliche Knochenentnahme aus dem Bereich der Crista iliaca erfolgen. Dies bedeutet aber, dass der Eingriff von einem Kieferchirurgen, Allgemeinchirurgen oder Orthopäden erbracht werden muss und dass eine Hospitalisierung des Patienten notwendig wird. Besonders die postoperativen Einschränkungen an der Entnahmestelle werden als Kontraindikationen angeführt, wobei diese nicht per se in der exoralen Knochenentnahme zu sehen sind, sondern eher auf die Durchführung der Augmentationstechnik [19]. Wird die Knochenentnahme aus der Innenseite des Beckenkamms entnommen, sind die postoperativen Beschwerden gering. Für ein langzeitstabiles Ergebnis der Augmentation empfiehlt sich die modifizierte Schalentechnik, bei der das Volumen mit monokortikalen Streifen aufgebaut wird, das dann mit komprimierter Spongiosa aufgefüllt wird [10]. Als Alternative dazu zeigt sich neben der Auflagerungsplastik mit Knochenersatzmaterial in Kombination mit der Membrantechnik die Möglichkeit des Bone Splittings [6].
Regionale Kieferkammaugmentation
Das Bone Splitting, besonders im Oberkiefer, wird seit vielen Jahren propagiert [13]. Da unterschiedliche Vorgehensweisen vorgeschlagen werden, sind diese in Abhängigkeit des Knochenangebotes, der Anzahl der zu ersetzenden Zähne und der angestrebten prothetischen Versorgung auszuwählen [9, 18] (Abb. 1 und 2).

Weichgewebspräparation
Die Diskussion erstreckt sich dabei sehr häufig, ob das vestibuläre Knochenangebot deperiostiert oder ob das Bone Splitting im Sinne eines gefäßgestielten Transplantates operiert werden soll [12]. Beim stärker atrophierten Kieferkamm zeigt sich dann die Problematik bei der gefäßgestielten Vorgehensweise häufig darin, dass durch das weite Aufdehnen des Kieferkamms krestal eine relativ breite Fläche entstehen kann, die durch die Auflagerung des Weichgewebes auf dem mobilisierten Kieferanteil nicht zu einem spannungsfreien Wundverschluss führen kann oder bei der Präparation eines Mukosalappens der gedehnte Bereich nicht mit Periost abdeckt wird. Ferner stellt sich die Problematik, dass bei einem zirkulären Vorgehen die Ernährung des Mukosalappens reduziert ist und es somit zu Wundheilungsstörungen kommen kann. Daher empfiehlt sich bei einem ausgedehnten Bone Splitting die Vorgehensweise mit der Präparation eines Mukoperiostlappens, da hier nach einer Periostschlitzung das Weichgewebe ausreichend mobilisiert werden kann, damit eine knöcherne Einheilung unter der geschlossenen Weichgewebsdecke erfolgt.
Knochendehnung
Für eine ausreichende Abdeckung der eingebrachten Implantate jeweils palatinal und vestibulär und Sicherstellung der Nutrition der Knochenlamellen ist eine Mindestbreite des Knochens von 2 bis 3 mm erforderlich. Für die Durchführung des Bone Splittings ist es notwendig, eine relativ tiefe Osteotomie des Kieferkamms zu erreichen. Dies kann heute entweder mit oszillierenden Sägen oder auch mit Hochleistungs- Piezochirurgiegeräten erfolgen [8] (Abb. 3). Bei der Anwendung der Piezochirurgie im Vergleich zur oszillierenden Säge kann die Präparation schonend erfolgen, gerade dann, wenn die Behandlung nicht in Intubationsnarkose erfolgt. Auch bei der Präparation eines Mukoperiostlappens ist es anzustreben, dass es zu keiner kompletten Loslösung des mobilisierten Knochensegmentes kommt. Diese sollte auch in der Basis weiterhin am Knochen fixiert sein und lediglich im Sinne einer Grünholzfraktur mobilisiert werden. Nach der Implantatinsertion wird der Spaltraum mit eventuell anfallenden Knochenspänen und Kollagenfleece oder auch mit einem resorbierbaren Knochenersatzmaterial aufgefüllt. Bei reduziertem vertikalen Knochenangebot im posterioren Bereich und der Notwendigkeit einer Sinusbodenelevation sollte dann die Osteotomielinie für das Bone Splitting nicht fortgeführt werden, da sonst keine ausreichende Primärstabilität für die Implantate erreicht werden kann (Abb. 4).

