|
Getting your Trinity Audio player ready...
|
Die Entwicklung dentaler Restaurationswerkstoffe, insbesondere im Bereich der Vollkeramik, schreitet rasant voran. Moderne hochtransluzente Zirkonoxide und Lithiumdisilikat-Keramiken ermöglichen ästhetische Ergebnisse, die denen natürlicher Zähne immer näherkommen. Diese Entwicklung hat die Verblend- und Finalisierungstechniken im Dentallabor nachhaltig verändert. Mussten früher noch opake Gerüste aufwendig mit multiplen Keramikschichten verblendet werden, erlauben heutige Gerüstmaterialien deutlich reduzierte und effizientere Ansätze. Eine direkte Konsequenz daraus ist die wachsende Bedeutung des Micro-Layerings. Bei dieser Technik werden nur sehr dünne Keramikschichten auf ein ästhetisch bereits ansprechendes, meist vollanatomisches Gerüst aufgetragen. Das stellt besondere Anforderungen an die Verblendmaterialien: Sie sollen auch in geringer Schichtstärke eine hohe ästhetische Wirkung entfalten und gleichzeitig prozesssicher zu verarbeiten sein.
Patientenfall
Der Begriff „Ästhetik“ ist subjektiv und die zahnmedizinische Realität spiegelt dies wider: Jeder klinische Fall präsentiert sich mit individuellen Voraussetzungen – vom Zustand der Hartsubstanz über parodontale Gegebenheiten bis hin zu parafunktionellen Mustern – und individuellen Patientenerwartungen. Das vorgestellte Fallbeispiel illustriert die Kombination aus Zirkonoxid (KATANA™ Zirconia YML) und Micro-Layering (CERABIEN™ MiLai). Das gezeigte Vorgehen eignet sich besonders für minimalinvasive Präparationen, da es geringe Wandstärken sowohl für das Zirkonoxidgerüst als auch für die Verblendung erlaubt. Zudem ist diese Werkstoffpaarung aufgrund ihrer Robustheit eine geeignete Wahl bei Patientinnen und Patienten mit Parafunktionen wie Bruxismus, was im dargestellten Fall relevant war.
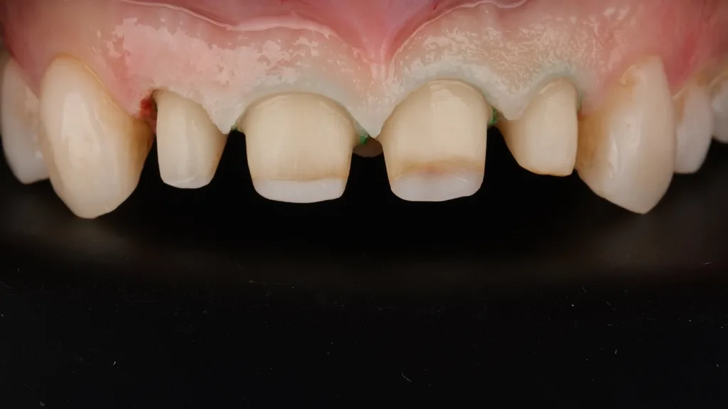
Ausgangssituation
Der Patient war unzufrieden mit der Funktion und Ästhetik seiner Zähne. Die diagnostische Untersuchung ergab die Notwendigkeit, die vertikale Dimension der Okklusion (VDO) anzuheben. Um die Okklusion und das ästhetische Erscheinen zu optimieren, wurde zunächst ein diagnostisches Wax-up in der angestrebten neuen Kieferrelation erstellt (Abb. 1 bis 3).
Planung und CAD-Design
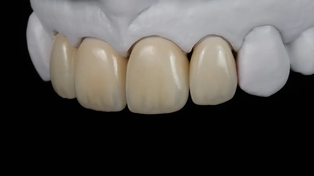
Auf Basis des freigegebenen Wax-ups wurde der Behandlungsplan festgelegt. Dieser sah vor, die vier Frontzähne mit Kronen aus Zirkonoxid zu versorgen, während die Zähne im Seitenzahn- sowie im Unterkieferbereich mit direkten Kompositrestaurationen aufgebaut werden sollten. Oberstes Gebot war die maximale Schonung der Zahnsubstanz. Entsprechend wurde die Präparation auf die Mindestwandstärke der Restaurationen abgestimmt (Abb. 4 und 5). Nach einer ästhetischen Analyse wurden die Kronen mit einem minimalen vestibulären Cutback entworfen (Abb. 6 und 7). Diese Vorgehensweise war entscheidend, denn ein stärkeres Cut-back mit einer dickeren, klassischen Verblendung hätte aufgrund der funktionellen Situation des Patienten das Risiko für Abplatzungen (Chipping) deutlich erhöht (Abb. 8). Ein solch „minimalinvasives Design“ stellt jedoch hohe Anforderungen an das Gerüstmaterial. Hier kam KATANA™ Zirconia YML zum Einsatz, da es eine hohe Festigkeit mit einer so ansprechenden Eigenästhetik verbindet, dass eine Reduktion von nur 0,3 mm für eine natürlich wirkende Verblendung ausreicht.
Kronenherstellung
Direkt nach dem Fräsvorgang erfolgte die Veredelung der Zirkonoxidoberfläche mit Effektflüssigkeiten (Abb. 9). Diese Charakterisierung vor dem Sintern ist ein entscheidender Schritt, um die optischen Eigenschaften der finalen Restauration zu verbessern. Konkret kam im zervikalen Bereich eine orangefarbene und an der Inzisalkante eine blaue Malfarbe zum Einsatz. Um eventuelle Verfärbungen der Zahnstümpfe zu kaschieren, wurde die Innenseite der mittleren Kronen zusätzlich mit einer weißen, opaken Flüssigkeit versehen (Abb. 10). Nach dem Sintern folgte der Aufbau der vestibulären Verblendung mit CERABIEN™ MiLai (Abb. 11). Hierbei kam eine Kombination aus internen Malfarben (Internal Stains) und der Micro-Layering-Technik zur Anwendung (Abb. 12). Nachdem die finale Form durch morphologische Anpassungen und eine erste Politur erreicht war, erfolgte die Fertigstellung mit CERABIEN™ ZR FC Paste Stain und Glaze. Eine abschließende Politur verlieh den Oberflächen ihr natürliches, lebendiges Aussehen (Abb. 13 bis 16).
Ergebnis
Die fertiggestellten Kronen, veredelt durch die Kombination aus CERABIEN™ MiLai Internal Stains und der Micro-Layering-Keramik, überzeugen durch eine beeindruckende Detailtiefe und ein naturgetreues Erscheinungsbild (Abb. 17). Darüber hinaus bestätigt der Fall einen weiteren wesentlichen Vorteil von Zirkonoxid: Der gesunde Zustand der Gingiva unterstreicht die exzellente Biokompatibilität des Werkstoffs.
Fazit
CERABIEN™ MiLai stellt eine durchdachte Antwort auf die Evolution in der Zahntechnik dar. Es verbindet die präzise Kontrolle und das vertraute Handling einer Pulverkeramik mit den Anforderungen effizienter Micro-Layering-Techniken auf hochästhetischen Gerüsten. Die universelle Einsetzbarkeit auf Zirkonoxid und Lithiumdisilikat und die Verlässlichkeit der synthetischen Feldspat-Technologie geben Sicherheit und Vorhersagbarkeit im Laboralltag. Zudem ermöglicht CERABIEN™ MiLai, auf effiziente Weise Restaurationen zu schaffen, die in ihrer Lebendigkeit und Natürlichkeit überzeugen – ein Ergebnis, das nicht nur Patientinnen und Patienten begeistert, sondern Zahntechnikerinnen und Zahntechniker selbst mit Stolz erfüllt.
Entdecke CME Artikel























Keine Kommentare.