Resorptionsschutz
Durch die Mobilisation der Knochensegmente kann es zu Resorptionsvorgängen kommen. Dies bedeutet beim Bone Splitting den Verlust der vestibulären Lamelle mit einer Dehiszenz und dementsprechend ästhetischen Einbußen bzw. einem erhöhten Risiko einer Periimplantitis. Daher ist es empfehlenswert und durch tierexperimentelle Studien belegt, dass ein Resorptionsschutz am besten dadurch erreicht werden kann, dass neben dem Bone Splitting noch eine weitere Auflagerungsplastik erfolgt, die mit einer Membran abgedeckt wird [2, 7, 17]. Dadurch wird die Osseointegration des Implantates mit einer knöchernen Lamelle abgedeckt, sodass ein hoher Knochen-Implantat-Kontakt erreicht werden kann. Dies bedeutet eine langzeitstabile Versorgungsmöglichkeit der Implantate. Die laterale Augmentation unter der Membrantechnik sichert das Knochengewebe vor einer frühen Resorption, sodass mit einem erhöhten Periimplantitisrisiko nicht zu rechnen ist [2] (Abb. 5 und 6).

Chirurgische Limitationen
Durch das Bone Splitting ist die Anwendung von 3DBohrschablonen stark eingeschränkt, da das Knochenlager erst durch die Aufdehnung letztendlich genau bestimmt werden kann. Daher kann es auch zu Abweichungen der Implantatposition von der optimalen Positionierung kommen [15]. Dies stellt dann im weiteren Verlauf hohe Anforderungen an den Zahntechniker und prothetisch tätigen Kollegen, damit eine suffiziente prothetische Versorgung erreicht werden kann. Oftmals wird deshalb bei einem Bone Splitting auf eine festsitzende Versorgung verzichtet, um die ungünstige Implantatpositionierung durch eine Stegversorgung zu kompensieren. Da heutzutage die Insertion von angulierten Implantaten zur Vermeidung einer Sinusbodenelevation prothetisch etabliert ist, stehen aber weitere Bauteile zur Verfügung, die es gerade bei einem Bone Splitting mit einer geringen apikalen Basis erlauben, die Achsdivergenzen auszugleichen [3].
Für ein Bone Splitting ist es empfehlenswert, durchmesserreduzierte Implantate zu verwenden, damit der Spalt zwischen den beiden Lamellen nicht durch einen zu großen Implantatkörper übermäßig weit aufgedehnt wird. Somit kann die physiologische Knochenregeneration im Sinne eines „Jumping Distance“ genutzt werden, dass es zu einer Neubildung von Knochen im aufgedehnten Bereich kommen kann.
Prothetische Aspekte
Nach der Freilegung und der Auswahl der angulierten Aufbauten kann die weitere prothetische Versorgung erfolgen. Wenn angulierte Aufbauten nicht nur bei den posterioren Implantaten, sondern auch bei den anderen Implantaten notwendig werden, ist es empfehlenswert, aufgrund der systemimmanenten Restrotation der Sekundärteile, auf ein Auswechseln der Komponenten im Rahmen der prothetischen Versorgung zu verzichten Dies zeigt ferner den Vorteil, dass Mikrobewegungen am Übergang Aufbau Knochenniveau vermieden werden, was zu einer Stabilisierung des Knochenniveaus im Sinne des One-Time-Abutments führen soll [4, 11].


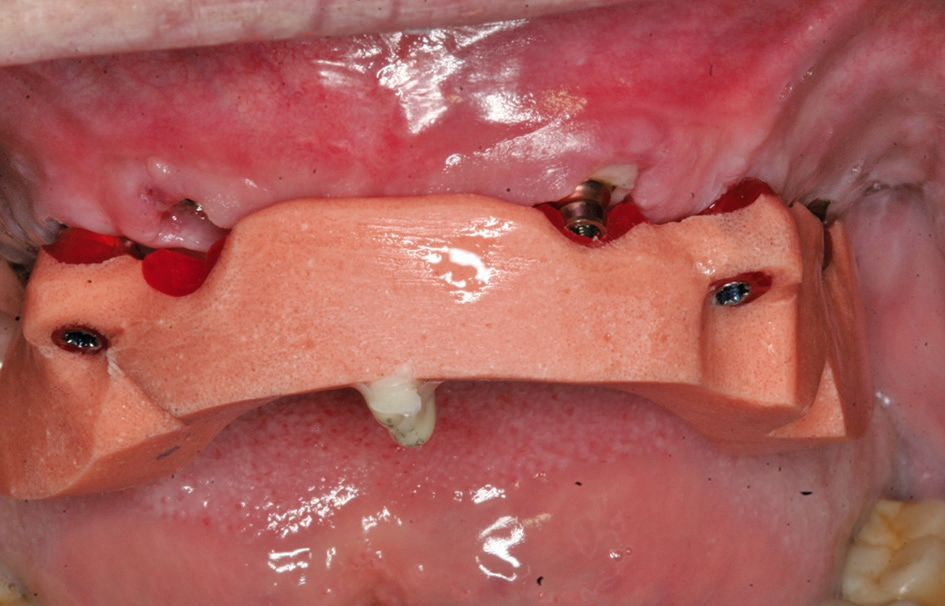
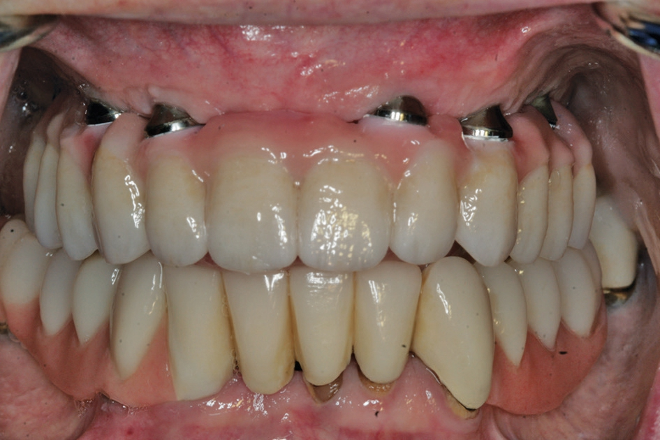
Nach einer initialen Abformung können vom Zahntechniker die optimalen Aufbauten nach der physiologischen Aufstellung und Wachseinprobe ausgewählt werden (Abb. 7 bis 9). Diese werden dann in die Implantate eingeschraubt und verbleiben dort, ohne dass sie wieder entnommen werden. Durch die Auswahl der Aufbauten vom Zahntechniker kann dort auch gleich eine Verblockung vorbereitet werden, mit der es möglich ist, die endgültig erreichte Position der angulierten Aufbauten direkt in das Labor zu übertragen. Somit stellt das Meistermodell eine identische Kopie der klinischen Situation dar. Dies ist notwendig, damit im Rahmen von CAD/CAM-Verfahren Gerüste für die weitere prothetische Versorgung gefräst werden [14]. Je nach Umsetzung der patientenindividuellen Aufstellung kann die definitive Versorgung hergestellt werden. Dort bestehen heute die Möglichkeiten der CAD/CAM-Technologien mit einem Titan- oder einem Keramikgerüst zur Verfügung. Sofern sich kein absolut passgenaues Gerüst erreichen lässt, kann dies durch eine Klebebasis kompensiert werden [5]. Dies wird in der Regel bei reinen Zirkonoxidgerüsten erforderlich. Im weiteren Ablauf kann die individuelle Charakterisierung der Vestibulärflächen und des Weichgewebsübergang erreicht werden (Abb. 10 bis 14).




Diskussionen
Durch die Anwendung des Bone Splittings kann im atrophierten Oberkiefer eine Implantatinsertion erfolgen, sofern ein ausreichend vertikales Knochenangebot vorliegt. Somit kann das sekundäre Risiko der Spendermorbidität bei einer Auflagerungsplastik mit Blöcken vermieden und die Behandlungszeit reduziert werden [1]. Wird das Bone Splitting bei entsprechender Atrophie extrem durchgeführt, stellt es im Vergleich zu Auflagerungsplastiken immer noch eine geringere Morbidität dar, da lediglich am Ort der Implantation operiert werden muss. Damit sinkt das Risiko in den Entnahmeoperationsgebieten mit Infektionen bzw. Bewegungseinschränkungen. Nichtsdestotrotz ist der Patient darauf hinzuweisen, dass es bei einem extensiv durchgeführten Bone Splitting auch zu starken postoperativen Belastungen, wie perioralen Schwellungen und Hämatombildungen, kommen kann.
Das Bone Splitting zeigt sich für den Behandler wirtschaftlicher, da hohe Materialkosten, wie diese bei der Anwendung von CAD/CAM-gefertigten allogenen Knochenblöcken auftreten, entfallen. Dadurch, dass die Implantate zwischen zwei vitalen körpereigenen Knochenlamellen eingebracht werden, ergibt sich eine hohe Osseointegrationsrate mit einem geringen Implantatverlustrisiko.
Nachteilig gerade bei einer geringen apikalen Basis und der Notwendigkeit, die Osteotomie und damit auch die Implantate zentripedal stark zu neigen, zeigt sich beim Bone Splitting der relative vertikale Verlust, da die Lamelle nach vestibulär mobilisiert wird und dadurch durch den Winkel eine vertikale Reduzierung erreicht wird. Dies kann aber je nach Lachlinie des Patienten durch eine Gestaltung der Suprakonstruktion mit rosaeingefärbter Keramik oder Kunststoff kompensiert werden. Durch die Möglichkeiten der modernen Prothetik kann auch bei einer vermeintlich ungünstigen Implantatpositionierung mithilfe von unterschiedlich stark angulierten Abutments eine Abdrucknahme auf Schleimhautniveau erreicht werden, die die Anfertigung einer präzisen Implantatversorgung ermöglicht.
Fazit
Durch ein tiefes Bone Splitting im anterioren Oberkiefer kann auch bei einer reduzierten apikalen Basis eine festsitzende Implantatversorgung eingegliedert werden, da mit den Komponenten für eine angulierte Implantatinsertion die operationsbedingten Achsdivergenzen ausgeglichen werden können.
Näheres zu den Autoren des Fachbeitrages: Dr. Jörg Neugebauer, Herbert Sontheimer, Dr. Steffen Kistler, Dr. Frank KistlerBildquellen sofern nicht anders deklariert: Unternehmen, Quelle oder Autor/-in des Artikels
Entdecke CME Artikel






Keine Kommentare.